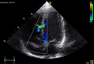
Ehokardiografija



Ehokardiografija je skupina neinvazivnih pretraga srca ultrazvukom. Temelji se na registraciji ultrazvučnih valova što ih reflektiraju srčane strukture. Ehokardiografija je dominantna metoda kardiološkog pregleda koja, pouzdanim podatcima, najčešće otklanja potrebu za invazivnim pretragama srca. Daje ključne podatke za dijagnozu: funkcijske parametre, točne mjere srčanih šupljina i debljine stijenki, oblik srčanih struktura, vrijednosti intrakardijalnih tlakova, procjenu težine bolesti srčanih zalistaka i drugo. Jednodimenzijska ehokardiografija (M-prikaz, od eng. motion: kretanje) prikazuje gibanje srčanih struktura s pomoću jednoga piezoelektričnoga kristala i daje najbolji vremenski prikaz zbivanja u srcu. Dvodimenzijska ehokardiografija daje slojevne slike srčanih struktura u "živoj slici" s dobrom prostornom orijentacijom. Dopplerova ehokardiografija primjenjuje se osobito u dijagnostici prirođenih i stečenih bolesti srca. [1]
Ultrasonografija
Ultrasonografija ili ehosonografija (lat. sonus: glas, zvuk) je upotreba ultrazvuka u dijagnostičke svrhe. Izvor ultrazvuka prisloni se na tijelo, a reflektirani signali ultrazvučnih valova prikazuju se na zaslonu osciloskopa. Na osnovi različite akustične gustoće mogu se prikazati različne strukture (tkiva, organi) u tijelu. Dvodimenzionalni sustav na Dopplerovu učinku (takozvani kolor dopler) omogućuje procjenu protoka krvi u žilama određenog područja. Ehosonografija je našla obilnu i korisnu primjenu u ginekologiji, porodništvu (praćenje razvoja čeda u maternici, rano otkrivanje nepravilnosti), u kardiologiji (ehokardiografija), neurologiji (ehoencefalografija), oftalmologiji (ehooftalmografija) i drugdje. [2]
Dopplerov učinak
Dopplerov učinak ili Dopplerov efekt je promjena frekvencije valova pri relativnom gibanju njihova izvora ili promatrača. Opaža se kod svakoga valnoga gibanja kao povećanje, odnosno smanjenje frekvencije kada se izvor valova i promatrač međusobno približavaju, odnosno udaljavaju. Umjesto frekvencije izvora f0, opaža se frekvencija f:
gdje je:
- - brzina valova u sredstvu (na primjer u zraku);
- - relativna brzina promatrača; pozitivna ako se promatrač približava prema izvoru (negativna za udaljavanje);
- - relativna brzina izvora; pozitivna ako se izvor približava prema promatraču (negativna za udaljavanje).
Kod zvučnih valova Dopplerov učinak opaža se kao povišenje ili sniženje tona: na primjer ton raznih vozila čini se viši za vrijeme približavanja a niži prilikom udaljavanja. Kod svjetlosnih valova spektralne linije pomaknute su prema ljubičastomu dijelu spektra ako se izvor približava (plavi pomak), a prema crvenome (crveni pomak) ako se udaljava. Prema teoriji relativnosti u tom slučaju vrijedi:
gdje je: c - brzina svjetlosti, a α - kut izvora prema promatraču: α = 90° kod transverzalnoga gibanja, pa se to naziva transverzalni (poprečni) Dopplerov učinak. U astronomiji se primjenom Dopplerova učinka mjeri brzina radijalnoga gibanja nebeskih tijela (na primjer male promjene brzine zvijezda pod utjecajem planeta, brzine gibanja galaktika) ili njihovih dijelova (brzina rotacije, brzina pulsiranja). U prometu se s pomoću Dopplerova učinka i radara može odrediti brzina kretanja vozila; u medicini, brzina protoka krvi (ehosonografija).