Alkoholizam
Predložak:Izdvojeni članak Alkoholizam je stanje kronične ovisnosti o alkoholnim pićima.
Manifestira se kroz snažnu želju za pićem, gubitkom kontrole prilikom pića, simptomima fizičkog odvikavanja i povećanom tolerancijom na alkohol. Ovisnost o alkoholu je težak psihički poremećaj, jer dolazi do patološkog procesa, koji mijenja način na koji mozak funkcionira.


Alkoholizam na duži rok uzrokuje cijeli niz ozbiljnih zdravstvenih problema kao što su ciroza jetre, trovanje alkoholom, srčane bolesti, bubrežne bolesti kao i cijeli niz psihičkih poremećaja od kojih je najpoznatija Korsakovljeva psihoza [1]. Kod djece majki-alkoholičarki je zabilježen cijeli niz malformacija, u daleko češćem slučaju, nego kod djece čije su majke bile ovisne o teškim opojnim drogama.
Brojne su i posredne posljedice alkoholizma u obliku prometnih i nesreća na radu, odnosno povećane stope kriminaliteta s obzirom, da je učestala konzumacija alkohola jedan od važnih kriminogenih faktora.
Iako je konzumacija alkoholnih pića dio kulture skoro svakog ljudskog društva, tek s pojavom industrijske revolucije se alkoholizam počeo shvaćati kao ozbiljan zdravstveni, odnosno društveni problem. To je potaklo stvaranje trezvenjačkih pokreta, koji su u nekim slučajevima od vlada ishodile cijeli niz zakonskih i drugih mjera za suzbijanje alkoholizma, od kojih je najpoznatija Prohibicija u SAD-u.
Alkohol
Alkohol po svom molekulskom sastavu i primjeni pripada grani organske kemije. U funkcionalnoj skupini sadrži kisik i vodik, što zajedno čini hidroksilnu skupinu prema kojoj su alkoholi prepoznatljivi, opća formula je R-OH.
Etanol
Od svih alkohola, u alkoholnim pićima se nalazi etilni alkohol ili etanol formule C2H5OH. Tekućina snažnog i specifičnog mirisa još poznata kao "špirit" ili prirodni alkohol. Prirodno se dobiva procesom fermentacije (alkoholno vrenje) iz plodova voća i žitarica koje sadrže šećer, glavni mehanizam su enzimi kvaščevih gljivica koji služe kao katalizator. Primjer sirovina za dobivanje etanola i pića koja nastaju:
- grožđe = vino
- raž, ječam ili kukuruz = viski
- krumpir = votka
- riža = sake
- ječam, pšenica, hmelj = pivo
- agava = tekila
- šećerna trska = rum
Povijest alkoholizma
Magnus Huss je u 19. stoljeću napravio koncept alkoholizma kao bolesti, kada je prvi put jedno bolesno stanje nazvao alcobolismus. Tek 1952. godine, Svjetska zdravstvena organizacija definirala je alkoholizam kao bolest i prema toj
definiciji: "Alkoholizam je bolest, a alkoholičar je bolesnik kod koga se zbog prekomjerne i dugotrajne uporabe alkoholnih pića pojavljuje psihička i fizička ovisnost, zdravstveni problemi, obiteljski i društveni poremećaji".
Deseta revizija Međunarodne klasifikacije bolesti i srodnih zdravstvenih problema (MKB-10) svrstava alkoholizam u poglavlje Mentalni poremećaji i poremećaji ponašanja zbog uporabe psihoaktivnih tvari (F10.x)
Posljedica pijenja alkohola očituje se u mnogim granama medicine poput interne, traumatologije, neurologije, kirurgije, psihijatrije. Oko 30-40% internističkih bolesnika liječi se zbog alkoholizma, a 30% psihijatrijskih hospitalizacija odnosi se na alkoholičare.
Povijest alkoholizma u Hrvatskoj
Nakon Prvog svjetskog rata u Zagrebu s radom započinju prvi dispanzeri za liječenje alkoholičara pod vodstvom Andrije Štampara i Mikića. Šezdesetih godina prof.dr. Vladimir Hudolin sa svojim suradnicima utemeljuje Centar za proučavanje i suzbijanje alkoholizma i drugih ovisnosti i to kao Odjel za liječenje alkoholizma, koji se danas razvio u Kliniku za psihijatriju, alkoholizam i druge ovisnosti Kliničke bolnice Sestre milosrdnice. Osim toga osnivaju se klubovi liječenih alkoholičara i provodi se kompleksno odnosno cjelovito liječenje i rehabilitacija u svim okvirima, koje takva bolest zahtijeva – medicinskim, psihološkim, socijalnim.
Društveni okvir

Iako je alkoholizam "postao" bolest iliti poremećaj, u stvarnom svakodnevnom životu on se smatra lijepo rečeno samo "stilom života" ništa više. Kroz povijest do danas oblikovao se mentalitet u kojemu je pijenje nešto sasvim normalno, štoviše ljudsko je društvo izgradilo niz običaja i navika te tako alkoholizam duboko ukorijenilo u svoju stvarnost kao običajnu pojavu, ne vidjevši pritom kako prije tako i danas posljedice i stvarnu sliku, koju alkoholizam ostavlja za sobom. Kažemo kako alkoholizam nije bolest pojedinca, već bolest obitelji, bolest društva.
Danas postoje dva zanimljiva vladajuća stava o alkoholizmu. Jedan je liberalan prema pijenju, pijanstvu i alkoholizmu, a drugi osuđuje alkoholizam i promovira takozvano "normalno pijenje" i "društveno prihvatljivo pijenje". Što opet s druge strane dokazuje ukorijenjeni mentalitet, kako je pijenje "društveno prihvatljivo", ali tobože u "granicama normale".
Epidemiologija
Samo 2-8% populacije u Hrvatskoj nije probalo alkoholna pića – to su primarni apstinenti. Sekundarni su oni, koji su to postali liječenjem od alkoholizma.
U Hrvatskoj se počinje piti u dobi od 14 do 16 godina, a sve više piju i žene. Od 1955. do 1984. godine potrošnja u Hrvatskoj raste do 8,4 litara čistog alkohola po stanovniku, no ta je brojka i veća zbog nekontrolirane proizvodnje u domaćinstvima.
Od 1983. do 1990. dolazi do pada potrošnje alkoholnih pića u najrazvijenijim zemljama zbog nacionalnih programa suzbijanja alkohola.
Podaci Kliničke bolnice «Sestre milosrdnice» govore kako 15% odraslih muških osoba boluje od alkoholizma, a 15% ih prekomjerno pije.
U Hrvatskoj je oko 200.000 do 240.000 alkoholičara, što ispada jedan alkoholičar na 19 stanovnika, a brojka je i veća zbog nemoguće potpune procjene.
Tablica procjene statistike u odnosu na neke europske zemlje:
| Zemlja | Stanovništvo (mil.) | Alkoholičari (mil.) | Udio alkoholičara |
|---|---|---|---|
| Hrvatska | 4.7 | 0.20-0.24 | 1:19 - 1:23 |
| Njemačka | 82 | 1.5 | 1:55 |
| Austrija | 7.5 | 0.5 | 1:15 |
| Švicarska | 6 | 0.12 | 1:50 |
U Hrvatskoj se godišnje prvi put od alkoholizma liječi 7.000 alkoholičara, međutim broj hospitalizacija je puno veći što nam govori da je recidiv vrlo čest, a poslijebolnička skrb još uvijek slaba ili nedovoljno razvijena.
U SAD-u 18.000,000 alkoholičara košta državu 100 milijardi dolara, a godišnje umire 50.000 – 200.000 alkoholičara, često su to i mladi ljudi. U Velikoj Britaniji se taj broj kreće oko 25.000 alkoholičara godišnje.
Razvoj
Uzroke alkoholizma dijelimo na biološke, psihološke i sociološke čimbenike.
- Biološki: od bioloških čimbenika najčešće su to genetičke teorije, koje alkoholizam promatraju kao nasljednu bolest. Razni genski čimbenici dakako utječu i na razlike u reakciji na alkohol, različitu osjetljivost mozga i drugih tjelesnih sustava na alkohol, brzina eliminacije alkohola, stjecanje tolerancije i fizičke ovisnosti.
- Psihološki: psihološke teorije gledaju na alkoholizam kao individualni psihološki problem, a socijalni čimbenici mogu imati više ili manje utjecaja na razvoj. Spominje se oralna fiksacija i zastoj u razvoju ličnosti kao glavna obilježja primarnog alkoholizma. Te fiksacije kasnije rezultiraju infantilizam, pojačanu ovisnost, narcisoidnost i pasivnost.
- Sociološki: u sociološkom pogledu na alkoholizam razmatraju se pojmovi odnosno teorije poput primarne i sekundarne obitelji alkoholičara, a i vrlo često obiteljski alkoholizam.
Ni jedna od navedenih teorija ne može se isključiti, alkoholizam je izrazito kompleksan problem, koji obuhvaća činioce često vrlo raznih grana znanja, stoga iz svake pojedine grane uzročnika sudjeluje barem jedan čimbenik u stvaranju alkoholizma. Alkoholizam nikada nije rezultat samo jednog činioca.
Faktori rizika
Sklonost alkoholizmu se može vidjeti i po određenim faktorima rizika a to su:
- spol (muških alkoholičara je 3 do 5 više nego žena),
- obiteljska sklonost,
- neke profesije (konobari, pisci, glumci, radnici u tvornicama alkohola),
- religijski, etnički i geografski (Muslimani i Židovi rijetko piju, Francuzi, Finci i Šveđani piju više)
- Osobe s nižom razinom serotonina sklonije su alkoholizmu, također ovisi o razini aktivnost enzima ADH i ALDH.
Jellinekova tipologija alkoholizma
Kanađanin E. Morton Jellinek (1960.) predložio je tipologiju alkoholizma prema etiologiji, motivaciji i epilogu ovisnosti u kojoj razlikuje pet tipova ovisnosti alkoholizma: alfa, beta, gama, delta i epsilon.
- Alfa-alkoholičar koristi alkohol, da bi se u konfliktnim situacijama osjećao bolje, ovisan o alkoholu, ali ne gubi kritičnost i kontrolu
- Beta-alkoholičar (prigodni pijanac) uvjetovan je osobito sociokulturološkim razlozima.
- Gama-alkoholičar strastveno je željan pića, psihički je ovisan o alkoholu, izgubio je kontrolu kritičnosti pri piću
- Delta-alkoholičar (alkoholičar iz navike) nastaje u određenim socioekonomskim i kulturnim uvjetima, kod delta-alkoholičara psihički činioci nemaju značenja
- Epsilon-alkoholičar je povremen -periodičan, "kvartalan" oblik sklonosti alkoholu.
Dijagnoza
Alkoholizam je nastupio, kada je tolerancija na alkoholna pića povećana, kada osoba izgubi kontrolu i svaki put pije do pijanstva - to su sigurni znaci alkoholizma.
Eventualni rani znaci alkoholizma mogu biti prvo povećanje uobičajene dnevne doze alkohola; zatim slijede prigovori u obitelji i radne sredine; a onda se javljaju prvi znaci nemara u obitelji i na poslu.
CAGE upitnik (dobio ime po početnim slovima Cut, Annoyed, Guiltty, Eye-opener, engleskih riječi iz upitnika) može dati "na brzinu"
procjenu za uočavanje potencijalnog alkoholizma:
- Jeste li se ikada osjećali, da bi trebali smanjiti pijenje?
- Jesu li vas ljudi dosađivali kritiziranjem vašeg pijenja?
- Jeste li se ikada osjećali krivim za svoje pijenje?
- Jeste li se ikada osjećali, da vam piće treba odmah ujutro za smirenje ili za prekinuti dosadu?
Dva odgovora s da upućuju na potencijalni alkoholizam, i potrebna je daljnja provjera.
Osim toga postoje još testovi:
- ADDQ - Alcohol Dependence Data Questionnaire (Upitnik za toleranciju na alkohol)
- MAST - Michigan Alcohol Screening Test (Test za otkrivanje alkoholizma)
- AUDIT - Alcohol Use Disorders Identification Test (Test za identifikaciju poremećaja uzrokovanih alkoholizmom)
- PAT - Paddington Alcohol Test (Paddington alkoholni test)
- DSM-IV - dijagnoza tolerancije na alkohol
Test urina i krvi pokazuje trenutno stanje osobe i ne razlikuje alkoholičara od samo trenutno opijene osobe. Međutim kod alkoholičara postoje neke prepoznatljivosti u tijelu kao što je makrocitoza, povišena gama (GGT - gama glutamil transpeptidaza), srednje povišena AST i ALT i njihov omjer AST:ALT=2:1, visoki CDT
Na EEG-u se također može vidjeti, da alkoholičari imaju beta-valove više frekvencije (13-30Hz), a cijeli EEG je desinkroniziran
Faze alkoholizma
- Faza društvene potrošnje - Organizam se privikava na alkohol. Ponavljana konzumacija povećava toleranciju organizma na alkohol pa konzument uzima sve veće količine alkohola za isti učinak.
- Faza alkoholizma - Ovisnost o alkoholu obilježena je prisilom za stalnom i ponavljanom konzumacijom alkohola, kako bi se doživio učinak ili izbjegla apstinencijska kriza.
- Faza nepovratnih oštećenja - Organizam već slabije podnosi alkohol. Dovoljne su i male količine alkohola, koje dovode do opijenosti.
Nastupaju razna zdravstvena i društvena oštećenja (promjene osobnosti i ponašanja alkoholičara).
Utjecaj
U početku akutnog opitog stanja (0,5 ‰) javlja se promjena ponašanja, ali teško prepoznatljiva. S povećanjem alkohola u krvi (2,5‰) javlja se ataksija, nistagmus, proširenje zjenica, crvenilo lica, dvoslike, povraćanje, miris po alkoholu i tako dalje. Dalje od toga (5‰) nastaje poremećaj svijesti do kome, a pri većim koncentracijama nastupa smrt, zbog zatajenja dišnog sustava.
Alkohol izaziva produljenje trajanja refleksa, negativno djeluje na osjetila poput vida i sluha, očituje se u lošoj ravnoteži te koordinaciji. Konzumacija alkohola dovodi do dezinhibiranog ponašanja. Bezobzirnost i veselost temelje se na nedostatku inhibicije. Dobro raspoloženje prelazi u euforiju (prenaglašena veselost). Pomiču se etičke granice. Činjenice se više ne procjenjuju stvarno, kao ni vlastita osobnost. S precjenjivanjem samoga sebe dolazi do opasnosti. Ponašanje prema sebi i drugima sve je neodgovornije. Gubi se sposobnost ispravnog reagiranja, a kod veće koncentracije i sposobnost mišljenja.
Organski i psihički poremećaji
Alkoholizam je često neizravni uzrok psihopatoloških slika kroničnoga organskog moždanog sindroma s demencijom i alkoholnim amnestičkim sindromom. Tu su i psihijatrijski poremećaji kao depresija, anksioznost, neurotički poremećaji, delirij, sumračna stanja i drugo.
Dipsomanija
Dipsomanija kao klinički oblik alkoholizma je neodoljiva želja za pićem i intenzivno pijenje u trajanju od nekoliko dana. Njihova tolerancija na alkohol je izrazito velika pa su količine popijenog alkohola vrlo često i jako velike. Prava dipsomanija je rijetka, češća je pseudodipsomanija, takozvano povremeno jače pijenje alkohola. Takva stanja, smatra se, nastaju posljedično zbog depresivnih stanja.
Patološko pijano stanje
Patološko pijano stanje je idiosinkratička reakcija osobe i na manju količinu alkohola, gdje odmah dolazi do sumračnih stanja. Patološko pijano stanje nastupa naglo sa suženjem svijesti, nemirom, uzbuđenjem i agresijom i tako dalje. U takvim stanjima osoba može počiniti teške bezrazložne zločine, lutati bez cilja ili ponašati se nesuvislo uopće. Traje od nekoliko minuta do par dana, a završava snom nakon čega često slijedi amnezija – gubitak sjećanja za skoro sve što se dogodilo. Patološko pijano stanje je i predmet Sudskog psihijatrijskog vještačenja.
Delirium tremens
Delirium tremens česta je akutna psihoza alkoholičara i pripada akutnom organskom psihosindromu. Uzrok je osim tjelesnih trauma, kirurških zahvata, infekcija, i psihička trauma alkoholičara te nagla apstinencija. Očituje se kao kvantitativni poremećaj svijesti sa smetenim stanjem uz poremećaje orijentacije u vremenu i prostoru. Javljaju se i halucinacije, češće vidne nego slušne. Halucinacije su često opća slika straha i nemira poput malenih životinjica ili insekata, koji plaze po koži ili je njima okružen. Javlja se i opća slabost uz tremor te obilno znojenje što dovodi do dehidracije i poremećaja elektrolitne ravnoteže. Govor je inkoherentan, nepravilan. Nakon par dana delirija, bolesnik pada u duboki san iz kojeg se budi s neznatnim tegobama često amnestičan za većinu događaja.
Alkoholna halucinoza
Alkoholna halucinoza je sindrom iz skupine alkoholnih psihoza. Halucinatorni doživljaji uz inače očuvanu svijest, dobru orijentaciju te sačuvanu osobnost. Halucinacije su uglavnom slušne, traju od par dana do par mjeseci.
Psihoza ljubomore
Psihoza ljubomore je psihoza sumanutih misli u obliku patološke ljubomore, javlja se u kasnijim fazama alkoholizma i gotovo uvijek kod muškaraca. Alkoholičar svojom ljubomorom, odnosno paranoidnim idejama izražava i agresiju te često postaje mučiteljem svoje žene i obitelji.
Korsakovljeva psihoza
Korsakovljeva psihoza je teški psihički poremećaj, koji se javlja u kasnijem stadiju alkoholizma. Kombinacija polineuropatija i demencije (bezumnosti, mahnitosti). Karakterizira ju poremećaji pamćenja i sjećanja, konfabulacija, smetenost, dezorijentiranost. Liječi se isključivo u bolnici.
Intermedijarni alkoholni sindrom
Intermedijarni alkoholni sindrom pokazuje klinička obilježja alkoholnog oštećenja psihoorganske naravi, ali je reverzibilna i može imati dobru budućnost. Očituje se većim ili manjim oštećenjem ponašanja. Ako liječenje započne na vrijeme može spriječiti ireverzibilnu sliku demencije.
Tetidis ili Antabus
Tetidis ili Antabus psihoza nastaje primjenom Tetidisa (disulfiram) namijenjenog liječenju alkoholičara. U slučajevima 1:10.000 javlja se akutna psihoza s velikim strahom, psihomotoričkim nemirom i paranoidnim idejama, traje nekoliko dana. Ako potraje može završiti težim psihoorganskim poremećajima. Disulfiram blokira razgradnju alkohola na razini acetaldehida
Alkoholna demencija i depresivno stanje
Alkoholna demencija je teže organsko oštećenje, u najgorem slučaju mozga, što se očituje u njegovoj difuznoj atrofiji. Česta pojava akutnog stanja je i amnezija, kod tzv. društvenih pilaca gdje dolazi do akutnog pijanstva. Depresivno stanje može biti uzrok pojačanog pijenja, a alkoholizam može biti uzrok depresiji. U onih koji su primarno bili depresivni ili postali tijekom alkoholizma vrlo često je pojava suicidalnih misli i samog suicida.
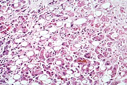
Alkohol i jetra

Bolest jetre uzrokovana alkoholom je najčešća bolest (ABJ). 90% alkohola se razgradi u jetri i to 0.1 promil na sat. Česti poremećaj je masna jetra, no to je reverzibilno. Ozbiljniji oblik ABJ-a je alkoholni hepatitis, karakteriziran stalnim upalnim promjenama i cirozom, koja je obilježena progresivnim ožiljkavanjem jetrenog tkiva. 10-35% alkoholičara razvije alkoholni hepatitis, a 10-20% dobije cirozu jetre. U SAD-u ciroza je na 7. mjestu uzroka smrti. Tijekom metabolizma alkohola u jetri nastaje i štetan produkt acetaldehid, a tu su i slobodni radikali, koji nastaju te tako oštećuju vitalne funkcije poput procesa stvaranja energije. Slobodni radikali mogu nastati kao obrambeni mehanizam uništavajući uzročnike infekcije, no opet može ih nastati previše tako da uništavaju zdrave stanice jetre. Alkohol također povećava prolaz štetnih bakterijskih spojeva poput endotoksina koji pak aktivira proizvodnju citokina. Citokin u jetri stvara simptome slične alkoholnom hepatitisu. Nastaje jedan začarani krug, što dovodi do upale, stanične smrti i ožiljkavanja jetre. Ožiljkavanje je "zaštitni znak" ciroze jetre. Proces kojim se razvija ciroza uključuje određene citokine i specijalizirane jetrene stanice (tj. zvjezdaste stanice). U zdravoj jetri te stanice služe kao skladište za vitamin A. Pod utjecajem citokina, zvjezdaste stanice rastu, gube rezerve vitamina A, i počinju stvarati ožiljkasto tkivo. Uz to, te stanice, uzrokuju stiskanje krvnih žila, smanjujući dovod kisika do jetrenih stanica.
Živčani sustav
Studija s National Institute on Alcohol Abuse and Alcoholism (NIAAA - Nacionalni institut za zlouputrebu alkohola i alkoholizam) ukazuje na povezanost smanjenog moždanog razvoja alkoholičara s poviješću alkoholizma u obitelji, dok te povezanosti nema u alkoholičara bez takve obiteljske povijesti. Ova studija je dokazala i kako djeca alkoholičara u odrasloj dobi imaju u prosjeku oko 4% manji intrakranijski volumen (IKV – rast mozga i lubanje), a IQ im je u prosjeku niži za 5.7 bodova, ali je još uvijek unutar normalnih vrijednosti. Alkohol u organizmu na živčani sustav djeluje tako da povećava promet dopamina i noradrenalina, smanjena je transmisija neurotransmitera acet-kolin, povećana transmisija GABAe (inhibitor neurotransmitera), povećana produkcija beta-endorfina u hipotalamusu. Može se razviti sindrom Wernickova encefalopatija zbog nedostatka tiamina (Vitamin B) u organizmu, karakterizirana kao poremećaj memorije, zbunjenost i nedostatak koordinacije, daljnji tok vodi Korsakovljevoj psihozi, udruženjem nastaje Wernick-Korsakoff sindrom.
Alkohol uzrokuje i oštečenje perifernog dijela živčanog sustava, nazvano alkoholna (toksična) polineuropatija. Definira se kao aksonalna degeneracije osjetilnih i motornih neurona koja se incijalno javlja na distalnim dijelovima najdužih aksona. Takvo oštečenje živaca može se manifestirati s osjećajem boli, parestezijama, promjenama osjeta i/ili mišićnom slabosti u području inervacije zahvaćenog živca. Uz dugotrajni alkoholizam takvom oštećenju pridonosi i neadekvatna prehrana i nedostatak vitamina koje često susrećemo kod alkoholičara.
Alkoholna kardiomiopatija
Alkoholna kardiomiopatija je bolest srca kod koje dugotrajno konzumiranje alkohola dovodi do oštečenja srčane funkcije. Ubraja se u tzv. dilatativne kardiomiopatije, a nastaje zbog izravnih toksičnih učinaka alkohola na srčani mišić, koje tako oštečeno ne uspijeva dovoljano učinkovito ispumpavati krv, te dolazi do znakova i simptoma popuštanja srca (kardijalna dekompenzacija).
Fetalni alkoholni sindrom - FAS
Fetalni alkoholni sindrom se događa kod majki, koje za vrijeme trudnoće konzumiraju alkohol; to je oštećenje fetusa, koje se očituje na vidnom i apstraktnom planu, uglavnom oštećenje središnjeg živčanog sustava, fizičke promjene lica, oštećenje pri rastu. Alkohol s krvlju majke dolazi do ploda, koji još ne može uspješno metabolizirati alkohol, time koncentracija alkohola u krvi ploda može biti i do deset puta viša nego što je u krvi majke. Ako je oštećenje nastupilo u prvih 6 tjedana trudnoće govorimo o alkoholnoj embriopatiji, ako se oštećenje dogodilo u razdoblju nakon 6 tjedana tada je to alkoholna fetopatija. Oštećenja rasta su značajni odmaci od prosjeka, što se tiče težine i visine koji se ne moraju pojaviti odmah pri porođaju.
Abnormalnost lica i čela su kao što je mikrocefalija, hipertelorizam (široko razmaknute oči), uski palpebralni otvori, hipoplastična (nerazvijena) gornja čeljust, spljošten hrbat nosa, slaba pokretljivost zglobova. Gornja usna je puno tanja nego inače, a dio između nosa i gornje usne je spljošten, ne vidi se korijen nosa, također je spljošten s čelom, a vrh nose je usmjeren prema gore. Oči su karakterističnog oblika – uski palpebralni otvori i razmak među njima je drugačiji. Na rukama se još može vidjeti manja deformacija najmanjeg prsta. Jasne abnormalnosti na licu ujedno upućuju i na oštećenje mozga gdje posrijedi može biti mentalna retardacija, lakša do teža.
Oštećenja mogu biti strukturnog, neurološkog i funkcionalnog karaktera. Dojenče s FAS-om ima znatno manji i deformirani mozak. U prvoj fazi trudnoće alkohol može poremetiti raspored stanica, što utječe na strukturnu deformaciju, u drugoj fazi može se znatno oštetiti hipokampus, koji je odgovoran za memoriju, učenje, emocije i kodiranje slušnih i vidnih informacija. U neurološkom pogledu može doći do oštećenja perifernog živčanog sustava i autonomnog živčanog sustava. Teže oštećenje koje može nastati je epilepsija i slični sindromi. Drugi znakovi su loša fina motorika, oštećenja za detekciju zvuka, nespretnost, loša oko-ruka koordinacija, oštećenje senzornog sustava.
Funkcionalno gledano mogu nastati kompleksni kognitivni poremećaji i poremećaji ponašanja. Problemi u učenju, kontroliranje impulsa, socijalna percepcija (integracija) i komunikacija, matematičke sposobnosti, memorija, prosudba, poremećaj pažnje i hiperaktivnosti (engl. ADHD), mentalna retardacija, ne razlikovanje imaginacije i stvarnosti, zbunjenost pod pritiskom i još veliki niz raznih funkcionalnih poremećaja.
Alkoholizam i obitelj
Mjesto gdje se alkoholizam najprije manifestira je obitelj. U tom slučaju se može govoriti i o obiteljskom alkoholizmu, stoga što oba partnera, a katkad i djeca sudjeluju u alkoholizmu. Većina alkoholičara, koji se liječe su u braku s dvoje djece, manji broj je rastavljen i to nerijetko zbog alkoholizma, manji dio je mlađa populacija.
Činjenice alkoholizma:
- Jedna trećina brakova raspada se zbog alkoholizma.
- Alkoholizam dovodi do zanemarivanja obiteljskih dužnosti i nebrige za djecu, a najgori slučaj je kada su oba roditelja alkoholičari.
- Alkoholizam dovodi do osiromašenja obitelji, kako emocionalno tako i materijalno.
- Alkoholizam dovodi do agresivnosti i nasilja u obitelji, gdje su nerijetko žrtve i djeca, nastaju tzv. krnje obitelji, što je rezultat rastava ili prerana smrt alkoholičara.
- Alkoholizam negativno djeluje na populacijsku politiku.
- Alkoholizam dovodi do psihičkih poremećaja unutar obitelji, a najviše i najvažnije kod djece.
- Alkoholizam je problem cijele obitelji i okoline, u tom problemu izrazito teško mogu proći djeca pogotovo, ako se radi o djeci u razvoju i u osjetljivom razdoblju.
Liječenje, Klub liječenih alkoholičara
Najpoznatiji pristup liječenja u Hrvatskoj je Hudolinov kompleksni socijalno-psihijatrijski postupak Zagrebačke škole alkohologije. Sastoji se od grupne psihoterapije, obiteljske terapije, edukacije, terapijske zajednice, mogućega farmakološkog liječenja i kluba liječenih alkoholičara. Postoji i razvijeni obiteljski pristup sastavljen od obiteljske terapije kroz duže vrijeme. Alkoholizam se prije liječenja smatra dugotrajnim poremećajima pa tako i liječenje mora biti dugotrajno, a najmanje 5 godina. Za sada su najbolje rezultate dali kombinacija raznih obiteljskih terapija koje uključuju samu obitelj i "alkoholnu obitelj", edukacija, sustavi samopomoći i uzajamne pomoći kao što je klub liječenih alkoholičara. Djeletvorne su terapijske zajednice s više obitelji. Liječenje je bolničko (stacionarno ili dnevno) i izvan bolničko (odlazak na terapije 2-3 puta tjedno).
U liječenju alkoholizma se zna upotrebljavati i disulfiram. Ako se s disulfiramom uzima alkohol dolazi do teških nuspojava poput crvenila u licu, gušenja, lupanja srca, glavobolja, mučnina, povraćanje, vazodilatacija, pad tlaka, a može doći i do smrtnih komplikacija. Disulfiram blokira razgradnju alkohola na razini acetaldehida. Disulfiram ne liječi alkoholizam ali pomaže u održavanju apstinencije.
Anonimni alkoholičari - AA
Skupine anonimnih alkoholičara (AA) utemeljene su u Americi oko 1930.-tih. Njihova funkcija je bila uzajamna pomoć u apstinenciji i napretku u životu, kasnije su nastale skupine njihovih žena i djece. Danas ima oko 50.000 takvih skupina. Jednogodišnja apstinencija u skupini anonimnih alkoholičara iznosi 60 do 70%. 1965. Vladimir Hudolin i suradnici započeli su s osnivanjem klubova liječenih alkoholičara, a danas u Hrvatskoj ih ima oko 800.
U klubu liječenih alkoholičara radi se po načelu obiteljskog pristupa s 12 parova. Klub predstavlja dio sustava za potporu obitelji alkoholičara (u sustavu sudjeluju zdravstvo, socijalna zaštita i društvene institucije). Obitelj posjećuje klub liječenih alkoholičara tjedno, a takva aktivnost je preporučena u trajanju od najmanje 5 godina.
Recidiv je prisutan kod alkoholičara, koji nisu primjereno liječeni, bez obiteljske terapije i kluba liječenih alkoholičara. Bez dugotrajne potpore alkoholičar se vrlo lako vraća staroj navici koje društva odobrava čak do vršenja pritiska da se pije. Izvor pijenje može biti obitelj, koja ima takve običaje i generacijski ih prenosi pa do društva koje ima toleranciju prema poremećajima ponašanja i alkoholizmu.
