Toggle menu
244 tis.
66
18
623,5 tis.
Hrvatska internetska enciklopedija
Toggle preferences menu
Toggle personal menu
Niste prijavljeni
Your IP address will be publicly visible if you make any edits.

Hipofiza

Izvor: Hrvatska internetska enciklopedija

Hipofiza

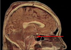
Hipofiza se nalazi s donje strane mozga
Hipofiza se nalazi s donje strane mozga
Hipofiza
Hipofiza
Hipofiza u turskom sedlu
Hipofiza je na dnu mozga. Štite ju koštana struktura zvana sella turcica (tursko sedlo) sfenoidne kosti i ne daje joj mnogo mjesta za se proširiti.[1] Henry Vandyke Carter - Henry Gray (1918): Anatomy of the Human Body. Bartleby.com: Gray's Anatomy, Plate 1180
Građa prednjeg režnja
Građa prednjeg režnja


Hipofiza je najznačajnija endokrina žlijezda. Proizvodi mnoge hormone i upravlja radom svih drugih žlijezda. Nalazi se s donje strane mozga i ona je žlijezda s unutrašnjim izlučivanjem.

Smještaj

Smještena je na bazi mozga. Leži u udubini klinaste kosti u tzv. turskom sedlu (sella turcica). Obavija ju nabor čvrste moždane ovojnice (diaphragma sellae turcicae durae matris). Ovojnica se sastoji od dorzalnog i ventralnog lista. Na dorzalnom je listu postoji otvor (foramen diaphragmatis) koji u čovjeka čvrsto priliježe uz držak hipofize. U drugih kralježnjaka nije isto, pa je kod pasa prekriva samo dorzo-kaudalni dio a kod konja je vrlo širok i obuhvaća gotovo opseg hipofize. Držak hipofize je kranijalno omeđen chiasmom opticom i tractus opticusom, kaudalno se nalaze pedunculus cerebri i corpus mamillare, a lateralno je omeđen uzdignućima na bazi mozga, lobus piriformis.[2]

Građa

Građena je od tri temeljna dijela: prednjeg, srednjeg i stražnjeg režnja koji se razlikuju po svom razvoju, građi i funkciji:

Prema svom položaju najzaštićeniji je dio tijela. Velika je oko 1 cm i teška oko 0,5 grama. Smještena je na bazi velikog mozga, kao moždani privjesak koji visi na turskom sedlu. Djeluje na rast tijela, krvni tlak, rad bubrega, promet tvari. Hipofiza usklađuje rad drugih žlijezda s unutarnjim lučenjem. Također je zovu i glavnom ili centralnom žlijezdom.

Kod svih životinja, mesnat žljezdasti prednji režanj različit je od živčanog stražnjeg režnja. Prednji režanj sastoji se od tri dijela: distalnog (pars distalis), tuberalnog (pars tuberalis) i intermedijarnog (pars intermedia), koji se naziva i srednjim režnjem.

Krvlju ju opskrbljuju dvije skupine arterija, koje potječu od unutarnje karotidne arterije. Sa gornje strane, desna i lijeva dorzalna hipofizna arterija opskrbljuju eminenciju medijanu i držak, a ventralno, desna i lijeva ventralna hipofizna arterija opskrbljuju neurohipofizu i malim dijelom držak.[3]

Gledano po razvoju embrija, hipofizu zapravo čine dvije žlijezde: neurohipofiza koja se razvija od ektoderma i adenohipofiza koja se razvija od ektoderma usne šupljine. Neurohipofizu čine pars nervosa i infundibul, a adenohipofizu pars distalis seu glandularis, pars tuberalis seu infundibularis i pars intermedia.[3]

Adenohipofiza i neurohipofiza nisu jednako smještene kod svih vrsta. Kod konja, psa i dupina adenohipofiza okružuje neurohipofizu. Kod čovjeka je neurohipofiza kaudalno od adenohipofize. Između adenohipofize i neurohipofize je hipofizna šupljina koje nema kod konja. Šupljina infundibula komunicira s trećom moždanom klijetkom. Kod konja završava sužavajući se u području prijelaza infundibula u hipofizu, dok kod psa se nastavlja u hipofizu. Infundibularnim drškom je hipofiza pričvršćena na bazi mozga. Čini ga infundibul obavijen sa pars tuberalis adenohipofize.[3]

Zanimljivosti

Ako hipofiza u djetinjstvu neke osobe luči previše hormona rasta, ta osoba će imati giganski (divovski) rast. U suprotnom slučaju, ako ne luči dovoljno hormona, tada će se ta osoba razviti u patuljka, tj. imat će patuljasti rast. Ona upravlja svim ostalim žlijezdama i zato je vrlo važan dio čovjekova organizma. Ako dođe do poremećaja u njezinom funkcioniranju - poremetit će se cijeli sustav djelovanja hormona.

Funkcije hormona hipofize

Naziv hormona Funkcija hormona
hormon rasta (GH) Potiče stvaranje proteina, rast tkiva i ostalih tjelesnih stanica.
tireotropni hormon (TSH) Potiče razvoj štitnjače i lučenje hormona štitnjače.
adrenokorikotropni hormon (ACTH) Potiče lučenje hormona nadbubrežnih žlijezda.
folikul stimulirajući hormon (FSH) Potiče spolne žlijezde na stvaranje jajašaca i spermija.
luitenizirajući hormon (LH) Potiče spolne žlijezde na stvaranje spolnih hormona.
prolaktin (PL ili LTH) Potiče stvaranje mlijeka u mliječnim žlijezdama.
melanocit stimulirajući hormon Potiče stvaranje melanina u melanocitima.
antidiuretski hormon (ADH) Regulira reapsorpciju vode u bubrezima.
oksitocin (OT) Potiče kontrakcije maternice tijekom poroda te protok mlijeka kroz dojke tijekom dojenja.

Izvori

  1. MSD medicinski priručnik za pacijente Poremećaji hipofize, Placebo doo, Split, 2014. (pristupljeno 14. studenoga 2018.)
  2. Veterinarski fakultet u Zagrebu Goran Domitran: Usporedne osobitosti građe hipofize u konja, psa, dobrog dupina i plavobijelog dupina, Zagreb, 2007., str. 7 (pristupljeno 28. travnja 2019.)
  3. 3,0 3,1 3,2 Veterinarski fakultet u Zagrebu Goran Domitran: Usporedne osobitosti građe hipofize u konja, psa, dobrog dupina i plavobijelog dupina, Zagreb, 2007., str. 6 (pristupljeno 28. travnja 2019.)

Vanjske poveznice