Shizofrenija
| Klasifikacija i vanjske poveznice | |
| MKB-10 | Script error: The function "getExternalValue" does not exist. |
| MKB-10 | Script error: The function "getExternalValue" does not exist. |
| NSK | Script error: The function "getExternalValue" does not exist. |
| PubMed | Script error: The function "getExternalValue" does not exist. (eng.) |
| MeSH | Script error: The function "getExternalValue" does not exist. (eng.) |
| Medscape | Script error: The function "getExternalValue" does not exist. (eng.) |

Shizofrenija je psihijatrijski poremećaj koji označava često kroničnu, ozbiljnu mentalnu bolest koja primarno pogađa našu sposobnost razmišljanja, s otežanom percepcijom stvarnosti, što uzrokuje promjenu ponašanja i neugodne osjećaje, te slabim izražavanjem emocija.[1][2] Najčešće manifestacije uključuju zvučne halucinacije, paranoju, bizarne deluzije, ili neorganizirani govor i misli, te su praćene značajnim socijalnim i radnim disfunkcijama. Prvi se simptomi obično javljaju u mladih odraslih ljudi, s globalnom životnom prevalencijom od oko 0.3–0.7%.[3] Dijagnoza se donosi na temelju promotrenog ponašanja, te pacijentovih iznesenih iskustava.
Genetika, okoliš, neurobiološki i psihološki faktori, te društveni procesi, važni su čimbenici koji sudjeluju u razvoju ove bolesti. Postoje naznake da neke psihoaktivne droge i lijekovi na recept uzrokuju ili pogoršavaju simptome. Trenutna istraživanja fokusiraju se na ulogu neurobiologije, iako do sada nije pronađen ni jedan organski uzrok. Velik broj mogućih kombinacija simptoma potaknuo je raspravu predstavlja li dijagnoza jedan poremećaj ili više diskretnih sindroma. Unatoč etimologiji termina porijeklom iz Grčkih korijena skhizein(σχίζειν, "podijeliti se") i phrēn, phren- (φρήν, φρεν-; "um"), shizofrenija ne znači “podijeljenost uma” te nije isto što i disocijativni poremećaj osobnosti, također poznat kao "poremećaj višestruke ličnosti" ili "podijeljena ličnost". Ovaj se poremećaj u percepciji javnosti često miješa sa shizofrenijom.[4]
Glavna komponenta liječenja su antipsihotici, koji prvenstveno inhibiraju aktivnost dopaminskih (ponekad i serotoninskih) receptora. Psihoterapija te strukovna i socijalna rehabilitacija, također su važni u liječenju. U ozbiljnijim slučajevima, gdje postoji opasnost ozljeđivanja sebe i drugih, može postojati potreba za prisilnom hospitalizacijom, iako su danas hospitalizacije rjeđe i traju kraće nego u prošlosti.[5]
Smatra se da ovaj poremećaj većinom utječe na kognitivni (umni) aspekt, ali obično pridonosi i kroničnim problemima vezanim uz ponašanje i emocije. U ljudi koji boluju od shizofrenije postoji veća vjerojatnost za razvoj dodatnih (komorbiditetnih) stanja, uključujući kliničku depresiju i anksiozne poremećaje; pojava zlouporabe psihoaktivnih tvari tijekom života je gotovo 50%.[6] Društveni problemi su česti, uključujući dugotrajnu nezaposlenost, siromaštvo, te beskućništvo. Prosječni životni vijek ljudi s ovim poremećajem je 12 do 15 godina kraći od zdravih ljudi, što je rezultat većeg broja fizičkih zdravstvenih problema i veće stope samoubojstava (oko 5%).[3]
Simptomi
Osoba kojoj je dijagnosticirana shizofrenija može iskusiti halucinacije (najčešće se navode zvučne halucinacije: najčešće glasovi), deluzije (često bizarne ili deluzije proganjanja), i neorganizirane misli i govor. Posljednje navedeno može varirati od gubitka tijeka misli, do rečenica samo djelomično povezanih u značenju, pa do nesuvislosti poznate kao shizofazija ("salata riječi") u težim slučajevima. Društveno povlačenje, nemar u oblačenju i higijeni, te gubitak motivacije i moći rasuđivanja, sve su to učestale pojave vezane uz shizofreniju.[7] Često postoji primjetan obrazac emocionalnih poteškoća, na primjer manjak emotivnih reakcija.[8] Poremećaj u socijalnim spoznajama povezan je sa shizofrenijom,[9] kao što su i simptomi poput paranoje; društvena samoizolacija je česta pojava.[10] Poteškoće s radnim pamćenjem i dugotrajnim pamćenjem, pažnjom, izvršnim funkcioniranjem, te brzinom obradbe informacija također se često javljaju.[3] U jednom rijetkom podtipu, osoba može biti većinom nijema, te ostati nepomična u bizarnim položajima, ili pokazivati besciljnu uznemirenost, što su sve znakovi katatonije.[11]
Kasna adolescencija i rana odrasla dob razdoblja su u kojima učestalost shizofrenije dostiže vrhunac,[3] što se podudara s godinama kritičnim za socijalni i profesionalni razvoj mladih odraslih osoba.[12] U 40% muškaraca i 23% žena kojima je dijagnosticirana shizofrenija, poremećaj se javlja prije dobi od 19 godina.[13] S ciljem minimaliziranja prekida u psihičkom razvoju povezanih sa shizofrenijom, u posljednje vrijeme puno je truda uloženo u prepoznavanje i liječenje prodromalne (pred-početne) faze bolesti, koja je primijećena čak do 30 mjeseci prije početka simptoma.[12] Oni koji kasnije razviju shizofreniju mogu iskusiti prolazne ili samoograničavajuće psihotične simptome,[14] kao i nespecifične simptome poput društvenog povlačenja, iritabilnosti,disforije,[15] i nespretnosti[16] tijekom prodromalne faze.
Klasifikacija po Schneideru
U ranom 20. stoljeću, psihijatar Kurt Schneider nabrojio je vrste psihotičnih simptoma za koje je smatrao da razlikuju shizofreniju od drugih psihotičnih poremećaja. Ovi simptomi se zovu primarni simptomi ili Schneiderovi primarni simptomi. Oni uključuju deluzije kontrole od strane vanjske sile; vjerovanje da su misli umetnute ili oduzete iz vlastitog svjesnog uma; vjerovanje da su vlastite misli emitirane drugim ljudima; čujenje halucinatornih glasova koji komentiraju vlastite misli ili radnje ili razgovaraju s drugim halucinatornim glasovima.[17] Iako su značajno pridonijeli današnjim dijagnostičkim kriterijima, specifičnost primarnih simptoma je upitna. Provjera dijagnostičkih studija provedena između 1970. i 2005. utvrdila je da ove studije ne potvrđuju niti odbacuju Schneiderove tvrdnje, te je sugerirano da primarne simptome treba manje naglasiti u budućim inačicama dijagnostičkih sustava.[18]
Pozitivni i negativni simptomi
Shizofrenija se često opisuje u smislu pozitivnih i negativnih (ili deficitarnih) simptoma.[19] Pozitivni simptomi su oni koje većina ljudi normalno ne iskusi, ali su prisutni u ljudi koji boluju od shizofrenije. Oni uključuju deluzije, poremećaje mišljenja i govora, te taktilne, zvučne, vidne, olfaktorne i gustatorne halucinacije, koje se tipično smatraju manifestacijama psihoze.[20] Halucinacije su obično povezane sa sadržajem teme deluzija.[21] Pozitivni simptomi obično vrlo dobro reagiraju na liječenje.[21] Negativni simptomi su manjak normalnih emocionalnih odgovora ili drugih procesa mišljenja, te slabije odgovaraju na liječenje.[7] Oni uključuju ravnodušnost ili otupjele emocije, siromaštvo govora (alogija), nemogućnost doživljavanja zadovoljstva (anhedonija), manjak želje za stvaranjem veza s ljudima (asocijalnost), te manjak motivacije (avolicija). Istraživanja predlažu da negativni simptomi više pridonose niskoj kvaliteti života i funkcionalnom invaliditetu, te su veći teret drugim ljudima nego pozitivni simptomi.[22] Ljudi s izraženim negativnim simptomima često imaju povijest slabe prilagodbe prije početka bolesti, a odgovor na liječenje je često ograničen.[7][23]
Uzroci
U razvoju shizofrenije ulogu igra kombinacija genetike i okolišnih čimbenika.[3][4] Ljudi s obiteljskom povijesti shizofrenije koji pate od prolazne ili samoograničavajuće psihoze imaju 20 do 40% šanse da će biti dijagnosticirani u tijeku jedne godine.[24]
Genetski čimbenici
Procjene nasljednosti variraju radi poteškoća u odvajanju učinka genetike i učinka okoliša.[25] Najveći rizik za razvoj shizofrenije imaju oni kojima rođak u prvoj liniji boluje od shizofrenije (rizik je 6.5%); više od 40% jednojajčanih blizanaca od onih koji pate od shizofrenije su također zahvaćeni.[4] U bolest je vjerojatno uključeno mnoštvo gena, od kojih svaki ima mali utjecaj i nepoznat prijenos i ekspresiju.[4] Velik broj mogućih kandidata, uključujući specifične lokuse za varijacije broja kopija, NOTCH4, i histonske proteine.[26] Nekoliko izučavanja genomskih asocijacija poput bjelančevina cinkovih prstiju 804A također je povezano s bolešću.[27] Čini se da postoji značajno preklapanje u genetici shizofrenije i bipolarnog poremećaja.[28]
Ako pretpostavimo da ne postoji nasljedna osnova, jedno od pitanja koje evolucijska psihologija postavlja je zašto su geni koji povećavaju vjerojatnost razvoja psihoze održani u evoluciji, s pretpostavkom da je poremećaj maladaptivan s evolucijskog stajališta. Jedna od teorija ukazuje da su se geni razvili u evoluciji jezika i ljudske naravi, ali do danas ovakve ideje nisu ništa više od hipoteze.[29][30]
Okolišni čimbenici
Okolišni čimbenici povezani s razvojem shizofrenije uključuju životne uvjete, uporabu droga, te prenatalne faktore stresa.[3] Stil odgajanja, čini se, nema značajnog utjecaja, iako ljudi čiji im roditelji pružaju podršku obično imaju blaže simptome od onih s kritičnim ili neprijateljskim roditeljima.[4] Život u urbanom okolišu tijekom djetinjstva ili odrasle dobi redovito se pokazuje kao povećan čimbenik rizika za razvoj shizofrenije, s faktorom povećanja od dva puta,[3][4] čak i nakon uzimanja u obzir konzumiranja droga, etničke pripadnosti, te veličine socijalne grupe.[31] Drugi čimbenici koji igraju važnu ulogu uključuju društvenu izolaciju te imigraciju povezanu s društvenim nepovoljnim okolnostima, rasnom diskriminacijom, obiteljskom disfunkcijom, nezaposlenošću, te slabim uvjetima stanovanja.[4][32]
Zlouporaba psihoaktivnih droga
Nekoliko je droga do sada povezano s razvojem shizofrenije, uključujući kanabis, kokain i amfetamine.[4] Otprilike polovica ljudi sa shizofrenijom prekomjerno uzima droge i/ili alkohol.[33] Uloga kanabisa najvjerojatnije nije uzročna,[34] već je pokazano da oboljeli od shizofrenije koriste samo kao mehanizam obrane od depresije, anksioznosti, dosade, i usamljenosti.[33][35]
Konzumiranje droga
Istraživanja pri Svjetskoj zdravstvenoj organizaciji srušila su medijski mit o "neškodljivosti" marihuane. Marihuana vrlo lako stvara ovisnost, prouzročuje probleme s mentalnim zdravljem i udvostručuje rizik od razvoja psihičkih poremećaja, uključujući shizofreniju, koja može biti popraćena paranojom.[36]
Kanabis je povezan s povećanjem rizika za razvoj psihotičnog poremećaja ovisnim o stupnju konzumacije,[37] s učestalom uporabom povezanom s dvostruko većim rizikom za razvoj psihoze i shizofrenije.[35][38] Iako mnogi prihvaćaju uporabu kanabisa kao čimbenik koji pridonosi razvoju shizofrenije,[39] ta tvrdnja i dalje ostaje kontroverzna.[26][40] Amfetamin, kokain, te u manjoj mjeri alkohol, mogu uzrokovati psihozu koja je po svojim karakteristikama vrlo slična shizofreniji.[4][41] Iako se ne smatra mogućim uzrokom ove bolesti, ljudi koji boluju od shizofrenije konzumiraju nikotin pušenjem u puno većim količinama u odnosu na ostatak stanovništva.[42]
Razvojni čimbenici
Čimbenici kao što su hipoksija i infekcija, ili stres i pothranjenost majke tijekom fetalnog razvoja, mogu blago povećati rizik za razvoj shizofrenije tijekom kasnijeg života.[3] Ljudi kojima je dijagnosticirana shizofrenija češće su rođeni tijekom zime i proljeća (barem na sjevernoj hemisferi), što može biti posljedica povećane učestalosti izloženosti virusima in utero.[4] Ova je razlika oko 5 do 8%.[43]
Patogeneza
Poduzet je velik broj pokušaja u svrhu objašnjavanja veze između promjene moždane funkcije i shizofrenije.[3] Jedno od najčešće spominjanih objašnjenja je dopaminska hipoteza, koja povezuje psihozu s pogrešnom interpretacijom okidanja dopaminergičkih neurona.[3]
Psihološki mehanizmi
Mnogi psihološki mehanizmi povezani su s razvojem i održavanjem shizofrenije. Kognitivni otkloni identificirani su u onih s dijagnozom ili u onih s rizikom, posebno kada su pod stresom ili u zbunjujućim situacijama.[44] Neke kognitivne značajke mogu biti odraz globalnih neurokognitivnih deficita poput gubitka pamćenja, dok druge mogu biti povezane s određenim problemima i iskustvima.[45][46]
Unatoč prividnoj afektivnoj zatupljenosti, nova istraživanja ukazuju na to da su mnogi pojedinci kojima je dijagnosticirana shizofrenija emotivno reaktivni, posebno na stresne ili negativne poticaje, te da takva osjetljivost može uzrokovati pogoršanje simptoma ili pojavu novih poremećaja.[47][48] Neki dokazi ukazuju na to da sadržaj deluzija i psihotičnih iskustava odražava emocionalne uzroke poremećaja, te da način na koji osoba interpretira ta iskustva utječe na simptomatologiju.[49][50][51] Uporaba "sigurnosnog ponašanja" u svrhu izbjegavanja zamišljenih prijetnji može pridonijeti kroničnosti deluzija.[52] Daljnji dokazi za ulogu psiholoških mehanizama dolaze od utjecaja psihoterapije na simptome shizofrenije.[53]
Neurološki

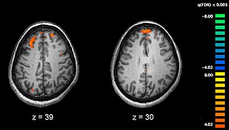
Shizofrenija je povezana s finim promjenama u strukturi mozga, pronađenim u 40 do 50% slučajeva, te neurokemijskim procesima tijekom aktunih psihotičnih stanja.[3] Istraživanja koja su koristila neurofiziološke testove te tehnologiju za slikovni prikaz mozga poput funkcionalne magnetske rezonancije (fMRI) i pozitronske emisijske tomografije (PET) za istraživanje funkcionalnih razlika u moždanoj aktivnosti, pokazala su da se razlike najčešće javljaju u frontalnom režnju, hipokampusu i temporalnom režnju.[54] Smanjenje volumena mozga, manje od onog u Alzheimerovoj bolesti, pronađeno je u dijelovima frontalne moždane kore i temporalnih režnjeva. Nije poznato jesu li ove volumetrijske promjene progresivne ili su postojale prije početka bolesti.[55] Ove razlike povezane su s neurokognitivnim deficitima često povezanim sa shizofrenijom.[56] Zbog promjena u neuronskim putevima, predloženo je da o shizofreniji treba razmišljati kao skupini neurorazvojnih poremećaja.[57]
Posebna pažnja pridana je funkciji dopamina u mezolimbičkom putu u mozgu. Ovaj je fokus većim dijelom rezultat slučajnog otkrića da lijek fenotiazin, koji blokira funkciju dopamina, može umanjiti psihotične simptome. Ovaj podatak podržava i činjenica da amfetamini, koji potiču otpuštanje dopamina, mogu pogoršati psihotične simptome shizofrenije.[58] Utjecajna dopaminska hipoteza shizofrenije predlaže da je prekomjerna aktivacija D2 receptora uzrok (pozitivnih simptoma) shizofrenije. Iako je ovo smatrano istinitim oko 20godina, temeljeno na utjecaju blokade D2 receptora zajedničkom svim antipsihoticima, tek je sredinom 1990-ih u istraživanjima koja su koristila PET i SPET teorija poduprta dokazima. Dopaminska se hipoteza danas smatra pretjerano pojednostavljenom, djelomično jer noviji antipsihotici (atipični antipsihotici) mogu biti jednako učinkoviti kao i stariji lijekovi (tipični antipsihotici), ali oni utječu i na funkciju serotonina te imaju nešto manji učinak na blokadu učinka dopamina.[59]
Dio interesa fokusiran je i na neurotransmiter glutamat te smanjenu funkciju NMDA glutamatskih receptora u shizofreniji, većinom zbog abnormalno niskih razina glutamatskih receptora pronađenim post-mortem u mozgovima ljudi kojima je dijagnosticirana shizofrenija,[60] te zbog otkrića da lijekovi koji blokiraju glutamate, poput fenciklidina i ketamina mogu oponašati simptome i kognitivne poremećaje povezane sa shizofrenijom.[61] Smanjena funkcija glutamata povezana je sa slabim rezultatima u testovima za mjerenje funkcije frontalnih režnjeva i hipokampusa, a glutamat također utječe na funkciju dopamina. Obje te činjenice dokazane su u shizofreniji. Ukazano je na važnu ulogu glutamatskih puteva u posredovanju (možda i uzrokovanju) poremećaja,[62] ali pozitivni simptomi shizofrenije ne reagiraju na glutamatske lijekove.[63]
Dijagnoza

Dijagnoza shizofrenije temelji se na kriterijima određenim u dijagnostičkim i statističkim priručnikom za mentalne poremećaje IV (DSM-IV-TR), Američke udruge psihijatara ili u međunarodnoj klasifikaciji bolesti (MKB-10) (eng. ICD-10) Svjetske zdravstvene organizacije.[3]
Ovi kriteriji uzimaju u obzir subjektivne doživljaje koje pacijent iznosi i objektivno promotrene anomalije u ponašanju, nakon kojih slijedi klinička procjena liječnika specijalista psihijatrije. Neki od simptoma karakterističnih za shizofreniju javljaju se u određenoj mjeri i u općoj populaciji, zato moraju doseći određenu ozbiljnost kako bi se mogla postaviti dijagnoza.[4] Dan danas (2009.) ne postoji objektivni test za shizofreniju.[3]
Kriteriji
Kriteriji određeni smjernicama MKB-10 se najčešće koriste u europskim zemljama, dok se u SAD-u i ostalim zemljama svijeta uglavnom koriste smjernice DSM-IV-TR. Potonji se kriteriji isto tako koriste u znanstvenom istraživanju. Kriteriji iz ICD-10 daju veći naglasak na Schneiderove simptome prvog stupnja, ali podudarnost između dvoje smjernica je u praksi vrlo velika.[64]
U skladu sa smjernicama četvrtog izdanja Diagnostic and Statistical Manual of Mental Disorders (DSM-IV-TR), za dijagnozu shizofrenije potrebno je zadovoljiti tri dijagnostička kriterija:[65]
- Dva ili više karakterističnih simptoma (vidi niže) moraju biti prisutni velik dio vremena tijekom jednomjesečnog razdoblja (ili kraće, ako nestaju s primjerenom terapijom):
- deluzija
- halucinacije
- nesuvisli govor, kao manifestacija poremećaja u razmišljanju
- očigledno neorganizirano i neprimjereno ponašanje (npr. neprimjereno odijevanje, bezrazložni plač, uzrujanost ili strah) ili katatonija
- negativni simptomi: emotivna zatupljenost (nedostatak emotivnih reakcija na okolinu), alogija (nedostatak ili odbijanje govora) ili avolicija (nedostatak motivacije)
- Ako je deluzija ocijenjena posebno bizarnom ili se halucinacije sastoje od glasova koji komentiraju pacijentovo ponašanje ili ako pacijent čuje dva ili više glasa koji međusobno razgovaraju, to su dovoljni simptomi za postavljanje dijagnoze. Nesuvisli i neorganizirani govor se uzima kao kriterij ako je izražen do te mjere da bitno onemogućava komunikaciju.
- Društvena i radna disfunkcija koja traje neko vrijeme od pojave simptoma. Jedan ili više aspekata društvenog života (kao npr. rad, međuljudski odnosi ili osobna higijena) moraju biti bitno ispod razine uobičajenog funkcioniranja prije pojava simptoma.
- značajno trajanje simptoma: povremena ili stalna pojava znakova i simptoma u razdoblju od najmanje šest mjeseci. Razdoblje od šest mjeseci mora sadržati bar jedan mjesec trajnih simptoma (ili manje ako simptomi nestanu primjerenom terapijom za shizofreniju).
Ako su poremećaji prisutni više od jednog mjeseca, spontano nestanu u roku od šest mjeseci, može se postaviti dijagnoza shizofreniformnog poremećaja.[65] Simptomi psihoze koji traju manje od mjesec dana dijagnosticiraju se kao kratki psihotički poremećaj, a različita stanja potpadaju pod dijagnozu nedefiniranih psihotičkih poremećaja. Ne može se postaviti dijagnoza shizofrenije ako postoje simptomi [[poremećaji raspoloženjaporemećaja raspoloženja]], iako se može postaviti dijagnoza shizoafektivnog poremećaja. Shizofrenija se isto tako isključuje ako su prisutni simptomi pervazivnog razvojnog poremećaja, osim u slučaju istovrmenog prisustva deluzije ili halucinacija ili ako su simptomi izravan učinak bolesti ili farmakološke tvari.
Podvrste
DSM-IV-TR sadrži pet podvrsta shizofrenije, iako autori novog DSM-5 predlažu izostavljanje ovih vrsta iz nove klasifikacije:[66][67]
- Paranoidni tip: prisutni su deluzija i zvučne halucinacije, ali nedostaju poremećaj razmišljanja, neorganizirano ponašanje i emotivna zatupljenost. Deluzija je najčešće proganjajućeg tipa ili je prisutan delirij grandioznosti, a osim njih mogu biti prisutni oblici ljubomore, hiperreligioznosti ili somatizacije. (DSM šifra 295.3/MKB šifra F20.0)
- Dezorganizirani tip: imenovana još i kao hebefrena shizofrenija u MKB-u, pri kojoj su istodobno prisutni poremećaj razmišljanja i emotivna zatupljenost. (DSM šifra 295.1/MKB šifra F20.1)
- Katatonični tip: pacijent je uglavnom potpuno nepomičan ili su prisutni nagli i besciljni pokreti. Među simptomima ovog oblika mogu biti i katatonički stupor i voštana savitljivost. (DSM šifra 295.2/MKB šifra F20.2)
- Nediferencirani tip: prisutni su simptomi psihoze, ali nisu zadovoljeni kriteriji klasificiranja u paranoidnu, dezorganiziranu ili katatoničnu shizofreniju. (DSM šifra 295.9/MKB šifra F20.3)
- Rezidualni tip: pri kojem su prisutni pozitivni simptomi, ali isključivo niskog intenziteta. (DSM 295.6/MKB F20.5)
U MKB-10 su prisutna dva dodatna oblika:[67]
- Postshizofrena depresija: je oblik kod kojeg se javljaju razdoblja depresije nakon napada shizofrenije iako još uvijek mogu biti prisutni simptomi shizofrenije niskog intenziteta. (MKB šifra F20.4)
- Jednostavna shizofrenija: podmukli i progresivni rast sve jačih negativnih simptoma bez prisutnosti epizoda psihoze. (MKB šifra F20.6)
Diferencijalna dijagnoza
Simptomi psihoze mogu biti prisutni u nekoliko različitih duševnih bolesti, uključujući bipolarni afektivni poremećaj,[68]granični poremećaj ličnosti,[69] trovanje lijekovima i psihozu uzrokovanu psihoaktivnim drogama. Deluzije ("nebizarne") su također prisutni u deluzijskog poremećaja, a samoizoliranje od društva je prisutno u socijalnoj fobiji, izbjegavajućem poremećaju ličnosti i shizotipnom poremećaju ličnosti. Kod shizofrenije je primijećen komorbiditet s opsesivno kompulzivnim poremećajem (OCD) puno češće nego što bi se to moglo objasniti pukim slučajem, iako je teško razlikovati opsesije koje se javljaju u OCD-u od deluzija u shizofreniji.[70]
Pri postavljanju dijagnoze, potrebno je izvršiti i opće medicinske i neurološke pretrage kako bi se isključili rijetki slučajevi bolesti koju mogu uzrokovati simptome slične shizofreniji,[65] kao npr. urođene pogreške u metabolizmu, sistemska infekcija, sifilis, HIV, epilepsija, i moždana oštećenja. Potrebno je isključiti i delirij, koji se razlikuje od shizofrenije po vizualnim halucinacijama, naglom pojavom simptoma, stanjem svijesti koji varira i koji pretpostavlja primarni klinički uzrok. Ispitivanja se u pravilu ne ponavljaju kod ponovnih pojava simptoma, osim ako ne postoje specifične "medicinske" indikacije ili moguće nuspojave farmakološke terapije antipsihoticima. 2
Prevencija
Trenutno ne postoje sigurni dokazi o učinkovitosti ranih intervencija na prevenciju shizofrenije.[71] Iako postoje dokazi o poboljšanju kratkoročnog ishoda bolesti kod pacijenata s epizodom psihoze, postoji malo koristi od istih tretmana nakon pet godina.[3] Pokušaji prevencije shizofrenije u početnoj fazi upitne su učinkovitosti, tako da se više ne preporučuju od 2009.[72] Prevencija je vrlo teška i stoga što ne postoji pouzdanih znakova da će se bolest kasnije razviti.[73] Pojedini slučajevi shizofrenije se ipak mogu odgoditi ili čak spriječiti odvraćanjem od konzumacije kanabisa, posebno među mladima.[74] Pojedinci s obiteljskom anamnezom shizofrenije mogu stoga biti više osjetljivi na psihozu uzrokovanu kanabisom.[39] Jedna je studija dokazala da se polovica slučajeva psihotičkih poremećaja izazvanih kanabisom razvije u kasniji trajni oblik psihoze.[75]
Nastavljaju se teorijska istraživanja na načinima smanjenja incidencije shizofrenije. Prvi je pristup istraživanje genetskih i neuroloških uzroka pojave bolesti, kako bi se mogli razviti učinkoviti biokemijski i farmakološki postupci. Međutim, mnogi i različiti genetski uzroci koji pojedinačno imaju mali učinak i koji međudjeluju s okolišom, čine prevenciju vrlo teškom. Paralelno s tim, strategije javnog zdravstva mogu selektivno djelovati na socioekonomske faktore, koji su povezani s većom učestalošću shizofrenije kod nekih skupina kao npr. imigranata, određenih etničkih skupina i siromašnijih. Strategija koja bi se primjenjivala na cijelu populaciju predviđa promicanje zdravstvenih usluga koje osiguravaju sigurnu trudnoću i zdravi rast, uključujući područja kao što su psihološki razvoj uma socijalnim kontaktom. Međutim, ne postoji dovoljno dokaza da bi se ove ideje u ovom trenutku upotrijebile i stoga jer mnoštvo slučajeva nije vezano za shizofreniju.[76][77]
Terapija
Primarna terapija shizofrenije predviđa upotrebu antipsihotičkih lijekova, često s psihološkom i socijalnom podrškom.[3] Hospitalizacija može biti potrebna samo u teškim slučajevima ili voljom pacijenta ili bez pristanka pacijenta, ako to zakon dopušta. Dugoročna hospitalizacija je rijetka, pošto je deinstitucionalizacija tretmana duševnih bolesti koja je započela 1950-ih još uvijek u tijeku.[5] Službe za grupnu podršku, kućne posjete stručnjaka za duševne bolesti, terapijsko zapošljavanje[78] i grupe za podršku česti su oblici terapije. Postoje dokazi koji ukazuju da redovita tjelovježba ima pozitivni učinak na fizičko i psihološko zdravlje pacijenata sa shizofrenijom.[79]
Farmakoterapija

Psihijatrijski tretman prvog izbora za shizofreniju su antipsihotici,[80] koji mogu umanjiti pozitivne simptome psihoze u 7 do 14 dana. Antipsihotici, međutim bitno ne poboljšavaju negativne simptome bolesti i kognitivnu disfunkciju.[23][81] Dugoročna uporaba lijekova umanjuje rizik povrata simptoma.[82]
Izbor antipsihotika se temelji na procijeni učinkovitosti, rizika i cijene lijeka.[3] Predmet je debate je li bolji izbor uporaba tipičnih ili atipičnih antipsihotika.[83] Obje klase lijekova imaju jednaki poluživot i stopu povrata simptoma, iako se tipični antipsihotici koriste u niskim i srednjim dozama.[84] Ovim se tretmanom postiže gotovo potpuno povlačenje simptoma u 40-50% slučajeva i djelomično povlačenje u 30-40%, dok u oko 20% slučajeva dolazi do rezistencije na tretman (manjka povlačenja simptoma nakon šest tjedana tretmana s dva ili tri različita antipsihotika).[23] Klozapin je vrlo učinkovita terapija kod pacijenata koji neadekvatno reagiraju na druge lijekove, ali ima potencijalno ozbiljnu nuspojavu agranulocitoze (smanjenje broja leukocita) na 1–4%.[3][4][85]
Po učestalosti nuspojava, kod tipičnih su antipsihotika češće extrapiramidalne nuspojave, dok je kod atipičnih antipsihotika češća pojava povećane tjelesne težine, šećerne bolesti tipa 2 i rizika metaboličkog sindroma.[84] Iako atipični antipsihotici imaju manje ekstrapiramidalnih nuspojava, razlika u odnosu na tipične je mala.[86] Neki atipični antipsihotici kao kvetiapin i risperidon povezani su s povećanim rizikom smrti u odnosu na tipični antipsihotik perfenazin, dok je kod klozapina rizik od smrti niži.[87] Još je nejasno da li noviji antipsihotici umanjuju mogućnost pojave malignog neuroleptičkog sindroma, rijetkog ali ozbiljnog neurološkog poremećaja.[88]
Kod pacijenata koji nisu voljni ili su nesposobni redovito uzimati oralne oblike lijekova, mogu se koristiti intramuskularne injekcije lijekova s produljenim oslobađanjem kako bi se postigla kontrola nad simptomima.[89] Ovaj oblik također u većoj mjeri smanjuje rizik povrata simptoma u odnosu na oralne pripravke,[82] a kad se koristi u kombinaciji s psihosocijalnim intervencijama može dugoročno poboljšati pridržavanje terapijskim smjernicama.[89]
Psihosocijalne intervencije
Nekoliko se vrsta psihosocijalnih intervencija pokazalo korisnim u tretmanu shizofrenije: obiteljska terapija,[90] asertivni tretman u zajednici, potpomognuto zaposlenje, kognitivna remedijacija,[91] vježbanje vještina, kognitivno bihevioralna terapija (CBT) i psihosocijalne intervencije s ciljem smanjenja ovisnosti o psihoaktivnim tvarima i upravljanje gubitkom težine.[92] Obiteljska terapija i obrazovanje mogu umanjiti ponovnu pojavu simptoma i hospitalizacije.[90] Dokazi o učinkovitosti kognitivno bihevioralne terapije na smanjenje simptoma i prevenciju nijhovog povrata su minimalne.[93][94] Terapija umjetnošću ili glumom nije još dobro istražena.[95][96]
Prognoza
Shizofrenija ima velik ljudski i gospodarski trošak.[3] Oboljeli imaju očekivano smanjen životni vijek za 12–15 godina, u prvom redu zbog povezanosti shizofrenije s pretilošću, sjedećim načinom života i pušenjem, dok povećana stopa samoubojstva igra manju ulogu.[3] Ove razlike u očekivanom životnom vijeku u odnosu na opću populaciju su se povećale između 1970-ih i 1990-ih,[97], a između 1990-ih i prvog desetljeća 21. stoljeća nisu se bitno promijenile i sa zdravstvenim sustavom s otvorenim pristupom njezi (Finska).[87]
Shizofrenija je važan razlog invalidnosti. Ova je psihoza klasificirana kao treća po redu invalidirajuća bolest nakon kvadriplegije i demencije i prije paraplegije i slijepoće.[98] Otprilike tri četvrtine ljudi oboljelih od shizofrenije pate od invalidnosti s epizodama povrata simptoma.[23] Neki pacijenti se potpuno oporave i vrlo se dobro uklope u društvo.[99] Većina ljudi sa shizofrenijom žive neovisno uz podršku zajednice.[3] Kod osoba s prvom epizodom shizofrenije dugoročni ishod je dobar u 42% slučajeva, osrednji u 35% i loš u 27%.[100] Ishod shizofrenije je naizgled bolji u zemljama u razvoju u odnosu na razvijene zemlje,[101] ali su ovi zaključci u više istraživanja dovedeni u pitanje.[102][103]
Stopa samoubojstva je povećana kod pacijenata shizofreničara u odnosu na prosjek opće populacije. Obično se iznosio podatak da je stopa samoubojstva oko 10%, ali najnovija istraživanja i statističke analize procijenile su stopu na 4,9%, najčešće u razdoblju prve pojave simptoma i prve hospitalizacije.[104] Oko 20 do 40% oboljelih barem jednom pokušaju samoubojstvo.[105][106] Rizični faktori za samoubojstvo kod shizofreničara su muški rod, depresija i visoki kvocijent inteligencije.[105]
Pušenje je vrlo često kod shizofreničara i ova je asocijacija dokazana nizom istraživanja u cijelom svijetu.[107][108] Ovisnost o cigaretama je posebno visoka kod pojedinaca oboljelih od shizofrenije. Procijenjeno je da su 80 do 90 % shizofreničara redoviti pušači u odnosu na 20% redovitih pušača u općoj populaciji.[108] Karakteristično je i to da su shizofreničari teški pušači i da biraju cigarete sa što višim sadržajem nikotina.[106] Neka istraživanja pokazuju da kod paranoidnog tipa shizofrenije postoje bolje perspektive neovisnog i samostalnog života i redovitog zaposlenja u odnosu na druge tipove shizofrenije.[109]
Epidemiologija
██ no data ██ ≤ 185 ██ 185–197 ██ 197–207 ██ 207–218 ██ 218–229 ██ 229–240 | ██ 240–251 ██ 251–262 ██ 262–273 ██ 273–284 ██ 284–295 ██ ≥ 295 |
Shizofrenija pogađa oko 0.3–0.7% ljudi tijekom života,[3] ili 24 milijuna ljudi u svijetu u 2011. godini.[110] Pojavljuje se 1,4 puta češće u muškaraca u odnosu na žene i uglavnom se u muškaraca javlja u ranijoj dobi.[4] Pojava simptoma je oko 20-28 godine života u muškaraca i 26-32 godine života u žena.[111] Shizofrenija u pedijatrijskoj dobi je vrlo rijetka,[112] kao i pojava bolesti u srednjim i kasnim godinama života.[113] Iako je poznato da su stope shizofrenije vrlo slične u cijelom svijetu, prevalencija se ipak razlikuje od države do države,[114] unutar samih država,[115] i na lokalnom i na nivou naselja.[116]
Poveznice
Literatura
- ↑ Marija Fuerst, Psihologija, Zagreb, 1994.
- ↑ "Schizophrenia" Concise Medical Dictionary. Oxford University Press, 2010. Oxford Reference Online.Maastricht University Library. 29. lipnja 2010. prepaid subscription only
- ↑ 3,00 3,01 3,02 3,03 3,04 3,05 3,06 3,07 3,08 3,09 3,10 3,11 3,12 3,13 3,14 3,15 3,16 3,17 3,18 3,19 3,20 • Nepoznat parametar:
month
• Nepoznat parametar:issue
• Parametarpmidnije dopušten u klasijournal
• Parametartypenije dopušten u klasijournal
• Parametarurlnije dopušten u klasijournal - ↑ 4,00 4,01 4,02 4,03 4,04 4,05 4,06 4,07 4,08 4,09 4,10 4,11 4,12 • Nepoznat parametar:
pmc
• Nepoznat parametar:issue
• Parametarpmidnije dopušten u klasijournal
• Parametartypenije dopušten u klasijournal
• Parametardatenije dopušten u klasijournal - ↑ 5,0 5,1 • Nepoznat parametar:
issue
• Parametarpmidnije dopušten u klasijournal
• Parametartypenije dopušten u klasijournal - ↑ • Nepoznat parametar:
month
• Nepoznat parametar:pmc
• Nepoznat parametar:issue
• Parametarpmidnije dopušten u klasijournal
• Parametartypenije dopušten u klasijournal - ↑ 7,0 7,1 7,2 Carson VB (2000.). Mental health nursing: the nurse-patient journey W.B. Saunders.ISBN 9780721680538. str. 638.
- ↑ Hirsch SR i Weinberger DR (2003.) Schizophrenia. http://books.google.com/books?id=x3fmsV55rigC&pg=PA21.
- ↑ • Nepoznat parametar:
month
• Nepoznat parametar:issue
• Parametarpmidnije dopušten u klasijournal
• Parametartypenije dopušten u klasijournal - ↑ Hirsch SR i WeinbergerDR (2003.) Schizophrenia. http://books.google.com/books?id=x3fmsV55rigC&pg=PA21.
- ↑ • Nepoznat parametar:
month
• Nepoznat parametar:issue
• Parametarpmidnije dopušten u klasijournal
• Parametartypenije dopušten u klasijournal - ↑ 12,0 12,1 • Nepoznat parametar:
pmc
• Nepoznat parametar:issue
• Parametarpmidnije dopušten u klasijournal
• Parametartypenije dopušten u klasijournal - ↑ • Nepoznat parametar:
issue
• Parametartypenije dopušten u klasijournal
• Parametarurlnije dopušten u klasijournal - ↑ • Nepoznat parametar:
issue
• Parametarpmidnije dopušten u klasijournal
• Parametartypenije dopušten u klasijournal - ↑ • Parametar
pmidnije dopušten u klasijournal
• Parametartypenije dopušten u klasijournal - ↑
• Nepoznat parametar:
editor1-last
• Nepoznat parametar:editor3-first
• Nepoznat parametar:editor1-first
• Nepoznat parametar:editor4-first
• Nepoznat parametar:editor2-first
• Nepoznat parametar:editor2-last
• Nepoznat parametar:editor3-last
• Nepoznat parametar:ref
• Nepoznat parametar:editor4-last
• Parametarchapternije dopušten u klasibook
• Parametarformatnije dopušten u klasibook - ↑
• Nepoznat parametar:
last1
• Nepoznat parametar:first1
• Nepoznat parametar:authorlink1 - ↑ • Nepoznat parametar:
month
• Nepoznat parametar:pmc
• Nepoznat parametar:issue
• Parametarpmidnije dopušten u klasijournal
• Parametartypenije dopušten u klasijournal - ↑ Sims A (2002.) Symptoms in the mind: an introduction to descriptive psychopathology.
- ↑ Kneisl C. and Trigoboff E.(2009.). Contemporary Psychiatric- Mental Health Nursing. 2. izdanje. London: Pearson Prentice Ltd. str. 371.
- ↑ 21,0 21,1 American Psychiatric Association. Task Force on DSM-IV. (2000.). Diagnostic and statistical manual of mental disorders: DSM-IV-TR. American Psychiatric Pub. ISBN 9780890420256. str. 299.
- ↑ • Nepoznat parametar:
issue
• Parametartypenije dopušten u klasijournal
• Parametardatenije dopušten u klasijournal
• Parametarurlnije dopušten u klasijournal - ↑ 23,0 23,1 23,2 23,3 • Nepoznat parametar:
month
• Nepoznat parametar:issue
• Parametarpmidnije dopušten u klasijournal
• Parametartypenije dopušten u klasijournal - ↑ • Nepoznat parametar:
month
• Nepoznat parametar:issue
• Parametarpmidnije dopušten u klasijournal
• Parametartypenije dopušten u klasijournal - ↑ • Nepoznat parametar:
month
• Parametarpmidnije dopušten u klasijournal
• Parametartypenije dopušten u klasijournal - ↑ 26,0 26,1 • Nepoznat parametar:
month
• Nepoznat parametar:issue
• Parametarpmidnije dopušten u klasijournal
• Parametartypenije dopušten u klasijournal - ↑ • Nepoznat parametar:
month
• Nepoznat parametar:issue
• Parametarpmidnije dopušten u klasijournal
• Parametartypenije dopušten u klasijournal - ↑ • Nepoznat parametar:
pmc
• Parametarpmidnije dopušten u klasijournal
• Parametartypenije dopušten u klasijournal - ↑ • Nepoznat parametar:
month
• Nepoznat parametar:issue
• Parametarpmidnije dopušten u klasijournal
• Parametartypenije dopušten u klasijournal - ↑ Mueser KT, Jeste DV (2008.) Clinical Handbook of Schizophrenia.
- ↑ • Nepoznat parametar:
issue
• Parametarpmidnije dopušten u klasijournal
• Parametartypenije dopušten u klasijournal - ↑ • Nepoznat parametar:
month
• Nepoznat parametar:issue
• Parametarpmidnije dopušten u klasijournal
• Parametartypenije dopušten u klasijournal - ↑ 33,0 33,1 • Nepoznat parametar:
issue
• Parametarpmidnije dopušten u klasijournal
• Parametartypenije dopušten u klasijournal - ↑ • Nepoznat parametar:
coauthors
• Parametarpmidnije dopušten u klasijournal
• Parametardatenije dopušten u klasijournal
• Parametartypenije dopušten u klasijournal - ↑ 35,0 35,1 • Nepoznat parametar:
month
• Nepoznat parametar:issue
• Parametarpmidnije dopušten u klasijournal
• Parametartypenije dopušten u klasijournal - ↑ Večernji list Vecernji.hr: Znanstvenici srušili 'mit': Marihuana je itekako opasna za zdravlje, 7. listopada 2014. (pristupljeno 23. veljače 2019.)
- ↑ • Nepoznat parametar:
issue
• Parametarpmidnije dopušten u klasijournal
• Parametartypenije dopušten u klasijournal - ↑ • Nepoznat parametar:
coauthors
• Nepoznat parametar:issue
• Parametarpmidnije dopušten u klasijournal
• Parametartypenije dopušten u klasijournal
• Parametardatenije dopušten u klasijournal - ↑ 39,0 39,1 • Nepoznat parametar:
coauthors
• Nepoznat parametar:pmc
• Nepoznat parametar:issue
• Parametarpmidnije dopušten u klasijournal
• Parametartypenije dopušten u klasijournal
• Parametardatenije dopušten u klasijournal - ↑ • Nepoznat parametar:
issue
• Parametarpmidnije dopušten u klasijournal
• Parametartypenije dopušten u klasijournal
• Parametardatenije dopušten u klasijournal - ↑ Larson, Michael. Alcohol-Related Psychosis. WebMD, preuzeto 27. rujna 2006.
- ↑ • Nepoznat parametar:
coauthors
• Nepoznat parametar:issue
• Parametarpmidnije dopušten u klasijournal
• Parametartypenije dopušten u klasijournal
• Parametardatenije dopušten u klasijournal - ↑ • Nepoznat parametar:
month
• Nepoznat parametar:issue
• Parametarpmidnije dopušten u klasijournal
• Parametartypenije dopušten u klasijournal
• Parametarurlnije dopušten u klasijournal - ↑ • Nepoznat parametar:
month
• Nepoznat parametar:issue
• Parametarpmidnije dopušten u klasijournal
• Parametartypenije dopušten u klasijournal - ↑ • Nepoznat parametar:
issue
• Parametarpmidnije dopušten u klasijournal
• Parametartypenije dopušten u klasijournal - ↑ • Nepoznat parametar:
issue
• Parametarpmidnije dopušten u klasijournal
• Parametartypenije dopušten u klasijournal - ↑ • Nepoznat parametar:
issue
• Parametarpmidnije dopušten u klasijournal
• Parametartypenije dopušten u klasijournal - ↑ • Nepoznat parametar:
issue
• Parametarpmidnije dopušten u klasijournal
• Parametartypenije dopušten u klasijournal - ↑ • Nepoznat parametar:
month
• Nepoznat parametar:issue
• Parametarpmidnije dopušten u klasijournal
• Parametartypenije dopušten u klasijournal - ↑ • Nepoznat parametar:
issue
• Parametartypenije dopušten u klasijournal - ↑ • Nepoznat parametar:
issue
• Parametarpmidnije dopušten u klasijournal
• Parametartypenije dopušten u klasijournal - ↑ • Nepoznat parametar:
month
• Nepoznat parametar:issue
• Parametarpmidnije dopušten u klasijournal
• Parametartypenije dopušten u klasijournal - ↑ • Nepoznat parametar:
month
• Nepoznat parametar:pmc
• Parametarpmidnije dopušten u klasijournal
• Parametartypenije dopušten u klasijournal - ↑
• Parametar
chapternije dopušten u klasibook - ↑ Script error: The function "harvard_citation_no_bracket" does not exist.
- ↑ • Nepoznat parametar:
issue
• Parametarpmidnije dopušten u klasijournal
• Parametartypenije dopušten u klasijournal - ↑ • Nepoznat parametar:
month
• Nepoznat parametar:issue
• Parametarpmidnije dopušten u klasijournal
• Parametartypenije dopušten u klasijournal - ↑ • Nepoznat parametar:
month
• Nepoznat parametar:pmc
• Nepoznat parametar:issue
• Parametarpmidnije dopušten u klasijournal
• Parametartypenije dopušten u klasijournal - ↑ • Parametar
pmidnije dopušten u klasijournal
• Parametartypenije dopušten u klasijournal - ↑ • Nepoznat parametar:
issue
• Parametarpmidnije dopušten u klasijournal
• Parametartypenije dopušten u klasijournal - ↑ • Nepoznat parametar:
issue
• Parametarpmidnije dopušten u klasijournal
• Parametartypenije dopušten u klasijournal - ↑ • Parametar
pmidnije dopušten u klasijournal
• Parametartypenije dopušten u klasijournal - ↑ • Nepoznat parametar:
issue
• Parametarpmidnije dopušten u klasijournal
• Parametartypenije dopušten u klasijournal - ↑ • Nepoznat parametar:
issue
• Parametarpmidnije dopušten u klasijournal
• Parametartypenije dopušten u klasijournal - ↑ 65,0 65,1 65,2
• Nepoznat parametar:
chapterurl
• Parametarchapternije dopušten u klasibook
• Parametaraccessdatenije dopušten u klasibook - ↑ American Psychiatric Association DSM-5 Work Groups (2010)Proposed Revisions –Schizophrenia and Other Psychotic Disorders. Pristupljeno 17. veljače 2010.
- ↑ 67,0 67,1 The ICD-10 Classification of Mental and Behavioural Disorders (pdf),
- ↑ • Parametar
typenije dopušten u klasijournal
• Parametaraccessdatenije dopušten u klasijournal - ↑ • Nepoznat parametar:
month
• Nepoznat parametar:issue
• Parametarpmidnije dopušten u klasijournal
• Parametartypenije dopušten u klasijournal - ↑ • Nepoznat parametar:
issue
• Parametartypenije dopušten u klasijournal
• Parametardatenije dopušten u klasijournal
• Parametarurlnije dopušten u klasijournal - ↑ • Nepoznat parametar:
issue
• Parametarpmidnije dopušten u klasijournal
• Parametartypenije dopušten u klasijournal - ↑ • Nepoznat parametar:
month
• Nepoznat parametar:issue
• Parametarpmidnije dopušten u klasijournal
• Parametartypenije dopušten u klasijournal - ↑ • Nepoznat parametar:
month
• Nepoznat parametar:pmc
• Nepoznat parametar:issue
• Parametarpmidnije dopušten u klasijournal
• Parametartypenije dopušten u klasijournal - ↑ • Nepoznat parametar:
month
• Nepoznat parametar:issue
• Parametarpmidnije dopušten u klasijournal
• Parametartypenije dopušten u klasijournal
• Parametarurlnije dopušten u klasijournal - ↑ • Nepoznat parametar:
coauthors
• Nepoznat parametar:issue
• Parametarpmidnije dopušten u klasijournal
• Parametartypenije dopušten u klasijournal
• Parametardatenije dopušten u klasijournal - ↑ • Nepoznat parametar:
coauthors
• Nepoznat parametar:pmc
• Nepoznat parametar:issue
• Parametarpmidnije dopušten u klasijournal
• Parametartypenije dopušten u klasijournal
• Parametardatenije dopušten u klasijournal
• Parametarurlnije dopušten u klasijournal - ↑ • Nepoznat parametar:
coauthors
• Nepoznat parametar:issue
• Parametarpmidnije dopušten u klasijournal
• Parametartypenije dopušten u klasijournal
• Parametardatenije dopušten u klasijournal
• Parametarurlnije dopušten u klasijournal - ↑ • Nepoznat parametar:
month
• Nepoznat parametar:issue
• Parametarpmidnije dopušten u klasijournal
• Parametartypenije dopušten u klasijournal
• Parametarurlnije dopušten u klasijournal - ↑ • Nepoznat parametar:
issue
• Parametarpmidnije dopušten u klasijournal
• Parametartypenije dopušten u klasijournal - ↑ National Collaborating Centre for Mental Health. Gaskell and the British Psychological Society. Schizophrenia: Full national clinical guideline on core interventions in primary and secondary care [PDF]; 25. ožujka 2009. [Retrieved 25. studenog 2009.].
- ↑ • Nepoznat parametar:
formt
• Nepoznat parametar:month
• Nepoznat parametar:issue
• Parametarpmidnije dopušten u klasijournal
• Parametartypenije dopušten u klasijournal
• Parametarurlnije dopušten u klasijournal - ↑ 82,0 82,1 • Nepoznat parametar:
coauthors
• Parametartypenije dopušten u klasijournal
• Parametardatenije dopušten u klasijournal - ↑ • Nepoznat parametar:
issue
• Parametarpmidnije dopušten u klasijournal
• Parametartypenije dopušten u klasijournal - ↑ 84,0 84,1 • Nepoznat parametar:
month
• Nepoznat parametar:issue
• Parametarpmidnije dopušten u klasijournal
• Parametartypenije dopušten u klasijournal - ↑ • Nepoznat parametar:
issue
• Parametarpmidnije dopušten u klasijournal
• Parametartypenije dopušten u klasijournal
• Parametarpublishernije dopušten u klasijournal - ↑ • Nepoznat parametar:
month
• Nepoznat parametar:issue
• Parametarpmidnije dopušten u klasijournal
• Parametartypenije dopušten u klasijournal - ↑ 87,0 87,1 • Nepoznat parametar:
month
• Nepoznat parametar:issue
• Parametarpmidnije dopušten u klasijournal
• Parametartypenije dopušten u klasijournal - ↑ • Nepoznat parametar:
month
• Nepoznat parametar:issue
• Parametarpmidnije dopušten u klasijournal
• Parametartypenije dopušten u klasijournal - ↑ 89,0 89,1 • Parametar
pmidnije dopušten u klasijournal
• Parametartypenije dopušten u klasijournal - ↑ 90,0 90,1 • Parametar
pmidnije dopušten u klasijournal
• Parametartypenije dopušten u klasijournal - ↑ • Nepoznat parametar:
issue
• Parametarpmidnije dopušten u klasijournal
• Parametartypenije dopušten u klasijournal
• Parametarurlnije dopušten u klasijournal - ↑ • Nepoznat parametar:
month
• Nepoznat parametar:issue
• Parametarpmidnije dopušten u klasijournal
• Parametartypenije dopušten u klasijournal - ↑ • Nepoznat parametar:
month
• Nepoznat parametar:issue
• Parametarpmidnije dopušten u klasijournal
• Parametartypenije dopušten u klasijournal - ↑ • Nepoznat parametar:
issue
• Parametarpmidnije dopušten u klasijournal
• Parametartypenije dopušten u klasijournal - ↑ • Nepoznat parametar:
issue
• Parametarpmidnije dopušten u klasijournal
• Parametartypenije dopušten u klasijournal
• Parametarurlnije dopušten u klasijournal - ↑ • Nepoznat parametar:
issue
• Parametarpmidnije dopušten u klasijournal
• Parametartypenije dopušten u klasijournal
• Parametarurlnije dopušten u klasijournal - ↑ • Nepoznat parametar:
month
• Nepoznat parametar:issue
• Parametarpmidnije dopušten u klasijournal
• Parametartypenije dopušten u klasijournal - ↑ • Nepoznat parametar:
coauthors
• Nepoznat parametar:issue
• Parametarpmidnije dopušten u klasijournal
• Parametartypenije dopušten u klasijournal - ↑ • Nepoznat parametar:
month
• Nepoznat parametar:issue
• Parametarpmidnije dopušten u klasijournal
• Parametartypenije dopušten u klasijournal - ↑ • Nepoznat parametar:
month
• Nepoznat parametar:issue
• Parametarpmidnije dopušten u klasijournal
• Parametartypenije dopušten u klasijournal - ↑ • Nepoznat parametar:
month
• Parametarpmidnije dopušten u klasijournal
• Parametartypenije dopušten u klasijournal - ↑ • Nepoznat parametar:
month
• Nepoznat parametar:pmc
• Nepoznat parametar:issue
• Parametarpmidnije dopušten u klasijournal
• Parametartypenije dopušten u klasijournal - ↑ • Nepoznat parametar:
month
• Nepoznat parametar:issue
• Parametarpmidnije dopušten u klasijournal
• Parametartypenije dopušten u klasijournal - ↑ • Nepoznat parametar:
month
• Nepoznat parametar:issue
• Parametarpmidnije dopušten u klasijournal
• Parametartypenije dopušten u klasijournal - ↑ 105,0 105,1 • Nepoznat parametar:
month
• Nepoznat parametar:issue
• Parametarpmidnije dopušten u klasijournal
• Parametartypenije dopušten u klasijournal - ↑ 106,0 106,1 American Psychiatric Association. Task Force on DSM-IV. (2000). Diagnostic and statistical manual of mental disorders: DSM-IV-TR. American Psychiatric Pub. ISBN 9780890420256. str. 304.
- ↑ • Nepoznat parametar:
issue
• Parametarpmidnije dopušten u klasijournal
• Parametartypenije dopušten u klasijournal - ↑ 108,0 108,1 • Nepoznat parametar:
issue
• Parametarpmidnije dopušten u klasijournal
• Parametartypenije dopušten u klasijournal - ↑ American Psychiatric Association. Task Force on DSM-IV. (2000). Diagnostic and statistical manual of mental disorders: DSM-IV-TR. American Psychiatric Pub. ISBN 9780890420256. str. 314.
- ↑ Schizophrenia. World Health Organization, preuzeto 27. veljače 2011.
- ↑ • Nepoznat parametar:
month
• Parametarpmidnije dopušten u klasijournal
• Parametartypenije dopušten u klasijournal - ↑ • Nepoznat parametar:
issue
• Parametarpmidnije dopušten u klasijournal
• Parametartypenije dopušten u klasijournal - ↑ Hassett Anne, et al. (eds) (2005.) Psychosis in the Elderly. http://books.google.com/?id=eLaMOJ9oj28C&printsec=frontcover&dq=Psychosis+in+the+Elderly.
- ↑ • Parametar
pmidnije dopušten u klasijournal
• Parametartypenije dopušten u klasijournal - ↑ • Nepoznat parametar:
month
• Nepoznat parametar:issue
• Parametarpmidnije dopušten u klasijournal
• Parametartypenije dopušten u klasijournal - ↑ • Nepoznat parametar:
issue
• Parametarpmidnije dopušten u klasijournal
• Parametartypenije dopušten u klasijournal