Rak pluća
| Klasifikacija i vanjske poveznice | |
| MKB-10 | Script error: The function "getExternalValue" does not exist. |
| MKB-10 | Script error: The function "getExternalValue" does not exist. |
| NSK | Script error: The function "getExternalValue" does not exist. |
| PubMed | Script error: The function "getExternalValue" does not exist. (eng.) |
| MeSH | Script error: The function "getExternalValue" does not exist. (eng.) |
| Medscape | Script error: The function "getExternalValue" does not exist. (eng.) |

Rak pluća je bolest obilježena nekontroliranim rastom stanica u tkivu pluća. Neliječena, bolest se može proširiti izvan pluća, što se naziva metastazama u okolna tkiva ili druge dijelove tijela. Većina oblika raka koji započinju rast u plućima, a koji se nazivaju primarnim rakom pluća, su karcinomi koji potječu iz epitelnih stanica. Glavni oblici karcinoma pluća su sitnostanični karcinom (engl. small-cell lung carcinoma - SCLC), koji se prije nazivao engl. oat cell cancer (jer su stanice tumora sitne i oblikom nalik na zrno zobi), i ne-sitnostanični karcinom (engl. non-small-cell lung carcinoma - NSCLC). Najčešći simptomi su kašalj (uz iskašljavanje krvi), mršavljenje i otežano disanje.[1]
Najčešći uzrok karcinoma pluća je dugotrajno pušenje duhana,[2] koje uzrokuje 80–90% slučajeva karcinoma pluća.[1] U nepušača se razvija 10–15% slučajeva karcinoma pluća,[3] a ti se slučajevi pripisuju kombinaciji genskih čimbenika,[4] izlaganju plinu radonu,[4] azbestu,[5] te zagađenju zraka[4] u koje spada i pasivno pušenje.[6][7] Karcinom pluća se može otkriti rendgenom pluća i kompjuteriziranom tomografijom (CT). Dijagnoza se potvrđuje biopsijom[8] koja se obično izvodi bronhoskopijom ili uz pomoć CT-a. Liječenje i dugoročni ishod ovise o vrsti karcinoma kliničkom stadiju bolesti (proširenosti) i procjeni sveukupnog zdravstvenog stanja bolesnika.
Liječenje se sastoji od kirurškog zahvata, kemoterapije i radioterapije. Ne-sitnostanični karcinom se ponekad liječi kirurški, dok sitnostanični karcinom obično bolje odgovara na kemoterapiju i radioterapiju.[9] U SAD-u, sveukupno petogodišnje preživljenje bolesnika s dijagnozom karcinoma pluća od trenutka postavljanja dijagnoze iznosi 15%.[10] Širom svijeta, karcinom pluća je najčešći uzrok smrti od zloćudnih tumora u muškaraca i žena i 2008. godine bio je odgovoran za 1,38 milijuna smrtnih slučajeva godišnje.[11]
Znakovi i simptomi
Znakovi i simptomi koji mogu ukazivati na karcinom pluća su:[1]
- dišni simptomi: kašljanje, iskašljavanje krvi, zviždanje iliotežano disanje
- sistemni simptomi: mršavljenje, vrućica, batićasti prsti na rukama ili zamor
- simptomi uslijed lokalnog pritiska: bol u prsištu, bol u kostima, sindrom gornje vene kave, otežano gutanje
Ukoliko karcinom raste unutar bronha, može ometati disanje dovodeći do otežanog disanja. Opstrukcija može izazvati nakupljanje sluzi ispod tumora i stvoriti sklonost razvoju pneumonije.[1]
Ovisno i vrsti karcinoma, sumnju na njega može pobuditi tzv. paraneoplastični sindrom.[12] Uz karcinom pluća, može se pojaviti Lambert–Eatonov mijastenični sindrom (mišićna slabost zbog autoantitijela), hiperkalcemija ili sindrom neodgovarajućeg izlučivanja antidiuretskog hormona (SIADH). Tumor u vršku pluća poznat pod imenom Pancoastov tumor može se proširiti u lokalne ogranke simpatičkog živčanog sustava i uzrokovati Hornerov sindrom (spuštanje očnog kapka i suženje zjenice s odgovarajuće strane) kao i oštećenje brahijalnog pleksusa.[1]
Mnogi simptomi karcinoma pluća (gubitak apetita, mršavljenje, vrućica, zamaranje) nisu specifični.[8] U mnogih bolesnika se u vrijeme pojave simptoma i traženja liječničke pomoći karcinom već proširio s mjesta nastanka. Najčešća mjesta metastaza su mozak, kosti, nadbubrežne žlijezde, suprotno plućno krilo, jetra, perikard i bubrezi.[13] Oko 10% bolesnika s karcinomom pluća u vrijeme postavljanja dijagnoze nema nikakvih simptoma; tumori se u njih pronalaze slučajno prilikom rutinske rentgenske slike pluća.[10]
Uzroci
Zloćudni tumor (rak) se općenito razvija uslijed oštećenja gena na DNK. Oštećenje gena utječe na normalne funkcije stanice, u koje spadaju proliferacija, programirana stanična smrt (apoptoza) i popravak oštećanja DNK. Gomilanjem oštećenja povećava se mogućnost razvoja zloćudnih tumora.[14]
Pušenje


Pušenje, osobito cigareta je najvažniji čimbenik koji doprinosi razvoju karcinoma pluća.[15] Dim cigarete sadrži više od 60 poznatih karcinogena,[16] u koje spadaju radioizotopi nastali razgradnjomradona, nitrozamini i benzopiren. Osim toga, smatra se kako nikotin smanjuje imunosni odgovor na rast tumora u tkivima koja su mu izložena.[17] U razvijenim dijelovima svijeta se 2000. godine 90% smrtnih slučajeva od karcinoma pluća u muškaraca (a 70% smrtnih slučajeva u žena) pripisivalo pušenju.[18] Pušenje je odgovorno za 80–90% slučajeva karcinoma pluća.[1]
Pasivno pušenje je udisanje duhanskog dima iz okoliša u kojem puši druga osoba je uzrok karcinoma pluća u nepušača. Pasivnim pušačem se smatra osoba koja radi ili živi s pušačem. Istraživanja iz SAD-a,[19][20]Europe,[21] Velike Britanije,[22] i Australije[23] s dosljednošću su dokazala znakovito povećanu opasnost u pasivnih pušača.[24] Osobe koje žive s pušačem su u 20–30% povećanoj opasnosti, dok su one koje pasivno puše na poslu u 16–19% povećanoj opasnosti od razvoja karcinoma pluća.[25] Istraživanja posrednog pušenja ukazuju na to da je ono opasnije od neposrednog pušenja.[26] Pasivno pušenje uzrokuje godišnje oko 3400 smrtnih slučajeva od karcinoma pluća u SAD-u.[20]
Radon
Radon je bezbojni plin bez mirisa koji nastaje raspadom radioaktivnog radija, koji je pak razgradni produkt urana koji se nalazi u Zemljinoj kori. Razgradni produkti ioniziraju genski materijal, uzrokujući mutacije koje mogu dovesti do razvoja raka. U SAD-u, radon je drugi po redu uzročnik karcinoma pluća, odmah nakon pušenja.[20] Opasnost se povećava za 8–16% na svakih 100 Bq/m³povećanja koncentracije radona.[27]Razine radona se razlikuju ovisno o pojedinom mjestu i sastavu tla i stijena. Primjerice, u područjima kao što je Cornwall u Velikoj Britaniji (gdje u tlu ima puno granita), radon predstavlja veliki problem pa se zgrade moraju mehanički provjetravati da se smanji koncentracija radona. United States Environmental Protection Agency (EPA) procjenjuje da se je u SAD-u jednom od 15 kućanstava razina radona iznad dozvoljene od 4 pikokirija na litru (pCi/l) (148 Bq/m³).[28]
Azbest
Azbest može uzrokovati niz plućnih bolesti, uključujući i rak pluća. Pušenje i azbest imaju sinergistički učinak na razvoj raka pluća.[5] Azbest može također uzrokovati i rak pleure, mezoteliom (koji se razlikuje od karcinoma pluća).[29]
Zagađenje zraka
Zagađenje zraka na otvorenom ima mali učinak na povećanje opasnosti od razvoja karcinoma pluća.[4] S malo povećanom opasnošću su povezane sitne atmosferske čestice (PM2.5) i sumporni aerosoli koji se nalaze u ispušnim plinovima automobila.[4][30] Dodatni porast dušikova dioksida od 10 ppb (čestica na milijardu) povećava opasnost od karcinoma pluća za 14%.[31] Smatra se da je vanjsko zagađenje zraka odgovorno za 1–2% slučajeva karcinoma pluća.[4]
Dokazi dobiveni pokusima govore u prilog povećanoj opasnosti od karcinoma pluća uslijed zagađenja zraka u zatvorenom prostoru zbog sagorijevanja drveta, ugljena, sijena ili stajskog gnojiva u svrhu zagrijavanja ili kuhanja.[32] Žene izložene dimu uslijed sagorijevanja ugljena su u oko dva puta većoj opasnosti, a niz nusprodukata sagorijevajuće biomase su poznati ili pretpostavljeni karcinogeni.[33] U ovoj je opasnosti širom svijeta oko 2.4 milijarde ljudi,[32] te se smatra odgovornom za 1.5% smrtnih slučajeva od karcinoma pluća.[33]
Genetika
Procjenjuje se kako se 8 do 14% karcinoma pluća razvija uslijed nasljednih čimbenika.[34] U rodbine bolesnika s karcinomom pluća, opasnost je povećana 2.4 puta, vjerojatno zbog genskog polimorfizma.[35]
Ostali uzroci
Brojne druge tvari (osim već nabrojanih), zanimanja i okolišni čimbenici povezivani su s karcinomom pluća. International Agency for Research on Cancer (IARC) smatra da postoji "dovoljno dokaza" koji pokazuju karcinogeno djelovanje na pluća:[36]
- Nekih metala (proizvodnja aluminija, kadmij i spojevi kadmija, spojevi kroma(VI), berilij i spojevi berilija, spojevi nastali taljenjem željeza i čelika, spojevi nikla, arsen i anorganski spojevi arsena, rudarenje hematita)
- Nekih spojeva nastalih sagorijevanjem (nepotpuno sagorijevanje, ugljen (zagrijavanje kućanstava ugljenom), rasplinjavanje ugljika, katran kamenog ugljena, proizvodnja koksa, čađa, ispušni plinovi diesel goriva)
- Ionizirajućeg zračenja (X-zrake, radon-222 i njegovi raspadni produkti, gama zračenje, plutonij)
- Nekih otrovnih plinova (metileter (tehnološke čistoće), bis-(klorometil) eter, sumporni iperit, kemoterapija režimom MOPP (vinkristin-prednizon-dušikov iperit-prokarbazin), isparenja boja)
- Proizvodnje gume i kvarca silicijeva prašina
Patogeneza
Kao i mnogi drugi zloćudni tumori, rak pluća započinje aktivacijom onkogena ili inaktivacijom tumor supresorskih gena.[37] Smatra se da onkogeni stvaraju sklonost razvoju raka. Protoonkogeni se pretvaraju u onkogene pod utjecajem određenih karcinogena.[38] mutacije K-ras protoonkogena su odgovorne za 10–30% adenokarcinoma pluća.[39][40] Receptori za epidermalni čimbenik rasta (engl. epidermal growth factor receptor - EGFR) reguliraju proliferaciju stanica, apoptozu, angiogenezu i tumorsku invaziju.[39] Mutacije i amplifikacije EGFR su česte u ne-sitnostaničnim oblicima karcinoma pluća, što je osnova liječenja inhibitorima EGFR-a. Promjena Her2/neu je manje učestala.[39] Oštećenje kromosoma može dovesti do gubitka heterozigotnosti. On može izazvati inaktivaciju tumor supresorskih gena. U tkivu sitnostaničnog karcinoma pluća osobito su česta oštećenja kromosoma 3p, 5q, 13q i17p. Tumor supresorski gen p53 koji se nalazi na kromosomu 17p je oštećen u 60-75% slučajeva.[41] Ostali geni koji su često mutirani ili amplificirani su c-MET, NKX2-1,LKB1, PIK3CA i BRAF.[39]
Dijagnoza

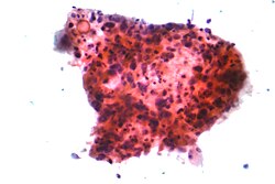
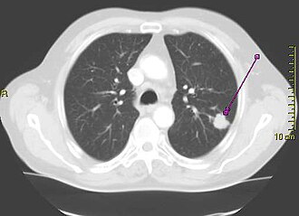
Jedna od prvih pretraga u osobe sa simptomima koji bi mogli ukazivati na karcinom pluća je rentgen prsišta. Njime se može otkriti jasna tumorska masa, proširenje medijastiuma (koje ukazuje na tumorsko zahvaćanje limfnih čvorova u tom području), atelektazu (kolaps pluća), konsolidaciju (pneumoniju) ili pleuralni izljev.[2] CT se tipično koristi za dobivanje podrobnijih podataka o vrsti i proširenosti bolesti. Bronhoskopija ili biopsija pod kontrolom CT-a se često koristi za uzimanje uzorka tkiva tumora u svrhu patohistološke pretrage.[10]
Na rentgenskoj slici pluća karcinom pluća se često očituje kao pojedinačni čvor u plućima. Međutim, u tom je slučaju diferencijalna dijagnoza vrlo široka. Mnoge druge bolesti mogu se očitovati na isti način, uključujući tuberkulozu, gljivične infekcije, metastazu raka iz nekog drugog primarnog sijela i organizirajuću pneumoniju. Manje učestali uzroci pojedinačnog čvora u plućima su hamartomi, bronhogene ciste, adenomi, arteriovenska malformacija, plućna sekvestracija, reumatoidni čvorovi, Wegenerova granulomatoza ili limfom.[42] Rak pluća može biti i slučajni nalaz, na retgenskoj slici ili CT-u pluća učinjenima iz nekog drugog razloga.[43] Konačna dijagnoza karcinoma pluća postavlja se na osnovi histološke pretrage tkiva koje je sumnjivo na osnovi kliničkih i rentgenskih osobina.[1]
Klasifikacija
| Histološki tip | Incidencija na 100 000 godišnje |
|---|---|
| Svi tipovi | 66.9 |
| Adenokarcinom | 22.1 |
| Planocelularn karcinom (karcinom pločastih stanica) | 14.4 |
| Sitnostanični karcinom | 9.8 |
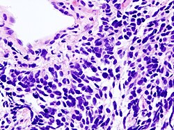
Karcinomi pluća se klasificiraju prema histološkom tipu.[8] Ova klasifikacija je važna za određivanje liječenja i prognozu ishoda bolesti. Većina zloćudnih tumora pluća su karcinomi, zloćudni tumori koji potječu od epitelnih stanica. Karcinomi pluća se svrstavaju na osnovi izgleda zloćudnih stanica koje određuje patolog, pomoću mikroskopa. Dvije najšire skupine su ne-sitnostanični i sitnostanični karcinomi pluća.[44]
Ne-sitnostanični karcinom pluća

Tri glavna podtipa ne-sitnostaničnog karcinoma pluća su adenokarcinom, karcinom pločastih stanica i velikostanični karcinom.[1]
Oko 40% karcinoma pluća su adenokarcinomi, koji se obično počinju razvijati na periferiji pluća.[8] Većina adenokarcinoma je povezana s pušenjem, međutim u osoba koje su u životu popušile manje od 100 cigareta (što se računa kao da nisu nikada pušile),[1] adenokarcinom je najčešći oblik karcinoma pluća.[45] Podtip adenokarcinoma, bronhioloalveolarni karcinom, je učestaliji u žena koje nikada nisu pušile i može imati bolju dugoročnu prognozu.[46]
Karcinom pločastih stanica (planocelularni karcinom) čini oko 30% svih karcinoma pluća. On se tipično razvija u velikim bronhima. U središtu ovog tumora često se nalazi šupljina uslijed nekroze tumorskih stanica.[8]Oko 9% karcinoma pluća su velikostanični karcinomi, koji se nazivaju tako jer su tumorske stanice izrazito velike, s obilnom citoplazmom, velikim jezgrama i uočljivim nukleolima.[8]
Sitnostanični karcinom pluća

Stanice sitnostaničnog karcinoma pluća (SCLC) sadrže gusta neurosekretorna zrnca (vezikule koje sadrže neuroendokrine hormone), zbog čega su s ovim tumorom povezani endokrini/paraneoplastični sindromi.[47] Većina ih nastaje u velikim i srednje velikim bronhima (prvog i drugog reda).[10]Ovi karcinomi rastu brzo i metastaziraju rano tijekom bolesti. U doba postavljanja dijagnoze metastaze postoje u šezdeset do sedamdeset posto bolesnika. Ovaj tip karcinoma pokazuje jaku povezanost s pušenjem.[1]
Ostali
Premda histološka podjela obuhvaća četiri glavna histološka podtipa, neki oblici raka pluća mogu sadržavati kombinaciju različitih podtipova.[44] Rijetki podtipopvi su karcinom tipa žlijezda slinovnica, karcinoid i nediferencirani karcinomi.[1]
Metastaze
| Histološki tip | Imunohistokemija |
|---|---|
| Karcinom pločastih stanica | CK5/6 pozitivnost CK7 negativnost |
| Adenokarcinom | CK7 pozitivnost TTF-1 pozitivnost |
| Velikostanični karcinom | TTF-1 negativnost |
| Sitnostanični karcinom | TTF-1 pozitivnost CD56 pozitivnost Kromogranin pozitivnost Sinaptofizin pozitivnost |
Zloćudni tumori brojnih drugih organa često metastaziraju u pluća. Sekundarni karcinomi (metastaze) se klasificiraju ovisno o primarnom sijelu tumora; primjerice kao metastaze karcinoma dojke u pluća. Na rentgenskim slikama pluća metastaze često imaju karakteristični okruglasti izgled.[48]
Primarni karcinomi pluća najčešće metastaziraju u mozak, jetru i nadbubrežne žlijezde.[8] Imunohistokemijsko bojenje biopsije često pomaže u određivanju porijekla metastaza.[49]
Klinički stadij
Određivanje kliničkog stadija zloćudnog tumora predstavlja procjenu proširenosti tumora s mjesta nastanka. Ono je jedan od čimbenika koji utječu na prognozu i na mogućnosti liječenja karcinoma pluća.[1]
Za početnu procjenu kliničkog stadija ne-sitnostaničnog karcinoma pluća koristi se TNM klasifikacija. Ona se zasniva na veličini primarnog Tumora, zahvaćanju limfnih čvorova (engl. lymph Nodes) i postojanju udaljenih Metastaza. Pomoću TNM osobina određuje se kojoj skupini tumor pripada, od okultnoga, preko stadija 0, IA (jedan-A), IB, IIA, IIB, IIIA, IIIB i IV (četiri). Određivanje u koju skupinu prema proširenosti bolesti bolesnik spada pomaže u određivanju načina liječenja i procjeni ishoda bolesti.[50]
Sitnostanični karcinomi pluća tradicionalno su se klasificirali u skupinu 'ograničenog stadija' (ograničen na jednu polovicu prsišta, s mogućnošću radioterapije u području samo jednog polja zračenja) i 'proširenog stadija' (proširenije bolesti).[1] Međutim, i u ovom je slučaju TNM klasifikacija korisna prilikom procjene prognoze bolesti.[50]
I kod ne-sitnostaničnih i kod sitnostaničnih karcinoma postoje dvije vrste određivanja stadija, a to su kliničko i kirurško određivanje. Kliničko određivanje stadija izvodi se prije konačnog kirurškog zahvata, a zasniva se na slikovnim pretragama (kao što su CT PET) i na nalazima biopsije. Kirurško određivanje stadija provodi se za vrijeme ili nakon kirurškog zahvata, a zasniva se na kombinaciji kirurških i kliničkih nalaza, uključujući i nalaz patohistološke pretrage limfnih čvorova iz prsišta.[8]
Prevencija
Prevencija je financijski najisplativiji način smanjivanja broja oboljelih od karcinoma pluća. Premda su u mnogim zemljama otkriveni i zabranjeni brojni industrijski i kućanski karcinogeni, pušenje je još uvijek vrlo rašireno. Isključivanje pušenja duhana je primarni cilj prevencije karcinoma pluća, pri čemu je najvažnija preventivna mjera prestanak pušenja.[51]
U zapadnim zemljama uvedeni su zakoni za smanjenje opasnosti od pasivnog pušenja na javnim mjestima poput restorana, kao na radnim mjestima.[52] U Butanu je pušenje u potpunosti zabranjeno od 2005.,[53] dok je Indija uvela zabranu pušenja na javnim mjestima u listopadu 2008.[54] Svjetska zdravstvena organizacija je pozvala vlade svih zemalja da uvedu potpunu zabranu reklamiranja cigareta, kako bi se mlade ljude spriječilo da započnu pušiti. Procjenjuje se da je nakon uvođenja ove zabrane pušenje smanjeno za 16%.[55]
Dugotrajno integriranje A vitamina,[56][57] vitamina C,[56] vitamina D[58] ili vitamina E[56] ne smanjuje opasnost od razvoja karcinoma pluća. Neka istraživanja su ukazala da prehrana bogata povrćem i voćem smanjuje opasnost,[20][59] no vjerojatno se radi o zabuna|zabuni. Bolje osmišljena istraživanja nisu pokazala jasnu povezanost.[59]
Probir
Probir se odnosi na medicinsku pretrage kojima se bolest otkriva u asimptomatskoj fazi. Mogući probirni testovi za karcinom pluća su citopatološka pretraga sputuma, rentgen prsišta i kompjuterizirana tomografija (CT). Programi probira pomoću rentgenske slike ili citopatološke pretrage nisu se pokazali korisnima.[60] Godišnji probir visokorizičnih skupina (što su osobe u dobi od 55 do 79 godina koji su više od 30 godina pušile određeni broj kutija cigareta (engl. pack years), kao i osobe koje su već preboljele karcinom pluća) niskodozažnim CT-om može smanjiti apsolutni rizik od smrtnog ishoda uslijed karcinoma pluća za 0.3%, a relativni rizik za 20%.[61][62] Međutim, broj lažno pozitivnih slikovnih pretraga je velik, što može dovesti do izvođenja nepotrebnih invazivnih pretraga i prilično povisiti cijenu probira.[63] Na svaku zaista pozitivnu CT pretragu ima više od 19 lažno pozitivnih.[64] Osim toga, izlaganje zračenju prilikom ove vrste probira predstavlja također potencijalnu opasnost.[65]
Liječenje
Liječenje karcinoma pluća ovisi o histološkom tipu, proširenosti stadiju i općem zdravstvenom stanju bolesnika. Uobičajeni načini liječenja obuhvaćaju palijativna skrb,[66] kirurški zahvat, kemoterapiju i zračenje.[1]
Kirurško liječenje

Ukoliko se pretragama dokaže kako se radi o ne-sitnostaničnom karcinomu, određuje se klinički stadij kako bi se vidjelo je li tumor lokaliziran i dostupan kirurškom zahvatu ili se proširio do te mjere da se ne može liječiti kirurškim putem. Za određivanje se koristi CT i pozitronska emisijska tomografija.[1] Ako se sumnja na zahvaćanje medijastinalnih limfnih čvorova, oni se mogu bioptirati uz pomoć medijastinoskopije što pomaže pri određivanju stadija.[67] Za procjenu je li bolesnik u dovoljno dobrom stanju da podnese kirurški zahvat izvode se pretrage krvi i funkcionalni plućni testovi.[10] Ako funkcionalni plućni testovi pokažu malu dišnu rezervu, kirurški zahvat može biti nemoguć.[1]
U većini slučajeva ne-sitnostaničnog karcinoma u ranome stadiju, liječenje izbora je odstranjenje jednog plućnog režnja (lobektomija). U bolesnika čije zdravstveno stanje onemogućuje tako opsežan kirurški zahvat, može se učiniti manja, sublobarna ekscizija (klinasta resekcija). Klinasta je resekcija, međutim, povezana s većom opasnošću od recidiva negoli lobektomija.[68] Brahiterapija radioaktivnim jodom na rubovima klinaste ekscizije može smanjiti opasnost od recidiva.[69]Odstranjenje čitavog plućnog krila (pneumonektomija) se izvodi rijetko.[68] Minimalno invazivni pristup karcinomu pluća nude videoasistirana torakoskopska kirurgija i VATS lobektomija.[70] U usporedbi s uobičajenom lobektomijom, VATS lobektomija je jednako učinkovita, a praćena je manjim postoperativnim pobolom.[71]
U slučajevima sitnostaničnog karcinoma tipično se liječenje sastoji od kemoterapije i/ili radioterapije.[72] Međutim, uloga kirurškog liječenja sitnostaničnog karcinoma pluća se preispituje. Kad se učini u ranim stadijima sitnostaničnog karcinoma pluća, kirurški zahvat može, uz kemoterapiju i zračenje, poboljšati ishod bolesti.[73]
Radioterapija
Radioterapija se često primjenjuje zajedno s kemoterapijom, kao i u bolesnika od ne-sitnostaničnog karcinoma pluća koji ne mogu podnijeti kirurški zahvat. U takvim se slučajevima jako intenzivnog liječenja zračenjem ono naziva radikalnom radioterapijom.[74] Poboljšanje ove metode je kontinuirana akcelerirana radioterapija (CHART), kod koje se visoka doza zračenja primjenjuje u kratkom vremenskom razdoblju.[75] Postoperativno zračenje prsišta se u pravilu ne bi trebalo primjenjivati u svrhu izlječenja bolesnika sa ne-sitnostaničnim karcinomom pluća.[76] Neki bolesnici mogu imati koristi od postoperativnog zračenja, ukoliko u njih postoji zahvaćanje medijastinalnih limfnih čvorova stadija N2.[77]
U slučajevima potencijalno izlječivih sitnostaničnih karcinoma, uz kemoterapiju se često preporučuje i zračenje prsišta.[8]
Ako karcinom svojim rastom začepljuje kratki odsječak bronha, može se primijeniti brahiterapija (lokalizirano zračenje) neposredno u bronh, u svrhu obnavljanja njegove prohodnosti.[78]U usporedbi sa zračenjem izvana, brahiterapija omogućuje skraćenje liječenja i smanjuje ozračivanje medicinskog osoblja.[79]
Profilaktičko kranijalno zračenje (engl. prophylactic cranial irradiation – PCI) je oblik radioterapije mozga u svrhu smanjenja opasnosti od metastaza. PCI je najkorisniji kod sitnostaničnog karcinoma. U bolesti ograničenog stadija, PCI povećava trogodišnje preživljenje za 15% do 20%; kod proširene bolesti jednogodišnje preživljenje se povećava od 13% do 27%.[80]
Nedavna poboljšanja u ciljanom liječenju i slikovnim metodama prikaza dovela su do razvoja stereotaktičkog zračenja u liječenju karcinoma pluća ranog stadija. Kod ovog oblika radioterapije, primjenjuju se velike doze zračenja uz mali broj dolazaka, uz pomoć stereotaktičkih ciljanih metoda. Ovakav način liječenja se primjenjuje ponajprije u bolesnika kod kojih je zbog komorbiditeta kirurški zahvat opasan.[81]
Za ublažavanje simptoma i u bolesnika s ne-sitnostaničnim, i u bolesnika sa sitnostaničnim karcinomom pluća mogu se primjenjivati male doze zračenja prsišta, što se naziva palijativna skrb zračenjem.[82]
Kemoterapija
Režim kemoterapije ovisi o tipu tumora.[8] Sitnostanični karcinom se, čak i u relativno ranom stadiju bolesti, liječi prvenstveno kemoterapijom i zračenjem.[83] Za liječenje sitnostaničnog karcinoma najčešće se primjenjuju cisplatina ietopozid.[84] Također se koriste kombinacije s karboplatinom, gemcitabinom,paklitakselom, vinorelbinom, topotekanom i irinotekanom.[85][86] Kod uznapredovalog ne-sitnostaničnog karcinoma kemoterapija poboljšava preživljenje i predstavlja liječenje prvog izbora, pod uvjetom da je bolesnik u dovoljno dobrom općem zdravstvenom stanju kako bi podnio liječenje.[87] Tipično se primjenjuju dva lijeka, od kojih je jedan često na osnovi platine (cisplatina ili karboplatina). Drugi često primjenjivani lijekovi su gemcitabin, paklitaksel, docetaksel,[88][89] pemetreksed,[90] etopozid ili vinorelbin.[89]
Naziv adjuvantna kemoterapija se odnosi na liječenje kemoterapijom nakon kirurškog izlječenja, a u svrhu produljenja preživljenja. Kod ne-sitnostaničnog karcinoma se za vrijeme kirurškog zahvata uzimaju uzorci regionalnih limfnih čvorova zbog što točnijeg određivanja stadija. Ako se potvrdi da je bolest u stadiju II ili III, adjuvantna kemoterapija poboljšava petogodišnje preživljenje za 5%.[91][92] Kombinacija vinolrebina i cisplatine pokazala se učinkovitijom od starijih kemoterapijskih režima.[92] Primjena adjuvantne kemoterapije u bolesnika u stadiju bolesti IB je sporna, jer klinička istraživanja nisu jasno dokazala povoljan utjecaj na preživljenje.[93][94] Rezultati istraživanja preoperativne (neoadjuvantne kemoterapije) u ne-sitnostaničim karcinomima koje je bilo moguće kirurški odstraniti nisu se pokazali uvjerljivima.[95]
Palijativno liječenje
Bolesnicima u terminalnoj fazi bolesti može pomoći palijativno liječenje ili smještaj u hospicij.[10] Ovakav pristup liječenju podložan je dodatnoj raspravi o načinima liječenja i pruža mogućnost donošenja promišljenih odluka [96][97] te se njime može izbjeći beskorisno i skupo liječenje bolesnika kojima nema pomoći.[97]
Pri liječenju ne-sitnostaničnoga karcinoma, kemoterapija se može kombinirati s palijativnim liječenjem. U uznapredovalim slučajevima, odgovarajuća kemoterapija produljuje prosjek preživljenja u usporedbi s isključivo potpornim liječenjem, a poboljšava i kvalitetu života.[98] Ukoliko je opće zdravstveno stanje bolesnika odgovarajuće, primjena suvremene kemoterapije u sklopu palijativnog liječenja omogućuje produljenje života za 1.5 do 3 mjeseca, ublažavanje simptoma i poboljšanje kvalitete života.[99][100] NSCLC Meta-Analyses Collaborative Group preporučuje da se, ako bolesnik želi i može podnijeti liječenje, u uznapredovalim slučajevima ne-sitnostaničnog karcinoma pluća razmotri mogućnost primjene kemoterapije.[87][101]
Prognoza
| Klinički stadij | Petogodišnje preživljenje (%) | |
|---|---|---|
| Ne-sitnostanični karcinom pluća | Sitnostanični karcinom pluća | |
| IA | 50 | 38 |
| IB | 47 | 21 |
| IIA | 36 | 38 |
| IIB | 26 | 18 |
| IIIA | 19 | 13 |
| IIIB | 7 | 9 |
| IV | 2 | 1 |
Prognoza karcinoma pluća je općenito loša. Od svih bolesnika s karcinomom pluća 15% preživi pet godina nakon postavljanja dijagnoze.[2] U vrijeme postavljanja dijagnoze bolest je često već u uznapredovalom stadiju. Kad bolesnici zatraže liječničku pomoć 30–40% onih koji imaju ne-sitnostanični karcinom, a 60% onih sa sitnostaničnim karcinomom su u kliničkom stadiju IV.[8]
Prognostički čimbenici u bolesnika s ne-sitnostaničnim karcinomom su postojanje/odsutnost plućnih simptoma, veličina tumora, tip tumorskih stanica (patohistologija), proširenost tumora (stadij), metastaze u više limfnih čvorova i vaskularna invazija. U bolesnika s inoperabilnim tumorom, ishod je lošiji u onih s lošim općim zdravstvenim stanjem i s gubitkom više od 10% tjelesne mase.[102] Prognostički čimbenici u bolesnika sa sitnostaničnim karcinomom su opće zdravstveno stanje, spol, stadij bolesti i zahvaćanje središnjeg živčanog sustava ili jetre u vrijeme postavljanja dijagnoze.[103]
U bolesnika s ne-sitnostaničnim karcinomom, najbolji ishod se postiže potpunom kirurškom resekcijom u stadiju bolesti IA, uz petogodišnje preživljenje i do 70%.[104] U bolesnika sa sitnostaničnim karcinomom, sveukupno petogodišnje preživljenje iznosi oko 5%.[1] U bolesnika sa sitnostaničnim karcinomom visokog stadija prosječno petogodišnje preživljenje iznosi manje od 1%. Prosječno preživljenje ako je bolest u ograničenom stadiju iznosi 20 mjeseci, a petogodišnje preživljenje 20%. [2]
Prema podacima Instituta, medijan dobi u kojoj se postavlja dijagnoza karcinoma pluća u SAD-u iznosi 70 godina,[105] a medijan dobi u kojoj dolazi do smrtnog ishoda uslijed te bolesti iznosi 72 godine.[106] U SAD-u je ishod bolesti bolji u zdravstveno osiguranih bolesnika.[107]
Epidemiologija
██ no data ██ ≤ 5 ██ 5-10 ██ 10-15 ██ 15-20 ██ 20-25 ██ 25-30 | ██ 30-35 ██ 35-40 ██ 40-45 ██ 45-50 ██ 50-55 ██ ≥ 55 |

Karcinom pluća je širom svijeta na prvom mjesto po incidenciji i smrtnosti. Godine 2008. pojavilo se 1.61 milijun novih slučajeva karcinoma pluća, koji je te godine bio uzrokom 1,38 milijuna smrtnih slučajeva. Bolest je najučestalija u Europi i Sjevernoj Americi.[11] Osobe u kojih je vjerojatnost razvoja karcinoma pluća najveća su one u životnoj dobi iznad 50 godina, s pušenjem u anamnezi. Za razliku od stope smrtnosti u muškaraca, koja se u posljednih 20 godina smanjuje, stopa smrtnosti u žena se posljednjh desetljeća povećava te se tek nedavno ustalila.[109] U SAD-u rizik tijekom čitavog života za razvoj karcinoma pluća u muškaraca iznosi 8%, a u žena 6%.[1]
Na svakih 3-4 milijuna popušenih cigareta, dolazi do jednog smrtnog slučaja uslijed karcinoma pluća.[1][110] Duhanska industrija ima veliki utjecaj na pušenje u društvu.[111] Pod utjecajem reklama za duhanske proizvode veća je vjerojatnost da će mladi nepušači započeti s pušenjem.[112] Sve se više uviđa uloga pasivnog pušenja kao čimbenika rizika za razvoj karcinoma pluća,[24] što je dovelo do zabrana pušenja na javnim mjestima kako bi se nepušače poštedilo izlaganju duhanskom dimu.[113] Zagađenje zraka ispušnim plinovima automobila, tvornica i elektrana također predstavlja potencijalnu opasnost.[4]
Najveća smrtnost od raka pluća u muškaraca je u istočnoj Europi, dok je smrtnost u žena najveća u sjevernoj Europi i SAD-u. U SAD-u je stopa smrtnosti veća i u muškaraca i u žena crne rase.[114] Stope smrtnosti od karcinoma pluća trenutno su niže u zemljama u razvoju.[115] S povećanjem broja pušača u zemljama u razvoju u sljedećih nekoliko godina se očekuje povećanje smrtnosti, osobito u Kini [116] i Indiji.[117]
U odnosu na druge tipove karcinoma pluća, od 1960-ih se broj slučajeva adenokarcinoma počeo povećavati, što se djelomice pripisuje proizvodnji cigareta s filterom. Filter odstranjuje veće čestice iz duhanskog dima čime se smanjuje njihovo taloženje u velikim bronhima. Međutim, kako bi pušenjem dobio jednaku količinu nikotina, pušač mora udahnuti dublje, čime dolazi do taloženja čestica u malim bronhima i u alveolama, gdje se adenokarcinom najčešće razvija.[118] Incidencija adenokarcinoma pluća je u stalnom porastu.[119]
Povijest
Prije raširene navike pušenja cigareta karcinom pluća je bio rijetkost, a kao posebna bolest nije raspoznat sve do 1761.[120] Različite osobine karcinoma pluća dodatno su opisane 1810. godine.[121] Zloćudni tumori pluća sačinjavali su samo 1% svih zloćudnih tumora pronađenih obdukcijama 1878., ali se njihov broj u ranim 1900-tim godinama povećao na 10–15% .[122] Godine 1912. je u svjetskoj medicinskoj literature postojalo samo 374 opisa slučajeva karcinoma pluća,[123]ali je pregledom obdukcijskih nalaza utvrđeno kako je incidencija karcinoma pluća porasla sa 0,3% godine 1852. na 5,66% u 1952. godini.[124] Liječnik Fritz Lickint je 1929. u Njemačkoj uočio povezanost između pušenja i karcinoma pluća,[122] što je dovelo do agresivne antipušačke kampanje.[125] British Doctors Study koja je objavljena 1950-ih godina bilo je prvo čvrsto zasovano epidemiološko istraživanje povezanosti između karcinoma pluća i pušenja.[126] Zbog toga je 1964. Surgeon General of the United States preporučio pušačima da prekinu s tom navikom.[127]
Povezanost s plinom radonom prvo je uočena u rudara u području Rudne gore na granici Njemačke i Češke. U tom području se od 1470. godine rudarilo srebro, a tamo su stijene bogate uranom koji je praćen radijem i plinom radonom.[128] U rudara se pojavljivao nesrazmjeno veliki broj plućnih bolesti, koje su 1870-ih godina konačno raspoznate kao karcinom pluća.[129] Usprkos ovom saznanju, rudarenje se nastavilo sve do 1950-ih godina, zbog zahtjeva SSSR-a za uranom.[128] Da je radon uzrok karcinoma pluća potvrđeno je 1960-ih godina.[130]
Prva uspješna pneumonektomija zbog karcinoma pluća izvedena je 1933.[131] Palijativna se radioterapija koristi od 1940-ih.[132] Radikalna radioterapija, koja je korištena od 1950-ih godina predstavljala je pokušaj primjene većih doza zračenja u bolesnika s relativno ranim stadijem karcinoma pluća, a koji ne bi mogli podnijeti kirurški zahvat.[133] Godine 1997. prednost pred uobičajenom radioterapijom počela se davati hiperfrakcioniranoj akceleriranoj radioterapiji.[134] U bolesnika sa sitnostaničnim karcinomom pluća, početni pokušaji kirurškog liječenja 1960-ih godina[135] kao i radikalna radioterapija[136] pokazali su se neuspješnima. Uspješni kemoterapijski režimi razvijeni su 1970-ih godina.[137]
Izvori
- ↑ 1,00 1,01 1,02 1,03 1,04 1,05 1,06 1,07 1,08 1,09 1,10 1,11 1,12 1,13 1,14 1,15 1,16 1,17 1,18 1,19
• Nepoznat parametar:
coauthors
• Parametarchapternije dopušten u klasibook - ↑ 2,0 2,1 2,2 2,3 • Parametar
accessdatenije dopušten u klasiweb - ↑ • Nepoznat parametar:
month
• Nepoznat parametar:coauthors
• Nepoznat parametar:pmc
• Nepoznat parametar:issue
• Parametarpmidnije dopušten u klasijournal
• Parametartypenije dopušten u klasijournal - ↑ 4,0 4,1 4,2 4,3 4,4 4,5 4,6 4,7
• Parametar
chapternije dopušten u klasibook - ↑ 5,0 5,1 • Nepoznat parametar:
month
• Nepoznat parametar:coauthors
• Nepoznat parametar:issue
• Parametarpmidnije dopušten u klasijournal
• Parametartypenije dopušten u klasijournal
• Parametarurlnije dopušten u klasijournal - ↑ The Health Consequences of Involuntary Exposure to Tobacco Smoke: A Report of the Surgeon General. U.S. Department of Health and Human Services 0. 27. lipnja 2006 1.
- ↑ • Parametar
typenije dopušten u klasijournal
• Parametarpublishernije dopušten u klasijournal
• Parametarurlnije dopušten u klasijournal
• Parametarformatnije dopušten u klasijournal - ↑ 8,00 8,01 8,02 8,03 8,04 8,05 8,06 8,07 8,08 8,09 8,10
• Nepoznat parametar:
coauthors
• Parametarchapternije dopušten u klasibook - ↑
• Nepoznat parametar:
coauthors
• Parametarchapternije dopušten u klasibook - ↑ 10,0 10,1 10,2 10,3 10,4 10,5 • Nepoznat parametar:
month
• Nepoznat parametar:coauthors
• Nepoznat parametar:issue
• Parametarpmidnije dopušten u klasijournal
• Parametartypenije dopušten u klasijournal
• Parametarpublishernije dopušten u klasijournal
• Parametarurlnije dopušten u klasijournal - ↑ 11,0 11,1 • Nepoznat parametar:
coauthors
• Nepoznat parametar:issue
• Parametarpmidnije dopušten u klasijournal
• Parametartypenije dopušten u klasijournal
• Parametardatenije dopušten u klasijournal
• Parametarurlnije dopušten u klasijournal - ↑ • Nepoznat parametar:
issue
• Nepoznat parametar:month
• Nepoznat parametar:coauthors
• Nepoznat parametar:pmc
• Parametarpmidnije dopušten u klasijournal
• Parametartypenije dopušten u klasijournal
• Parametarpagenije dopušten u klasijournal
• Parametarpublishernije dopušten u klasijournal
• Parametarurlnije dopušten u klasijournal - ↑ Greene, Frederick L. (2002.) AJCC cancer staging manual.
- ↑
• Nepoznat parametar:
coauthors
• Parametarchapternije dopušten u klasibook - ↑ • Nepoznat parametar:
issue
• Nepoznat parametar:coauthors
• Parametarpmidnije dopušten u klasijournal
• Parametartypenije dopušten u klasijournal
• Parametarlocationnije dopušten u klasijournal
• Parametarurlnije dopušten u klasijournal - ↑ • Nepoznat parametar:
month
• Nepoznat parametar:issue
• Parametarpmidnije dopušten u klasijournal
• Parametartypenije dopušten u klasijournal
• Parametarpublishernije dopušten u klasijournal
• Parametarurlnije dopušten u klasijournal - ↑ • Nepoznat parametar:
month
• Nepoznat parametar:issue
• Parametarpmidnije dopušten u klasijournal
• Parametartypenije dopušten u klasijournal - ↑
• Nepoznat parametar:
coauthors - ↑ • Nepoznat parametar:
pmc
• Nepoznat parametar:issue
• Parametarpmidnije dopušten u klasijournal
• Parametartypenije dopušten u klasijournal
• Parametarurlnije dopušten u klasijournal
*• Nepoznat parametar:authorlink
• Nepoznat parametar:month
• Nepoznat parametar:issue
• Parametarpmidnije dopušten u klasijournal
• Parametartypenije dopušten u klasijournal
• Parametarpublishernije dopušten u klasijournal
• Parametarlocationnije dopušten u klasijournal
• Parametarurlnije dopušten u klasijournal - ↑ 20,0 20,1 20,2 20,3 • Nepoznat parametar:
month
• Nepoznat parametar:coauthors
• Nepoznat parametar:issue
• Parametarpmidnije dopušten u klasijournal
• Parametartypenije dopušten u klasijournal
• Parametarpublishernije dopušten u klasijournal
• Parametarurlnije dopušten u klasijournal - ↑ • Nepoznat parametar:
coauthors
• Nepoznat parametar:month
• Nepoznat parametar:issue
• Parametarpmidnije dopušten u klasijournal
• Parametartypenije dopušten u klasijournal
• Parametarurlnije dopušten u klasijournal - ↑ • Nepoznat parametar:
month
• Nepoznat parametar:pmc
• Nepoznat parametar:issue
• Parametarpmidnije dopušten u klasijournal
• Parametartypenije dopušten u klasijournal
• Parametarurlnije dopušten u klasijournal - ↑ • Nepoznat parametar:
archivedate
• Nepoznat parametar:archiveurl
• Nedostaje obavezni parametar:journal
• Parametartypenije dopušten u klasijournal
• Parametardatenije dopušten u klasijournal
• Parametarpublishernije dopušten u klasijournal
• Parametarurlnije dopušten u klasijournal
• Parametaraccessdatenije dopušten u klasijournal - ↑ 24,0 24,1 • Nepoznat parametar:
coauthors
• Nepoznat parametar:month
• Nepoznat parametar:issue
• Parametarpmidnije dopušten u klasijournal
• Parametartypenije dopušten u klasijournal
• Parametarurlnije dopušten u klasijournal - ↑ • Parametar
accessdatenije dopušten u klasiweb - ↑ • Nepoznat parametar:
month
• Nepoznat parametar:coauthors
• Nepoznat parametar:pmc
• Nepoznat parametar:issue
• Parametarpmidnije dopušten u klasijournal
• Parametartypenije dopušten u klasijournal - ↑ • Nepoznat parametar:
month
• Nepoznat parametar:pmc
• Nepoznat parametar:issue
• Parametarpmidnije dopušten u klasijournal
• Parametartypenije dopušten u klasijournal - ↑ • Nepoznat parametar:
month
• Nepoznat parametar:authorlink
• Parametaraccessdatenije dopušten u klasiweb - ↑
• Nepoznat parametar:
coauthors
• Parametarchapternije dopušten u klasibook - ↑ • Nepoznat parametar:
month
• Nepoznat parametar:coauthors
• Nepoznat parametar:issue
• Parametarpmidnije dopušten u klasijournal
• Parametartypenije dopušten u klasijournal - ↑ • Nepoznat parametar:
month
• Nepoznat parametar:coauthors
• Nepoznat parametar:pmc
• Nepoznat parametar:issue
• Parametarpmidnije dopušten u klasijournal
• Parametartypenije dopušten u klasijournal
• Parametarurlnije dopušten u klasijournal - ↑ 32,0 32,1 • Nepoznat parametar:
coauthors
• Nepoznat parametar:issue
• Parametarpmidnije dopušten u klasijournal
• Parametartypenije dopušten u klasijournal
• Parametardatenije dopušten u klasijournal - ↑ 33,0 33,1 • Nepoznat parametar:
issue
• Parametarpmidnije dopušten u klasijournal
• Parametartypenije dopušten u klasijournal
• Parametardatenije dopušten u klasijournal - ↑ Dudley, Joel (2013.) Exploring Personal Genomics. http://books.google.ca/books?id=arCnThIq9LcC&pg=PA25.
- ↑ Kern JA, McLennan G (2008) Fishman's Pulmonary Diseases and Disorders.
- ↑ • Nepoznat parametar:
coauthors
• Nepoznat parametar:issue
• Parametarpmidnije dopušten u klasijournal
• Parametartypenije dopušten u klasijournal
• Parametardatenije dopušten u klasijournal
• Parametarurlnije dopušten u klasijournal - ↑ • Nepoznat parametar:
month
• Nepoznat parametar:coauthors
• Nepoznat parametar:pmc
• Nepoznat parametar:issue
• Parametarpmidnije dopušten u klasijournal
• Parametartypenije dopušten u klasijournal
• Parametarpublishernije dopušten u klasijournal - ↑ • Nepoznat parametar:
month
• Nepoznat parametar:coauthors
• Nepoznat parametar:issue
• Parametarpmidnije dopušten u klasijournal
• Parametartypenije dopušten u klasijournal - ↑ 39,0 39,1 39,2 39,3 • Nepoznat parametar:
month
• Nepoznat parametar:coauthors
• Nepoznat parametar:issue
• Parametarpmidnije dopušten u klasijournal
• Parametartypenije dopušten u klasijournal
• Parametarurlnije dopušten u klasijournal - ↑ • Nepoznat parametar:
month
• Nepoznat parametar:coauthors
• Nepoznat parametar:issue
• Parametarpmidnije dopušten u klasijournal
• Parametartypenije dopušten u klasijournal
• Parametarpublishernije dopušten u klasijournal - ↑ • Nepoznat parametar:
month
• Nepoznat parametar:coauthors
• Nepoznat parametar:issue
• Parametarpmidnije dopušten u klasijournal
• Parametartypenije dopušten u klasijournal
• Parametarpublishernije dopušten u klasijournal - ↑ Miller, WT (2008.) Fishman's Pulmonary Diseases and Disorders.
- ↑ Kaiser, LR (2008.) Fishman's Pulmonary Diseases and Disorders.
- ↑ 44,0 44,1
• Nepoznat parametar:
coauthors - ↑ • Nepoznat parametar:
month
• Nepoznat parametar:coauthors
• Nepoznat parametar:issue
• Parametarpmidnije dopušten u klasijournal
• Parametartypenije dopušten u klasijournal
• Parametarpublishernije dopušten u klasijournal - ↑ • Nepoznat parametar:
month
• Nepoznat parametar:coauthors
• Nepoznat parametar:issue
• Parametarpmidnije dopušten u klasijournal
• Parametartypenije dopušten u klasijournal - ↑ • Nepoznat parametar:
month
• Nepoznat parametar:coauthors
• Nepoznat parametar:issue
• Parametarpmidnije dopušten u klasijournal
• Parametartypenije dopušten u klasijournal
• Parametarurlnije dopušten u klasijournal - ↑ • Nepoznat parametar:
coauthors
• Nepoznat parametar:issue
• Parametarpmidnije dopušten u klasijournal
• Parametartypenije dopušten u klasijournal
• Parametardatenije dopušten u klasijournal
• Parametarurlnije dopušten u klasijournal - ↑ • Nepoznat parametar:
pmc
• Nepoznat parametar:issue
• Parametarpmidnije dopušten u klasijournal
• Parametartypenije dopušten u klasijournal - ↑ 50,0 50,1 50,2 • Nepoznat parametar:
month
• Nepoznat parametar:coauthors
• Nepoznat parametar:issue
• Parametarpmidnije dopušten u klasijournal
• Parametartypenije dopušten u klasijournal
• Parametarurlnije dopušten u klasijournal - ↑ • Nepoznat parametar:
month
• Nepoznat parametar:pmc
• Nepoznat parametar:issue
• Parametarpmidnije dopušten u klasijournal
• Parametartypenije dopušten u klasijournal
• Parametarurlnije dopušten u klasijournal - ↑ • Nepoznat parametar:
month
• Nepoznat parametar:coauthors
• Nepoznat parametar:pmc
• Nepoznat parametar:issue
• Parametarpmidnije dopušten u klasijournal
• Parametartypenije dopušten u klasijournal - ↑ • Nepoznat parametar:
month
• Parametarlastnije dopušten u klasinews
• Parametarauthornije dopušten u klasinews
• Parametartypenije dopušten u klasinews
• Parametarpublishernije dopušten u klasinews
• Parametartitlenije dopušten u klasinews
• Parametaryearnije dopušten u klasinews
• Parametarurlnije dopušten u klasinews
• Parametarfirstnije dopušten u klasinews
• Parametaraccessdatenije dopušten u klasinews - ↑ • Parametar
lastnije dopušten u klasinews
• Parametardatenije dopušten u klasinews
• Parametarauthornije dopušten u klasinews
• Parametarpublishernije dopušten u klasinews
• Parametartitlenije dopušten u klasinews
• Parametarfirstnije dopušten u klasinews
• Parametarurlnije dopušten u klasinews
• Parametartypenije dopušten u klasinews
• Parametaraccessdatenije dopušten u klasinews - ↑ United Nations News service (30. svibnja 2008.). UN health agency calls for total ban on tobacco advertising to protect young. Tiskovno izdanje.
- ↑ 56,0 56,1 56,2 • Nepoznat parametar:
month
• Nepoznat parametar:coauthors
• Nepoznat parametar:issue
• Parametarpmidnije dopušten u klasijournal
• Parametartypenije dopušten u klasijournal - ↑ • Nepoznat parametar:
coauthors
• Nepoznat parametar:pmc
• Nepoznat parametar:issue
• Parametarpmidnije dopušten u klasijournal
• Parametartypenije dopušten u klasijournal
• Parametarpagenije dopušten u klasijournal - ↑ • Nepoznat parametar:
month
• Nepoznat parametar:coauthors
• Nepoznat parametar:pmc
• Nepoznat parametar:issue
• Parametarpmidnije dopušten u klasijournal
• Parametartypenije dopušten u klasijournal
• Parametarpagenije dopušten u klasijournal - ↑ 59,0 59,1 • Nepoznat parametar:
month
• Nepoznat parametar:pmc
• Nepoznat parametar:issue
• Parametarpmidnije dopušten u klasijournal
• Parametartypenije dopušten u klasijournal - ↑ • Nepoznat parametar:
coauthors
• Nepoznat parametar:issue
• Parametarpmidnije dopušten u klasijournal
• Parametartypenije dopušten u klasijournal
• Parametarurlnije dopušten u klasijournal - ↑ • Nepoznat parametar:
month
• Nepoznat parametar:coauthors
• Nepoznat parametar:issue
• Parametarpmidnije dopušten u klasijournal
• Parametartypenije dopušten u klasijournal - ↑ • Nepoznat parametar:
month
• Nepoznat parametar:coauthors
• Nepoznat parametar:issue
• Parametarpmidnije dopušten u klasijournal
• Parametartypenije dopušten u klasijournal - ↑ • Nepoznat parametar:
issue
• Parametarpmidnije dopušten u klasijournal
• Parametartypenije dopušten u klasijournal
• Parametardatenije dopušten u klasijournal - ↑ • Nepoznat parametar:
month
• Nepoznat parametar:issue
• Parametarpmidnije dopušten u klasijournal
• Parametartypenije dopušten u klasijournal - ↑ • Nepoznat parametar:
coauthors
• Nepoznat parametar:issue
• Parametarpmidnije dopušten u klasijournal
• Parametartypenije dopušten u klasijournal
• Parametardatenije dopušten u klasijournal - ↑ • Nepoznat parametar:
coauthors
• Nepoznat parametar:month
• Nepoznat parametar:issue
• Parametarpmidnije dopušten u klasijournal
• Parametartypenije dopušten u klasijournal - ↑ Kaiser LR (2008.) Fishman's Pulmonary Diseases and Disorders.
- ↑ 68,0 68,1 Kaiser LR (2008.) Fishman's Pulmonary Diseases and Disorders.
- ↑ • Nepoznat parametar:
coauthors
• Nepoznat parametar:month
• Nepoznat parametar:issue
• Parametarpmidnije dopušten u klasijournal
• Parametartypenije dopušten u klasijournal - ↑ • Nepoznat parametar:
coauthors
• Nepoznat parametar:month
• Nepoznat parametar:pmc
• Nepoznat parametar:issue
• Parametarpmidnije dopušten u klasijournal
• Parametartypenije dopušten u klasijournal - ↑ • Nepoznat parametar:
coauthors
• Nepoznat parametar:month
• Nepoznat parametar:issue
• Parametarpmidnije dopušten u klasijournal
• Parametartypenije dopušten u klasijournal - ↑ • Nepoznat parametar:
month
• Nepoznat parametar:issue
• Parametarpmidnije dopušten u klasijournal
• Parametartypenije dopušten u klasijournal
• Parametarurlnije dopušten u klasijournal - ↑ • Nepoznat parametar:
coauthors
• Nepoznat parametar:month
• Nepoznat parametar:issue
• Parametarpmidnije dopušten u klasijournal
• Parametartypenije dopušten u klasijournal - ↑
• Nepoznat parametar:
coauthors - ↑ • Nepoznat parametar:
month
• Nepoznat parametar:coauthors
• Nepoznat parametar:issue
• Parametarpmidnije dopušten u klasijournal
• Parametartypenije dopušten u klasijournal - ↑ • Nepoznat parametar:
editor1-last
• Nepoznat parametar:editor1-first
• Nepoznat parametar:issue
• Parametarpmidnije dopušten u klasijournal
• Parametartypenije dopušten u klasijournal
• Parametarurlnije dopušten u klasijournal - ↑ • Nepoznat parametar:
pmc
• Nepoznat parametar:issue
• Parametarpmidnije dopušten u klasijournal
• Parametartypenije dopušten u klasijournal - ↑ • Nepoznat parametar:
month
• Nepoznat parametar:coauthors
• Nepoznat parametar:issue
• Parametarpmidnije dopušten u klasijournal
• Parametartypenije dopušten u klasijournal - ↑ • Nepoznat parametar:
month
• Nepoznat parametar:issue
• Parametarpmidnije dopušten u klasijournal
• Parametartypenije dopušten u klasijournal
• Parametarurlnije dopušten u klasijournal - ↑ • Nepoznat parametar:
month
• Nepoznat parametar:coauthors
• Nepoznat parametar:issue
• Parametarpmidnije dopušten u klasijournal
• Parametartypenije dopušten u klasijournal - ↑ • Nepoznat parametar:
month
• Nepoznat parametar:coauthors
• Nepoznat parametar:issue
• Parametarpmidnije dopušten u klasijournal
• Parametartypenije dopušten u klasijournal - ↑ • Nepoznat parametar:
month
• Nepoznat parametar:coauthors
• Nepoznat parametar:issue
• Parametarpmidnije dopušten u klasijournal
• Parametartypenije dopušten u klasijournal
• Parametarurlnije dopušten u klasijournal - ↑ • Nepoznat parametar:
issue
• Parametarpmidnije dopušten u klasijournal
• Parametartypenije dopušten u klasijournal
• Parametardatenije dopušten u klasijournal - ↑ • Nepoznat parametar:
month
• Nepoznat parametar:coauthors
• Nepoznat parametar:issue
• Parametarpmidnije dopušten u klasijournal
• Parametartypenije dopušten u klasijournal - ↑ • Nepoznat parametar:
month
• Nepoznat parametar:coauthors
• Nepoznat parametar:issue
• Parametarpmidnije dopušten u klasijournal
• Parametartypenije dopušten u klasijournal - ↑ • Nepoznat parametar:
month
• Nepoznat parametar:coauthors
• Nepoznat parametar:issue
• Parametarpmidnije dopušten u klasijournal
• Parametartypenije dopušten u klasijournal - ↑ 87,0 87,1 • Nepoznat parametar:
month
• Nepoznat parametar:pmc
• Nepoznat parametar:issue
• Parametarpmidnije dopušten u klasijournal
• Parametartypenije dopušten u klasijournal - ↑ Mehra R, Treat J (2008) Fishman's Pulmonary Diseases and Disorders.
- ↑ 89,0 89,1 • Nepoznat parametar:
month
• Nepoznat parametar:coauthors
• Nepoznat parametar:pmc
• Nepoznat parametar:issue
• Parametarpmidnije dopušten u klasijournal
• Parametartypenije dopušten u klasijournal
• Parametarpublishernije dopušten u klasijournal - ↑ • Nepoznat parametar:
month
• Nepoznat parametar:issue
• Parametarpmidnije dopušten u klasijournal
• Parametartypenije dopušten u klasijournal - ↑ • Nepoznat parametar:
month
• Nepoznat parametar:coauthors
• Nepoznat parametar:issue
• Parametarpmidnije dopušten u klasijournal
• Parametartypenije dopušten u klasijournal - ↑ 92,0 92,1 • Nepoznat parametar:
month
• Nepoznat parametar:issue
• Parametarpmidnije dopušten u klasijournal
• Parametartypenije dopušten u klasijournal
• Parametarurlnije dopušten u klasijournal - ↑ • Nepoznat parametar:
month
• Nepoznat parametar:coauthors
• Nepoznat parametar:issue
• Parametarpmidnije dopušten u klasijournal
• Parametartypenije dopušten u klasijournal - ↑ • Nepoznat parametar:
month
• Nepoznat parametar:coauthors
• Nepoznat parametar:issue
• Parametarpmidnije dopušten u klasijournal
• Parametartypenije dopušten u klasijournal
• Parametarpublishernije dopušten u klasijournal - ↑
• Nepoznat parametar:
authorlink
• Nepoznat parametar:issn
• Nepoznat parametar:month
• Nepoznat parametar:issue - ↑ • Nepoznat parametar:
month
• Nepoznat parametar:issue
• Parametarpmidnije dopušten u klasijournal
• Parametartypenije dopušten u klasijournal - ↑ 97,0 97,1 • Nepoznat parametar:
month
• Nepoznat parametar:issue
• Parametarpmidnije dopušten u klasijournal
• Parametartypenije dopušten u klasijournal - ↑ • Nepoznat parametar:
month
• Nepoznat parametar:issue
• Parametarpmidnije dopušten u klasijournal
• Parametartypenije dopušten u klasijournal - ↑ • Nepoznat parametar:
issue
• Parametarpmidnije dopušten u klasijournal
• Parametartypenije dopušten u klasijournal - ↑ • Nepoznat parametar:
issue
• Parametarpmidnije dopušten u klasijournal
• Parametartypenije dopušten u klasijournal - ↑ • Nepoznat parametar:
editor1-first
• Nepoznat parametar:editor1-last
• Nepoznat parametar:version
• Nepoznat parametar:review
• Nepoznat parametar:issue
• Nedostaje obavezni parametar:journal
• Parametarpmidnije dopušten u klasijournal
• Parametartypenije dopušten u klasijournal - ↑
• Parametar
accessdatenije dopušten u klasiweb - ↑ • Parametar
accessdatenije dopušten u klasiweb - ↑
• Parametar
chapternije dopušten u klasibook - ↑ SEER data (SEER.cancer.gov)Median Age of Cancer Patients at Diagnosis 2002-2003
- ↑ SEER data (SEER.cancer.gov)Median Age of Cancer Patients at Death 2002-2006
- ↑ • Nepoznat parametar:
coauthors
• Nepoznat parametar:issue
• Parametarpmidnije dopušten u klasijournal
• Parametartypenije dopušten u klasijournal
• Parametardatenije dopušten u klasijournal
• Parametarurlnije dopušten u klasijournal - ↑ • Parametar
accessdatenije dopušten u klasiweb - ↑ • Nepoznat parametar:
issue
• Parametarpmidnije dopušten u klasijournal
• Parametartypenije dopušten u klasijournal - ↑ • Nepoznat parametar:
month
• Nepoznat parametar:issue
• Parametarpmidnije dopušten u klasijournal
• Parametartypenije dopušten u klasijournal - ↑ • Nepoznat parametar:
month
• Nepoznat parametar:coauthors
• Nepoznat parametar:pmc
• Nepoznat parametar:issue
• Parametarpmidnije dopušten u klasijournal
• Parametartypenije dopušten u klasijournal
• Parametarurlnije dopušten u klasijournal - ↑ • Nepoznat parametar:
coauthors
• Nepoznat parametar:issue
• Parametarpmidnije dopušten u klasijournal
• Parametartypenije dopušten u klasijournal
• Parametardatenije dopušten u klasijournal - ↑ • Nepoznat parametar:
month
• Nepoznat parametar:issue
• Parametarpmidnije dopušten u klasijournal
• Parametartypenije dopušten u klasijournal - ↑ National Cancer Institute; SEER stat fact sheets: Lung and Bronchus. Surveillance Epidemiology and End Results. 2010[1]
- ↑ • Parametar
formatnije dopušten u klasiweb
• Parametaraccessdatenije dopušten u klasiweb - ↑ • Nepoznat parametar:
coauthors
• Nepoznat parametar:issue
• Parametarpmidnije dopušten u klasijournal
• Parametartypenije dopušten u klasijournal
• Parametardatenije dopušten u klasijournal - ↑ • Nepoznat parametar:
coauthors
• Nepoznat parametar:issue
• Parametarpmidnije dopušten u klasijournal
• Parametartypenije dopušten u klasijournal
• Parametarformatnije dopušten u klasijournal
• Parametarurlnije dopušten u klasijournal - ↑ • Nepoznat parametar:
month
• Nepoznat parametar:coauthors
• Nepoznat parametar:issue
• Parametarpmidnije dopušten u klasijournal
• Parametartypenije dopušten u klasijournal
• Parametarurlnije dopušten u klasijournal - ↑ • Nepoznat parametar:
month
• Nepoznat parametar:coauthors
• Nepoznat parametar:issue
• Parametarpmidnije dopušten u klasijournal
• Parametartypenije dopušten u klasijournal - ↑
• Nepoznat parametar:
ol - ↑
• Nepoznat parametar:
ol - ↑ 122,0 122,1 • Nepoznat parametar:
month
• Nepoznat parametar:issue
• Parametarpmidnije dopušten u klasijournal
• Parametartypenije dopušten u klasijournal
• Parametarurlnije dopušten u klasijournal - ↑
• Nepoznat parametar:, cited in
ol• Nepoznat parametar:issue
• Parametarpmidnije dopušten u klasijournal
• Parametartypenije dopušten u klasijournal - ↑ • Nepoznat parametar:
archivedate
• Nepoznat parametar:archiveurl
• Parametaraccessdatenije dopušten u klasiweb - ↑ Proctor, R (2000.) The Nazi War on Cancer.
- ↑ • Nepoznat parametar:
month
• Nepoznat parametar:coauthors
• Nepoznat parametar:pmc
• Nepoznat parametar:issue
• Parametarpmidnije dopušten u klasijournal
• Parametartypenije dopušten u klasijournal - ↑ • Parametar
locationnije dopušten u klasiweb
• Parametarformatnije dopušten u klasiweb - ↑ 128,0 128,1 Greaves, M (2000.) Cancer: the Evolutionary Legacy.
- ↑ • Nepoznat parametar:
month
• Nepoznat parametar:coauthors
• Nepoznat parametar:issue
• Parametarpmidnije dopušten u klasijournal
• Parametartypenije dopušten u klasijournal - ↑ • Nepoznat parametar:
month
• Nepoznat parametar:pmc
• Nepoznat parametar:issue
• Parametarpmidnije dopušten u klasijournal
• Parametartypenije dopušten u klasijournal - ↑ • Nepoznat parametar:
month
• Nepoznat parametar:coauthors
• Nepoznat parametar:issue
• Parametarpmidnije dopušten u klasijournal
• Parametartypenije dopušten u klasijournal
• Parametarurlnije dopušten u klasijournal - ↑ • Nepoznat parametar:
pmc
• Nepoznat parametar:issue
• Parametarpmidnije dopušten u klasijournal
• Parametartypenije dopušten u klasijournal - ↑ • Nepoznat parametar:
trans_title
• Nepoznat parametar:issue
• Parametarpmidnije dopušten u klasijournal
• Parametartypenije dopušten u klasijournal - ↑ • Nepoznat parametar:
month
• Nepoznat parametar:coauthors
• Nepoznat parametar:issue
• Parametarpmidnije dopušten u klasijournal
• Parametartypenije dopušten u klasijournal
• Parametarpublishernije dopušten u klasijournal - ↑ • Nepoznat parametar:
month
• Nepoznat parametar:coauthors
• Nepoznat parametar:issue
• Parametarpmidnije dopušten u klasijournal
• Parametartypenije dopušten u klasijournal
• Parametarpublishernije dopušten u klasijournal - ↑ • Nepoznat parametar:
month
• Nepoznat parametar:coauthors
• Nepoznat parametar:issue
• Parametarpmidnije dopušten u klasijournal
• Parametartypenije dopušten u klasijournal
• Parametarpublishernije dopušten u klasijournal - ↑ • Nepoznat parametar:
coauthors
• Nepoznat parametar:issue
• Parametarpmidnije dopušten u klasijournal
• Parametartypenije dopušten u klasijournal
Vanjske poveznice
| Molimo pročitajte upozorenje o korištenju medicinskih informacija. Ne provodite liječenje bez konzultiranja liječnika! |