Hematoksilin

Izvor: Hrvatska internetska enciklopedija
Prijeđi na navigaciju Prijeđi na pretraživanje
Lua error in Modul:Kemijski_identifikatori at line 3: attempt to index field 'wikibase' (a nil value).
Hematoksilin
Kemijska struktura hematoksilina
Kemijska struktura hematoksilina
Datoteka:Haematoxylin 3D ball.png
IUPAC nomenklatura 7,11b-dihidro-indeno [2,1-c]
kromen-3,4,6a, 9,10 (6H) -pentol
Ostala imena Hematoksilin
Prirodna crna 1
C.I. 75290
Identifikacijski brojevi
Osnovna svojstva
Molarna masa 302,282 g·mol−1
Izgled Žuto-smeđa krutina osjetljiva na svjetlost
Talište Oko 200 ° C (raspadnut)
Topljivost u vodi

Malo topiv u vodi

Struktura
Sigurnosne upute
 
 
 
 
Znakovi opasnosti
Pogreška pri izradbi sličice:
nepoznat znak opasnosti
SI-sustav mjernih jedinica korišten je gdje god je to moguće. Ukoliko nije drugačije naznačeno, upisane vrijednosti izmjerene su pri standardnim uvjetima.

Hematoksilin je organsko prirodno bojilo koje u biologiji i medicini ima osobitu važnost za bojenje preparata jer boji samo određene dijelove stanica. [1] Hematoksilin se nalazi u plavom drvetu kampečevini (lat. Lignum campechianum, L. haematoxyli). Upotrebljava se za bojenje i tiskanje pamuka, svile, poliamida, vune, krzna i kože. Dobiva se vrlo postojana plavocrna boja, te kao pigment za izradu crne tinte, tiskarskih i slikarskih uljenih boja. Hematoksilinski preparati mogu se upotrebljavati kao antioksidacijska sredstva za nezasićene masne kiseline, kao reagens za dokazivanje truljenja hrane, te za bojenje histoloških preparata.

Oksidacijom hematoksilina na zraku nastaje hematein. Hematein je prirodno bojilo, C16H1206 (C.I. 75290), tvori crvene iglice koje se raspadaju na temperaturi višoj od 200 °C. Malo je topljiv u etanolu i eteru (žuta boja), te u vodi (crvena boja). Dobro je topljiv u alkalijama (modroljubičasta boja) i mineralnim kiselinama (crvena boja). Hematein čini sa solima teških metala složene spojeve, i to od modroljubičastih s bakrenim i kositrenim solima do crnih sa željeznim solima. [2]

Prirodna bojila

Datoteka:Vista-xmag.pngPodrobniji članak o temi: Prirodna bojila

Prirodna bojila su obojeni organski spojevi koji se nalaze u stanicama biljaka i životinja, te u mikroorganizmima. Prirodna bojila mogu se u njima nalaziti u slobodnom obliku (kurkumin) ili u spoju sa šećerom i bjelančevinama. Neka su bojila (indigo, antikni purpur) bezbojna, pa se od njih dobiva obojen spoj oksidacijom, fermentacijom ili fotokemijskim postupkom.

Heterociklička prirodna bojila

Prema kemijskoj konstituciji heterociklička prirodna bojila mogu se svrstati u dvije skupine: bojila s kisikovim atomima i bojila s dušikovim atomima u prstenima. Od bojila koja danas imaju neko praktično značenje u prvoj su skupini: brazilein, hematein, oenin i santalin, dok su u drugoj skupini: antikni purpur, indigo i klorofil.

Slike

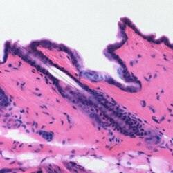
Datoteka:Haematoxylum campechianum wood chips.jpg Datoteka:Haematoxylin powder.jpg Datoteka:H&E Eby Loyola University Chicago.tif Pogreška pri izradbi sličice:
Drvna sječka stabla Haematoxylum campechianum. Hematoksilin u prahu. Koža miša, obojena s hematoksilinom (ljubičasta) i eozinom (ružičasta). Otopina hematoksilina.

Izvori

  1. mikroskopija, [1] "Hrvatska enciklopedija", mrežno izdanje, Leksikografski zavod Miroslav Krleža, www.enciklopedija.hr, pristupljeno 17. 8. 2020.
  2. "Tehnička enciklopedija" (Prirodna bojila), glavni urednik Hrvoje Požar, Grafički zavod Hrvatske, 1987.