| Klasifikacija i vanjske poveznice | |
| MKB-10 | Script error: The function "getExternalValue" does not exist. |
| MKB-10 | Script error: The function "getExternalValue" does not exist. |
| NSK | Script error: The function "getExternalValue" does not exist. |
| PubMed | Script error: The function "getExternalValue" does not exist. (eng.) |
| MeSH | Script error: The function "getExternalValue" does not exist. (eng.) |
| Medscape | Script error: The function "getExternalValue" does not exist. (eng.) |

Bol u donjem dijelu leđa, križobolja ili lumbago je učestali poremećaj mišića i kostiju leđa. Zahvaća oko 40% ljudi u nekom trenutku života. Bol u donjem dijelu leđa (često skraćeno LBP, eng.: low back pain) može se klasificirati prema trajanju kao akutna (bol koja traje kraće od 6 tjedana), sub-kronična (6 do 12 tjedana), ili kronična (više od 12 tjedana). Bolest je moguće dalje klasificirati prema temeljnom uzroku kao mehaničku, ne-mehaničku, ili prenesenu bol.
U većini slučajeva epizoda boli u donjem dijelu leđa, specifični uzrok ne bude identificiran, pa ga se čak niti ne traži, a vjeruje se da je bol posljedica mehaničkih problema poput istezanja mišića ili istezanja zgloba. Ako se bol ne povuče nakon konzervativnog liječenja ili je popraćena upozoravajućim simptomima kao što je neobjašnjeni gubitak tjelesne mase, vrućica, ili značajni problemi osjeta ili pokretljivosti, mogu biti potrebni dodatni testovi u svrhu traženja ozbiljnog podležećeg problema. U većini slučajeva, slikovna dijagnostika poput računalne tomografije nije korisna te nosi vlastite rizike. Unatoč tome, primjena slikovne dijagnostike u dijagnostici boli u donjem dijelu leđa je povećana. Bol u donjem dijelu leđa može biti prouzročena oštećenjem intervertebralnog diska, te je u tom slučaju test podizanja pružene noge korisno u identifikaciji ovog uzroka. U onih s kroničnom boli, sustav za obradu informacije o boli može neispravno interpretirati informacije, te prouzročiti jaku bol kao odgovor na neznačajan podražaj.
Liječenje akutne nespecifične boli u donjem dijelu leđa u pravilu podrazumijeva konzervativne mjere poput primjene jednostavnih analgetika te nastavak što je više moguće normalne aktivnosti, koliko to bol dopušta. Lijekovi se preporučuju dok god su djelotvorni, a preferirani lijek prvog izbora je acetaminofen (također poznat kao paracetamol). Simptomi boli u donjem dijelu leđa obično se poprave tijekom nekoliko tjedana od njihovog početka, a 40-90% ljudi se potpuno oporavi u vremenu do šest tjedana.
Za one čije se stanje ne popravi nakon uobičajenog liječenja postoji nekoliko drugih opcija. Opioidi mogu biti korisni kada jednostavni lijekovi protiv boli nisu dovoljni, ali nisu općenito preporučeni zbog svojih nuspojava. Kirurško liječenje može biti korisno za one s kroničnom boli i invaliditetom vezanim uz oštećenje intervertebralnog diska. Ono može biti preporučeno i za one sa spinalnom stenozom. Za ostale slučajeve nespecifične boli u donjem dijelu leđa nije pokazana jasna korist kirurgije. Bol u donjem dijelu leđa često utječe na raspoloženje, koje se može popraviti uz savjetovanje i/ili antidepresive. Uz to, postoje mnoge terapije iz područja alternativne medicine, uključujući Alexander tehniku te ljekovito bilje, ali ne postoji dovoljno dokaza da bi ih se moglo preporučiti sa sigurnošću. Dokazi o kiropraktičarskim tehnikama i manipulaciji kralježnicom su mješoviti.
Simptomi i znakovi
Tipičan prikaz akutne boli u donjem dijelu leđa je razvoj boli nakon pokreta koji uključuju podizanje, uvijanje ili naginjanje prema naprijed. Simptomi mogu početi brzo nakon pokreta ili nakon buđenja sljedećeg jutra. Opis simptoma može se kretati od osjetljivosti u određenoj točki do raširene boli. Može se pogoršavati s određenim pokretima, poput podizanja noge, ili u pozicijama, poput sjedenja ili stajanja. Može biti prisutno i širenje boli niz nogu poznato kao išijas. Prvo iskustvo akutne boli u donjem dijelu leđa javlja se tipično između 20-te i 40-te godine, te je često prvi razlog za posjetu liječniku u odrasloj dobi.[1] Ponavljajuće epizode javljaju se u više od polovice ljudi[2], s time da su ponovljene epizode obično bolnije od prve.[1]
Drugi se problemi mogu javiti kao posljedica boli u leđima. Kronična bol u donjem dijelu leđa može biti povezana s problemima sa spavanjem, uključujući produljeno vrijeme potrebno za usnivanje, nemiran san, kraće spavanje, i smanjeno zadovoljstvo snom.[3] Uz to, većina ljudi s kroničnom boli u donjem dijelu leđa pokazuje simptome depresije[4] ili anksioznosti.[5]
Uzrok

Bol u donjem dijelu leđa nije određena bolest, već simptom koji može biti prouzročen velikim brojem podležećih problema različitih razina ozbiljnosti.[6] Većina slučajeva križobolje nema jasan uzrok[1], ali vjeruje se da je rezultat manje značajne ozljede mišića ili kostiju, poput uganuća ili istegnuća.[7] Pretilost, pušenje, dobitak na tjelesnoj masi za vrijeme trudnoće, stres, loše fizičko stanje, loše držanje tijela, te loš položaj pri spavanju također mogu doprinijeti boli u donjem dijelu leđa.[7] Puna lista mogućih uzroka uključuje mnoge rjeđe bolesti.[8] Fizički uzroci uključuju osteoartritis, reumatski artritis, degeneraciju diska između kralježaka ili hernijaciju spinalnog diska, frakturu kralješka (primjerice zbog osteoporoze) ili, rijetko, zbog infekcije ili tumora kralješnice.[9]
Žene mogu patiti od akutne boli u donjem dijelu leđa koja je posljedica medicinskih poremećaja koji zahvaćaju ženski spolni sustav, uključujući endometriozu, ciste jajnika, tumore jajnika, ili fibrome maternice.[10] Gotovo pola svih trudnih žena žali se na bol u donjem dijelu leđa ili u dijelu križne kosti tijekom trudnoće, zbog promjena u držanju tijela i centra gravitacije što uzrokuje istezanje mišića i ligamenata.[11]
Patofiziologija
Strukture leđa
Lumbalno područje (ili donji dio leđa) sastoji se od pet kralježaka (L1-L5). Između ovih kralježaka su vezivno-hrskavični diskovi, koji služe kao jastuci, te sprečavaju trljanje kralježaka jednih o druge dok u isto vrijeme štite kralježničku moždinu. Živci izlaze iz i ulaze u kralježničku moždinu kroz specifične otvore između kralježaka, te osiguravaju koži osjet i signale za mišiće. Stabilnost kralježnice održana je pomoću ligamenata i mišića leđa te abdomena. Mali zglobovi koji se zovu fasetni zglobovi ograničavaju te usmjeravaju pokrete kralježnice.[12]
Mišići multifidusi nalaze se duž stražnje strane kralježnice, te su važni za održavanje kralježnice ravnom i stabilnom tijekom puno uobičajenih pokreta poput sjedenja, hodanja i podizanja.[13] Problemi s ovim mišićima često se nalaze u ljudi s kroničnom boli u donjem dijelu leđa, jer bol u leđima rezultira time da osoba upotrebljava mišiće leđa na neispravan način u pokušaju izbjegavanja boli.[14] Problemi s mišićima multifidusima nastavljaju se i nakon što bol prestane, te je to vjerojatno jedan od važnih razloga zbog kojih se bol vraća.[14] Kao dio programa oporavka u ljudi s kroničnom boli u donjem dijelu leđa preporučuje se učenje pravilne uporabe ovih mišića.[14]
Intervertebralni disk ima želatinoznu jezgru okruženu fibroznim prstenom.[15] U svojem normalnom, neoštećenom stanju, većina diska nije opskrbljena cirkulacijom niti živčanim sustavom – krv i živci nalaze se samo s vanjske strane diska.[15] Specijalizirane stanice koje mogu preživjeti bez izravne opskrbe krvlju nalaze se u sredini diska.[15] Tijekom vremena, disk gubi svoju fleksibilnost te sposobnost apsorpcije fizičkih sila.[6] Ova smanjena sposobnost suočavanja s fizičkim silama povećava pritisak na druge dijelove kralježnice, uzrokujući zadebljanje ligamenata kralježnice te razvoj koštanih izraslina na kralješcima.[6] Kao rezultat, prostor kroz koji prolazi kralježnička moždina i živčani korijeni postaje manji.[6] Kada dođe do degeneracije diska kao rezultat ozljede ili bolesti, sastav diska se mijenja: krvne žile i živci mogu urasti u središte diska i/ili prolabirani material može stvarati izravan pritisak na korijen živca.[15] Bilo koja od ovih promjena može prouzročiti bol u leđima.[15]
Osjećaj boli
Bol je općenito neugodan osjećaj koji nastaje kao odgovor na događaj koji ili oštećuje ili potencijalno oštećuje tkivo u tijelu. Postoje četiri glavna koraka u procesu osjećanja boli: transdukcija, transmisija, percepcija, te modulacija.[13] Živčane stanice koje prepoznaju bol imaju stanična tijela u ganglijima stražnjih korjenova te vlakna koja prenose signale u kralježničku moždinu.[16] Proces osjećanja boli počinje kada događaj koji uzrokuje bol aktivira krajeve prikladnih osjetnih živčanih stanica. Ova vrsta stanica pretvara događaj u električni signal procesom transdukcije. Nekoliko različitih vrsta živčanih vlakana vrše transmisiju električnog signala od transdukcijske stanice do stražnjeg roga kralježničke moždine, od tamo do moždanog debla, te zatim od moždanog debla do različitih dijelova mozga kao što su talamus i limbički sustav. U mozgu, signali boli se obrađuju te dobivaju kontekst u procesu percepcije boli. Kroz modulaciju, mozak može modificirati slanje daljnjih živčanih impulsa tako da poveća ili smanji otpuštanje neurotransmitera.[13]
Dijelovi sustava za osjet i obradu boli mogu neispravno funkcionirati; stvarajući tako osjećaj boli kada tome ne postoji vanjski uzrok, signalizirajući previše boli nakon nekog uzroka, ili signalizirajući bol nakon nekog inače nebolnog događaja. Uz to, mehanizmi modulacije boli mogu nepravilno funkcionirati. Ovi su fenomeni uključeni u mehanizam kronične boli.[13]
Dijagnoza
Kako je građa leđa kompleksna, a tuženje na bol je subjektivno te ovisno o socijalnim faktorima, dijagnoza boli u donjem dijelu leđa nije jednostavna.[8] Dok je većina boli u donjem dijelu leđa prouzročena problemima s mišićima i zglobovima, ovi uzroci moraju se odijeliti od neuroloških problema, tumora kralježnice, prijeloma kralježnice, te infekcija, između ostalog.[1][17]
Podjela
Postoji više načina podjele boli u donjem dijelu leđa, bez suglasnosti o tome koja je najbolja.[8] Postoje tri glavne vrste boli u donjem dijelu leđa prema uzroku: mehanička bol u leđima (uključujući nespecifična istezanja muskuloskeletnog sustava, herniju diska, kompresiju korijena živca, degeneraciju diska ili bolesti zglobova, te prijelome kralježaka), nemehanička bol u leđima (tumori, upalni poremećaji poput spondilooartritisa, te infekcije), te prenesena bol iz unutarnjih organa (bolesti žučnjaka, bubrežni kamenac, upale bubrega, te aneurizme aorte, između ostalih).[8] Mehanički ili muskuloskeletni problemi podloga su većini slučajeva (oko 90% ili više),[8][18] a od njih, većini (oko 75%) ne bude identificiran specifični uzrok, a smatra se da je uzrok u istezanju mišića ili ozljedi ligamenata.[8][18] Rijetko, pritužba na bol u donjem dijelu leđa javlja se kao posljedica sistemskih ili psiholoških problema, poput fibromijalgije te somatoformnih poremećaja.[18]
Bol u donjem dijelu leđa može se podijeliti prema simptomima i znakovima. Difuzna bol koja se ne mijenja s određenim pokretima, te je lokalizirana na donji dio leđa, bez širenja dalje od stražnjice, klasificira se kao nespecifična, što je najčešća klasifikacija.[8] Bol koja se širi niz nogu do ispod koljena, nalazi se s jedne strane (u slučaju hernije diska), ili obje strane (u spinalnoj stenozi), te čija se jačina mijenja s određenim pokretima i manevrima jest radikularna, te čini oko 7% slučajeva.[8] Bol koju prate upozoravajući čimbenici poput traume, vrućice, tumora u povijesti bolesti ili značajna slabost mišića može ukazivati na ozbiljniji problem u podlozi boli te se klasificira kao bol koja zahtjeva hitnu pozornost ili pažnju specijalista.[8]
Simptomi se također mogu klasificirati prema trajanju kao akutni, subkronični (također poznato kao subakutni), ili kronični. Određeno trajanje potrebno za pripadanje ovim grupama nije univerzalno dogovoreno, ali općenito bol koja traje kraće od šest tjedana klasificira se kao akutna, bol koja traje šest do dvanaest tjedana je subkronična, a ona koja traje duže od dvanaest tjedana je kronična.[17] Liječenje i prognoza mogu se mijenjati ovisno o vremenu trajanja simptoma.
Upozoravajući znakovi
| Upozoravajući znakovi[19] | Mogući uzroci[1] |
|---|---|
| Tumor u povijesti bolesti | Tumor |
| Neobjašnjivi gubitak tjelesne mase | |
| Gubitak kontrole nad mjehurom ili crijevima | Cauda equina sindrom |
| Znatna mišićna slabost ili senzorički deficit | |
| Gubitak osjeta u stražnjici (anestezija sedla) | |
| Znatna trauma vezana uz dob | Prijelom |
| Kronična upotreba kortikosteroida | |
| Jaka bol nakon operacija lumbalnog područja tijekom protekle godine |
Infekcija |
| Vrućica | |
| Infekcija mokraćnog sustava | |
| Imunosupresija | |
| Intravenozna primjena droga |
Prisutnost određenih znakova, nazvanih upozoravajući znakovi, ukazuje na potrebu za daljnjim testovima u potrazi za ozbiljnijim problemom u podlozi boli, koji mogu zahtijevati neposredno ili specifično liječenje.[8] Prisutnost upozoravajućeg znaka ne znači da postoji bitan problem. Njegovo je značenje sugestivno,[20][21] te većina ljudi s upozoravajućim znakovima nemaju ozbiljnijih problema u podlozi boli.[1][17] Ako nisu prisutni upozoravajući znakovi, podvrgavanje slikovnoj dijagnostici ili laboratorijskim testovima tijekom prva četiri tjedna od početka simptoma nije se pokazalo korisno.[8]
Korisnost upozoravajućih znakova je slabo podržano dokazima.[22] Najkorisniji znakovi za detekciju prijeloma su: starija dob, upotreba kortikosteroida, te značajna trauma, pogotovo ako rezultira oznakama na koži.[22] Najbolja determinanta za utvrđivanje prisutnosti tumora su prethodni tumori u povijesti bolesti.[22]
Nakon isključivanja drugih uzroka, ljudi s nespecifičnom boli u donjem dijelu leđa liječeni su simptomatski, bez određivanja točnog uzroka boli.[1][17] Korisni mogu biti napori za otkrivanje čimbenika koji bi mogli komplicirati dijagnozu, poput depresije, zloporabe lijekova i droga, ili namjera vezanih za isplatu osiguranja.[8]
Ispitivanja
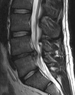
Slikovna je dijagnostika opravdana kada su prisutni upozoravajući znakovi, neurološki simptomi koji ne prolaze, te kontinuirana bol ili bol u pogoršanju.[8] Konkretno, rana upotreba slikovne dijagnostike (MRI ili CT) preporuča se kod sumnje na tumor, infekciju ili cauda equina sindrom.[8] MRI ima veću osjetljivost od CT-a za identifikaciju bolesti diska; obje tehnologije su jednako korisne u dijagnostici spinalne stenoze.[8] Samo nekoliko fizikalnih dijagnostičkih testova je korisno.[8] Test podizanja pružene noge je gotovo uvijek pozitivan u onih s hernijom diska.[8] Lumbalna provokativna diskografija može biti korisna u identifikaciji specifičnog uzroka boli u onih s jakom kroničnom boli u donjem dijelu leđa.[23] Slično tome, terapijski postupci poput blokade živca mogu se koristiti u određivanju specifičnog izvora boli.[8] Neki dokazi podupiru primjenu injekcija u fasetne zglobove, transforminalnih epiduralnih injekcija, te sakroilijačnih injekcija kao dijagnostičkih testova.[8] Većina drugih fizikalnih testova, poput procjene skolioze, slabosti ili trošenja mišića, poremećaja refleksa, od male su koristi.[8]
Pritužba na bol u donjem dijelu leđa jedan je od najčešćih razloga za posjet liječniku.[24][25] Za bol koja traje tek nekoliko tjedana, vjerojatno je da će se povući sama od sebe.[26] Prema tome, ako povijest bolesti te fizikalni pregled osobe ne ukazuju na specifičnu bolest kao uzrok, medicinska društva savjetuju da se pacijenti ne upućuju na slikovnu dijagnostiku poput rendgena, CT-a, te MRI-ja.[25] Pojedinci mogu željeti biti podvrgnuti ovakvoj dijagnostici, ali ako nisu prisutni upozoravajući znakovi,[27][28] to se smatra nepotrebna zdravstvena skrbnepotrebnom zdravstvenom skrbi.[24][26] Rutinska primjena slikovne dijagnostike povećava troškove, povezana je s većom učestalosti operacija bez ukupne koristi,[29][30] te zračenje koje se koristi može biti štetno za zdravlje pacijenta.[29] Manje od 1% testova slikovne dijagnostike pronalazi uzrok problema.[24] Slikovna dijagnostika može detektirati i bezopasne abnormalnosti, što potiče traženje daljnjih nepotrebnih testova i zabrinutost.[24] Ipak, korištenje MRI-ja lubmalne regije povećano je za više od 300% među korisnicima United States Medicare zdravstvenog osigurnja između 1994. i 2006.[31]
Prevencija
Učinkovite metode za prevenciju boli u donjem dijelu leđa nisu dobro razvijene.[32] Fizička vježba je vjerojatno učinkovita u prevenciji vraćanja boli u onih čija je bol trajala više od šest tjedana.[1][33] Srednje tvrd madrac blagotvorniji je kod kronične boli od tvrdih madraca.[34] Postoji vrlo malo dokaza da pojas za leđa pomaže u prevenciji boli u donjem dijelu leđa više od edukacije o pravilnim tehnikama podizanja tereta.[35] Ulošci za cipele ne pomažu u prevenciji boli u donjem dijelu leđa.[36]
Nošenje s boli
Nošenje s boli u donjem dijelu leđa ovisi o kategoriji: mehanički problemi, ne-mehanički problemi, ili prenesena bol.[37] Za akutnu bol koja uzrokuje samo blage do srednje probleme, cilj je vratiti normalnu funkciju, osposobiti pojedinca za povratak na posao, te smanjiti bol. Bol obično nije ozbiljna, prolazi bez mnogo terapije, a oporavak je olakšan ako se pokuša vratiti normalnim aktivnostima što je prije moguće s obzirom na bol.[17] Pružanje vještina za suočavanje kroz potporu i potvrđivanje prethodno navedenih činjenica korisno je u ubrzavanju oporavka.[1] Za one sa subkroničnom ili kroničnom boli u donjem dijelu leđa, multidisciplinarni programi liječenja mogu biti od koristi.[38]
Fizički postupci
Općenito, preporuča se povećanje tjelesne aktivnosti, ali njena jasna povezanost sa boli ili invalidnosti nije utrđena u primjerima u kojima se primjenjivala za liječenje akutnog stanja boli.[33][39] Kod akutnih bolova, slabih do umjerenih, kvalitetni pokazatelji govore u prilog aktivnosti hodanja.[40] Liječenje po McKenzijevoj metodi je donekle učinkovito kod bolova koji se ponavljaju u donjem dijelu leđa, ali njene prednosti kratkoročno ne izgledaju značajne.[1] Postoje nesigurni dokazi u korist upotrebe terapije toplinom za akutne i sub-kronične bolove u križima,[41] ali je općenito vrlo malo dokaza za primjenu bilo topline bilo hladnoće za terapiju kronične boli.[42] Slabi su dokazi koji pokazuju da bi pojasevi za leđa mogli smanjiti broj propuštenih radnih dana, ali ne postoji ništa što bi sugeriralo da će oni pomoći kod umanjivanja boli.[35] Ultrazvučne terapije i udarni val nisu se pokazali učinkovitima pa se stoga niti ne preporučuju.[43]
Terapija vježbama je učinkovita u smanjenju bolova i poboljšavanju funkcionalnosti kod osoba s kroničnim bolovima u donjem dijelu leđa.[35] Također se čini da smanjuje stopu učestalosti ponovljenih bolova u tijeku šest mjeseci nakon završetka programa[44] i poboljšava funkcionalnost na dulja razdoblja.[42] Nema dokaza da bi jedna određena vrsta terapije vježbom bila učinkovitija od druge.[45] Alexanderova tehnika se pokazala korisnom pri kroničnim bolovima u leđima,[46] a postoje i uvjetni dokazi koji podupiru primjenu joge.[47] Transkutana električna stimulacija živaca (TENS) se nije pokazala učinkovitom pri kroničnoj boli leđa.[48] Dokazi za upotrebu uložaka za cipele kao tretman nisu uvjerljivi.[36] Stimulacija perifernih živaca, minimalno invazivan postupak, bi mogao biti koristan u slučajevima kronične boli kad taj ne reagira na druge poduzete mjere, premda pokazatelji koji bi ga potvrdili nisu konačni i nije djelotvoran kod boli koja se širi u nogu.[49]
Upotreba lijekova
Ublažavanje križobolje često uključuje lijekove tako dugo dok su od pomoći. Kad je križobolja tek počela nastoji se postići potpuni prestanak boli; međutim, ako problem postane kroničan, ciljevi se mogu promijeniti u umanjivanje boli i vraćanje najviše moguće funkcije. Budući da su lijekovi protiv bolova samo donekle učinkoviti, očekivanja pacijenata što se tiče njihove korisnosti mogu biti drukčija nego što je stvarna učinkovitost, a to može dovesti do smanjenja zadovoljstva terapijom.[4]
Lijek koji se najprije preporučuje je acetaminofen ili nesteroidni protuupalni lijekovi (NSAID) (ali ne aspirin), i, za većinu ljudi je to dovoljno. Standardne doze acetaminofena su veoma sigurne; ipak, vrlo visoke doze mogu izazvati probleme s jetrima.[4] NSAID-i su djelotvorniji od acetaminofena za akutne epizode. Međutim oni nose veći rizik od popratnog djelovanja uključujući: otkazivanje bubrega, čir na želucu i čak možda probleme sa srcem. Stoga, NSAID-i su tek na drugom mjestu, iza acetaminofena i preporučuju se tek kad ovi prvi ne pomažu. NSAID-i su dostupni u nekoliko različitih razreda; ne postoji ništa što bi preporučivalo upotrebu COX-2 inhibitora prije nego li drugu vrstu NSAID-a s obzirom na djelotvornost.[4] S obzirom na sigurnu upotrebu najbolji bi mogao biti naproksen.[50] Muišićni relaksansi mogu također biti korisni.[4]
Ako bol ipak nije učinkovito tretirana prethodnom terapijom mogu se upotrijebiti i opioidi kao što je morfin. Ti lijekovi mogu biti opasni zbog toga što nose u sebi rizik od ovisnosti, mogu imati negativne interakcije s drugim lijekovima i rizičniji su zbog popratnih pojava uključujući vrtoglavicu, mučninu i zatvor. Opioidi mogu poslužiti za kratkotrajno savladavanje jake, akutne boli koja prouzrokuje značajne probleme.[4] Grupe specijalista ne preporučuju dugotrajno uzimanje opioida za kronične bolove u donjem dijelu leđa.[4] Za starije osobe s kroničnom boli, opijati mogu trošiti osobe za koje NSAID-i predstavljaju prevelik rizik, poput onih s dijabetesom, s problemima s želucem ili srčanim problemima. Također mogu biti korisni za izabranu skupinu ljudi s neuropatskom boli.[51]
Antidepresivi mogu biti učinkoviti u liječenju kroničnih bolova povezanih sa simptomima depresije, ali nose u sebi rizik od nuspojava. Iako se antikonvulzivni lijekovi gabapentin i karbamazepin ponekad primjenjuju protiv kroničnih bolova u donjem dijelu leđa i mogu ublažiti bolove išijasa, premalo je dokaza koji bi poduprli njihovu upotrebu.[4] Sistemski oralni steroidi se nisu pokazali uspješnima pri bolovima u donjem dijelu leđa.[1][4] Davanje injekcija u međukralježne zglobove i sterodne injekcije u diskove se nije pokazalo korisnim kod osoba s ustrajnim bolovima koji se ne šire; ipak mogli bi biti djelotvorni u osoba s stalnim išijasem.[52] Epiduralne injekcije kortikosteroida pružaju blago i upitno kraktotrajno poboljšanje pri išijasu, ali nisu dugotrajno korisni.[53]
Operacija
Operacija može biti djelotvorna kod osoba s hernijom diska koja uzrokuje jaku bol koja se širi u nogu, koja izaziva znatnu slabost u nozi, probleme s mjehurom ili gubitak kontrole nad crijevima.[54] Može biti korisna i za osobe sa spinalnom stenozom.[55] Ako nema takvih problema, ne postoji jasan dokaz o koristi operacije.[54]
Diskektomija (djelomično uklanjanje diska koji uzrokuje bol u nozi) oslobađa od bolova učinkovitije od nekirurškog liječenja.[54] Diskektomija daje bolje rezultate nakon godine dana, ali ne i nakon četiri do deset godina.[54] Manje invazivna mikrodiskektomija nije pokazala drukčiji ishod od obične diskektomije.[54] Za većinu drugih stanja nema dovoljno dokaza koji bi govorili u prilog tome da se preporuči kirurško rješenje.[54] Nije posve jasan ni dugoročan učinak koji operacija ima na oboljeli disk.[54] Manje invazivne kirurške operacije poboljšale su vrijeme oporavka, ali su dokazi o njihovoj djelotvornosti nedovoljni.[54]
Za osobe kod kojih je bol lokalizirana u donjem dijelu leđa zbog degeneracije diska, ima dosta dokaza koji govore da je spinalna fuzija isto tako učinkovita kao i intenzivna fizikalna terapija i nešto bolja od nekirurških mjera niskog intenziteta.[55] Fuzija dolazi u obzir kod pacijenata koji imaju bolove u donjem dijelu leđa prouzročene stečenim iskliznućem kralješka, a pri kojima ne dolazi do poboljšanja uz konzervativnu terapiju.[54] Istina je da samo malen broj onih na kojima je provedena spinalna fuzija dožive dobre rezultate.[55] Brojni su i različiti kirurški postupci kojima se postiže fuzija, ali nema jasnih dokaza o tome da bi jedan bio bolji od drugih.[56] Dodavanje implantata u kralježnicu tijekom fuzije povećava rizik, ali ne pruža nikakvo dodatno poboljšanje u boli ili poboljšanje funkcije.[31]
Alternativna medicina
Nije jasno da li kiropraktično liječenje ili terapija spinalne manipulacije (SMT) poboljšava rezultate više ili manje od ostalih tretmana u osoba s bolovima u donjem dijelu leđa.[57] Neke ocjene govore da SMT pokazuje jednake ili bolje rezultate u savladavanju boli i u poboljšanju funkcije u usporedbi s drugim često korištenim intervencijama u kratkoročnim, srednjeročnim i dugoročnim kontrolama;[58][59] druge pak kažu da nisu djelotvornije u smanjenju boli od bilo koje druge inertne intervencije, lažne manipulacije ili drugih tretmana i zaključuju da dodavanje SMT tretmana zaista poboljšava rezultate.[5][60] Terapijske smjernice u različitim zemljama dovode do različitih zaključaka. Neki ne preporučuju spinalnu manipulaciju, neki opisuju manipulaciju kao opciju, a drugi preporučuju kratki tečaj za one kod kojih nema poboljšanja s drugim tretmanima.[17] Za manipulaciju pod anestezijom ili medicinski potpomognutu manipulaciju, još nema dovoljno dokaza da bi je sa sigurnošću prepručili.[61] Akupunktura nije učinkovitija od placeba, opće njege, ili placebo akupunkture za tretman nespecificirane akutne ili subkronične boli.[62] Kod kronične boli, akupunktura poboljšava stanje sa smanjenjem boli više od manjka bilo kakve terapije i podjednako kao i uporaba lijekova, ali nema učinka na funkcionalnu nesposobnost.[62] Ovo poboljšanje u osjećaju boli je prisutno samo neposredno nakon tretmana, ali ne u daljem praćenju bolesti.[62] Akupunktura može biti razuman izbor kod pacijenata s kroničnom boli koji ne reagiraju na druge vrste terapije, kao neinvazivne metode ili lijekove.[1][63] Iako se terapija masažom ne čini posebno učinkovitom u smanjenju akutne boli u donjem dijelu leđa,[1] može pomoći pacijentima sa subkroničnom i kroničnom boli, pogotovo ako se kombinira s fizičkom aktivnošću i edukacijom.[64] Noviji rezultati navode veću učinkovitost pri kombinaciji akupunkture i masaže od tretmana samom masažom.[64]
Proloterapija, tretman injektiranja lijekova u kompromitirane zglobove lumbalnih kralježaka kako bi se izazvala upala i time stimulirao odgovor organizma u smjeru izlječenja, nije se sama po sebi pokazala učinkovitom, ali bi mogla biti od pomoći u asocijaciji s drugom terapijom.[5] Neurorefleksoterapija, pri kojoj se mali komadići metala postavljaju plitko ispod kože uha ili donjih leđa, prividno su učinkoviti u smanjenju boli u leđima i funkcionalnom poboljšanju, iako postoji vrlo malo dokaza tome u prilog.[5][65] Terapija biljem, kao npr. vražjom kandžom i bijelom vrbom može umanjiti broj pojedinaca koji percipiraju visoku razinu boli, međutim za one koji već troše analgetike ova je razlika beznačajna.[5] Capsicum se dokazao učinkovitim i u smanjenju boli i u povećanju funkcionalnosti, kako u obliku gela, tako i u obliku flastera koji sadrži aktivnu tvar.[5]
Behavioralna therapija bi mogla biti učinkovita protiv kronične boli.[66] Postoji više vrsta bihevioralne terapije kondicionirane operatorom, koji koristi pojačanje kako bi umanjio nepoželjno ponašanje i ojačao ono poželjno; kognitivna behavioralna therapija, koja pomaže pacijentu identificirati i ispraviti negativno razmišljanje i ponašanje; i bihevioralna terapija kondicionirana pacijentom, koje modificira pacijentov psihološki odgovor na bol. Bolničko osoblje u pravilu predlaže pacijentu integrirani program različitih bihevioralnih terapija.[5] Dokazi da redukcija stresa temeljena na punoj svjesnosti smanjuje intenzitet kronične boli u križima ili asociranu funkcionalnu ograničenost nisu konačni, iako ova terapija može biti korisna u boljem prihvaćanju postojeće boli.[67]
Prognoza
Prognoza za akutnu bol u donjem djelu leđa je uglavnom pozitivna. Bol i motorička ograničenost se najčešće uvelike poboljša u prih šest tjedana i u potpunosti nestaje u 40 do 90 % slučajeva.[68] U slučajevima kod kojih su simptomi prisutni nakon šest tjedana, poboljšanje je općenito sporije s vrlo malim napretkom u prvoj godini. Kod ogromne većine pacijenata, razina boli i motoričkog ograničenja je mala ili zanemariva nakon prve godine od napadaja akutne boli.[68] Određeni psihološki problemi, kao npr. psihološki stres, depresija ili nezadovoljstvo gubitkom posla mogu produljiti trajanje boli u leđima.[4] U više od polovice slučajeva križobolje, nakon prve epizode dolazi do ponovljenih epizoda boli u narednim godinama.[2]
Kod perzistentne boli u leđima, kratkoročni ishod je također pozitivan, s bitnim poboljšanjem u prvih šest tjedana, ali vrlo malim poboljšanjem nakon ovog toga. Nakon godine dana, pacijenti s kroničnom boli najčešće i dalje pate od umjerene boli i motoričkog ograničenja.[68] Osobe s većim rizikom od kroničnih posljedica križobolje su one s negativnim pristupom prema bolesti i lošom sposobnošću prihvaćanja boli i funkcionalnog ograničenja, osobe koje loše slijede upute medicinskog osoblja i pacijenti sa strahom da će fizička aktivnost ponovo izazvati bol (2,5 veća vjerojatnost negativnog ishoda u prvoj godini),[69], osobe s lošim općim zdravstvenim stanjem ili s bitnim psihološkim i psihijatrijskim poremećajima (Waddellovi znakovi).[69]
Epidemiologija
Bol u donjem dijelu leđa koja traje najmanje jedan dan i ograničava aktivnost pojedinca vrlo je česta tegoba.[32] Oko 40% svjetske populacije je bar jednom u životu imalo križobolju,[32] dok se postotak u razvijenom svijetu penje i do 80%.[70] U svakom trenutku, od 9 do 12 % svih ljudi u svijetu (oko 632 milijuna) trenutno pate od boli u donjem dijelu leđa, a gotovo četvrtina ljudi (23.2%) se žali da je u posljednjih mjesec dana patila od iste boli.[32][71] Prvi simptomi često počinju između 20. i 40. godine života.[1] Najčešće je prisutna u dobi od 40. do 80. godine, s konstantnim trendom povećanja ukupnog broja slučajeva zbog povećanja starosti populacije.[32]
Nejasno je pate li više od boli u leđima žene ili muškarci.[32][71] Pregled studija iz 2012. pokazuje učestalost od 9.6 % među muškarcima i 8,7 % među ženama.[71] Druga studija iz 2012. pokazala je veću učestalost žaljenja na bol u lumbalom dijelu među ženama u odnosu na muškarce, što bi moglo biti posljedica česte asocirane boli od osteoporoze, krivo interpretirane boli vezane za menstrualne tegobe i bol u leđima od trudnoće, kao i opće tendencije izbjegavanja traženja lječničke pomoći od muškaraca u odnosu na žene.[32] Procjenjuje se da 70 % žena pate od križobolje za vrijeme trudnoće s povećanjem učestalosti s napretkom trudnoće.[72] Pušači, pogotovo adolescenti, imaju veću vjerojatnost pojave boli u leđima od bivših pušača, koji pak imaju veću vjerojatnost pojave boli u leđima od osoba koje su oduvijek bili nepušači.[73]
Povijest

Bol u donjem dijelu leđa je kod čovjeka bila prisutna najmanje od brončanog doba. Najstariji poznati traktat o kirurgiji, Edwin Smithov papirus, procijenjen na oko 1500. pr. Kr. opisuje dijagnostički postupak i terapiju za iščašenje kralježaka. Hipokrat je bio prvi koji je upotrebljavao pojam križobolja, dok ju je Galen detaljnije opisao. Tijekom prvog tisućljeća nove ere, liječnici su izbjegavali bilo kakav pokušaj kirurškog postupka i preporučivali su samo kontrolu kroz vrijeme. Tijekom srednjeg vijeka, narodni su liječnici temeljili terapijske postupke boli u leđima na vjerovanju da je ona izazvana utjecajem duhova.[74]
Početkom 20. stoljeća, liječnici su vjerovali da je križobolja izazvana upalom ili oštećenjem živaca,[74] tako da je pojam neuralgija ili neuritis spominje kao najčešća dijagnoza u medicinskoj literaturi onog doba.[75] Popularnost ovog navodnog uzroka počela je opadati kroz cijelo 20 stoljeće.[75] U ranom 20. stoljeću, američki neurokirurg Harvey Williams Cushing povećava prihvaćenost kirurških tretmana za bol u leđima.[54] Tijekom 1920-ih i 1930-ih, javljaju se nove teorije o nastanku ove tegobe. Liječnici su tvrdili da je to kombinacija psiholoških bolesti s patologijama živčanog sustava, kao neurastenije (živčane slabosti) i ženske histerije.[74] Mišićna reuma, danas poznata kao fibromijalgija, je također sve više citirana kao uzrok križobolje.[75]
Nove tehnologije u medicini, kao otkriće rendgenskih zraka omogućili su liječnicima nove i preciznije dijagnostičke postupke, stavljajući u prvi plan patološke promjene na intervertebralnim diskovima kao glavne razloge bolova u leđima. Godine 1938., ortopedski kirurg Joseph S. Barr izvjestio je o slučajevima poboljšanja ili nestanka križobolje kirurškim zahvatom na krelježnici.[75] Kao rezultat ovog pionirskog tretmana, tijekom 1940-ih, model patologije intervertebralnih diskova postaje prevladavajuć,[74] te dominira medicinskom literaturom kroz cijele 1980-te, dodatno potpomognut novim dokazima dobivenih razvojem dijagnostičkih tehnika CT i MRI.[75] Ovaj je model djelomično izgubio na važnosti nakon što su istraživanja dokazala da je patologija diskova relativno rijetki uzrok boli. Od tada su liječnici shvatili da je manje vjerojatno da se specifični uzrok križobolje može identificirati kod većine slučajeva, te propituju smislenost ispitivanja spacifičnog uzroka, jer u većini slučajeva bol prolazi sama od sebe unutar šest do dvanaest tjedana, neovisno o terapijskom postupku.[74]
Društvo i kultura
Bol u donjem dijelu leđa uzrokuje velike gospodarske gubitke. U Sjedinjenim Američkim Državama ona je jedan od najčešćih uzroka boli kod odraslih osoba, što ima za posljedicu gubitak velikog broja radnih dana i najčešća je tegoba mišičnog i koštanog sustava zbog koje se osobe obraćaju odjelima hitne pomoći.[6] Procijenjeno je da je u 1998. godini, utrošeno 90 milijardi USD u troškove liječenja križobolje, a 5 % pacijenata je podnijelo većinu (75 %) ukupnih troškova.[6] Između 1990. i 2001. u SAD-u se izvelo dvostruko više kirurških zahvata spinalne fuzije, usprkos činjenici da nije bilo promjena u indikaciji za kirurški zahvat, niti novih dokaza o učinkovitosti njegove primjene.[31] Dodatni se troškovi javljaju u obliku izgubljenih prihoda i produktivnosti, s križoboljom odgovornom za 40% svih izgubljenih radnih dana u Sjedinjenim Američkim državama.[76] Križobolja uzrokuje veći postotak radne nesposobnosti kod radne snage u Kanadi, Ujedinjenom Kraljevstvu, Nizozemskoj i Švedskoj, nego u SAD-u i Njemačkoj.[76]
Istraživanje
Intervertebralna artroplastika diska je eksperimentalna opcija,[15] ali ne postoje značajniji dokazi da je učinkovitija u odnosu na lumbalnu fuziju.[54] Znanstvenici istražuju mogućnost induciranja ponovnog rasta intervertebralnih struktura putem injektiranja ljudskih faktora rasta, implantiranih tvari, stanične terapije, i inženjering tkivainženjeringa tkiva.[15]
Literatura
- ↑ 1,00 1,01 1,02 1,03 1,04 1,05 1,06 1,07 1,08 1,09 1,10 1,11 1,12 1,13 Casazza, BA (15. veljače 2012). "Diagnosis and treatment of acute low back pain". American family physician svezak 85 (broj 4): str. 343. – 350.. PMID 22335313
- ↑ 2,0 2,1 Stanton, TR; Latimer, J; Maher, CG; Hancock, MJ (Travnja 2010). "How do we define the condition 'recurrent low back pain'? A systematic review.". European spine journal : official publication of the European Spine Society, the European Spinal Deformity Society, and the European Section of the Cervical Spine Research Society svezak 19 (broj 4): str. 533. –539.. doi:10.1007/s00586-009-1214-3. PMID 19921522
- ↑ Kelly GA, Blake C, Power CK, O'keeffe D, Fullen BM (veljača 2011.). "The association between chronic low back pain and sleep: a systematic review". Clin J Pain svezak 27 (broj 2): str. 169. – 181.. doi:10.1097/AJP.0b013e3181f3bdd5. PMID 20842008
- ↑ 4,00 4,01 4,02 4,03 4,04 4,05 4,06 4,07 4,08 4,09 Miller SM (rujan 2012.). "Low back pain: pharmacologic management". Prim. Care svezak 39 (broj 3): str. 499–510. doi:10.1016/j.pop.2012.06.005. PMID 22958559
- ↑ 5,0 5,1 5,2 5,3 5,4 5,5 5,6 Marlowe D (rujna 2012.). "Complementary and alternative medicine treatments for low back pain". Prim. Care svezak 39 (broj 3): str. 533. – 546.. doi:10.1016/j.pop.2012.06.008. PMID 22958563
- ↑ 6,0 6,1 6,2 6,3 6,4 6,5 Borczuk, Pierre (srpanj 2013.). "An Evidence-Based Approach to the Evaluation and Treatment of Low Back Pin in the Emergency Department". Emergency Medicine Practice svezak 15 (broj 7). http://www.ebmedicine.net/topics.php?paction=showTopic&topic_id=371
- ↑ 7,0 7,1 "Low Back Pain Fact Sheet". National Institute of Neurological Disorders and Stroke. National Institute of Health. http://www.ninds.nih.gov/disorders/backpain/detail_backpain.htm Pristupljeno 12. srpnja 2013.
- ↑ 8,00 8,01 8,02 8,03 8,04 8,05 8,06 8,07 8,08 8,09 8,10 8,11 8,12 8,13 8,14 8,15 8,16 8,17 8,18 8,19 Manusov EG (rujan 2012.). "Evaluation and diagnosis of low back pain". Prim. Care svezak 39 (broj 3): str. 471. – 479.. doi:10.1016/j.pop.2012.06.003. PMID 22958556
- ↑ "Fast Facts About Back Pain". National Institute of Health. rujan 2009.. http://www.niams.nih.gov/Health_Info/Back_Pain/back_pain_ff.asp#b Pristupljeno 10. lipnja 2013.
- ↑ "Low back pain – acute". U.S. Department of Health and Human Services – National Institutes of Health. http://www.nlm.nih.gov/medlineplus/ency/article/007425.htm Pristupljeno 1. travnja 2013.
- ↑ Majchrzycki M, Mrozikiewicz PM, Kocur P, et al. (studeni 2010.). "[Low back pain in pregnant women]" (Polish). Ginekol. Pol. svezak 81 (broj 11): str. 851. – 855.. PMID 21365902
- ↑ Floyd, R., & Thompson, Clem. (2008). Manual of structural kinesiology. New York, NY: McGraw-Hill Humanities/Social Sciences/Languages.
- ↑ 13,0 13,1 13,2 13,3 Salzberg L (rujan 2012.). "The physiology of low back pain". Prim. Care svezak 39 (broj 3): str. 487. – 498.. doi:10.1016/j.pop.2012.06.014. PMID 22958558
- ↑ 14,0 14,1 14,2 Freedman MD, Woodham MA, Woodham AW (ožujak 2010.). "The role of the lumbar multifidus in chronic low back pain: a review.". PM & R: the journal of injury, function, and rehabilitation svezak 2 (broj 2): str. 142. – 146.. doi:10.1016/j.pmrj.2009.11.006. PMID 20193941
- ↑ 15,0 15,1 15,2 15,3 15,4 15,5 15,6 Hughes SP, Freemont AJ, Hukins DW, McGregor AH, Roberts S (listopad 2012.). "The pathogenesis of degeneration of the intervertebral disc and emerging therapies in the management of back pain". J Bone Joint Surg Br svezak 94 (broj 10): str. 1298. – 1304.. doi:10.1302/0301-620X.94B10.28986. PMID 23015552. Inačica izvorne stranice arhivirana 4. listopada 2013.. http://www.boneandjoint.org.uk/highwire/filestream/61400/field_highwire_article_pdf/0/1298.full-text.pdf Pristupljeno 26. travnja 2014.
- ↑ Lua error in Modul:Citation/CS1 at line 4096: data for mw.loadData contains unsupported data type 'function'.
- ↑ 17,0 17,1 17,2 17,3 17,4 17,5 Koes, BW; van Tulder, M; Lin, CW; Macedo, LG; McAuley, J; Maher, C (prosinac 2010.). "An updated overview of clinical guidelines for the management of non-specific low back pain in primary care.". European Spine Journal svezak 19 (broj 12): str. 2075. – 2094.. doi:10.1007/s00586-010-1502-y. PMID 20602122
- ↑ 18,0 18,1 18,2 Cohen SP, Argoff CE, Carragee EJ (2008.). "Management of low back pain". BMJ svezak 337 (broj): str. a2718. PMID 19103627
- ↑ Davis PC, Wippold II FJ, Cornelius RS, et al. (2011). American College of Radiology ACR Appropriateness Criteria – Low Back Pain. Inačica izvorne stranice arhivirana 4. srpnja 2012.. http://www.acr.org/~/media/ACR/Documents/AppCriteria/Diagnostic/LowBackPain.pdf Pristupljeno 26. travnja 2014.
- ↑ Williams CM, Henschke N, Maher CG, et al. (2013.). "Red flags to screen for vertebral fracture in patients presenting with low-back pain". Cochrane Database of Systematic Reviews svezak 1 (broj): str. CD008643.. doi:10.1002/14651858.CD008643.pub2. PMID 23440831
- ↑ Henschke N, Maher CG, Ostelo RW, de Vet HC, Macaskill P, Irwig L (2013.). "Red flags to screen for malignancy in patients with low-back pain". Cochrane Database of Systematic Reviews svezak 2: str. CD008686.. doi:10.1002/14651858.CD008686.pub2. PMID 23450586
- ↑ 22,0 22,1 22,2 Downie, A.; Williams, C. M.; Henschke, N.; Hancock, M. J.; Ostelo, R. W. J. G.; de Vet, H. C. W.; Macaskill, P.; Irwig, L.; van Tulder, M. W.; Koes, B. W.; Maher, C. G. (11. prosinca 2013.). "Red flags to screen for malignancy and fracture in patients with low back pain: systematic review". BMJ svezak 347 (broj dec111): str. f7095. – f7095.. doi:10.1136/bmj.f7095. PMID 24335669
- ↑ Manchikanti L, Glaser SE, Wolfer L, Derby R, Cohen SP (2009.). "Systematic review of lumbar discography as a diagnostic test for chronic low back pain". Pain Physician svezak 12 (broj 3): str. 541. – 159.. PMID 19461822. Inačica izvorne stranice arhivirana 5. listopada 2013.. http://www.painphysicianjournal.com/linkout_vw.php?issn=1533-3159&vol=12&page=541 Pristupljeno 26. travnja 2014.
- ↑ 24,0 24,1 24,2 24,3 Use of imaging studies for low back pain: percentage of members with a primary diagnosis of low back pain who did not have an imaging study (plain x-ray, MRI, CT scan) within 28 days of the diagnosis. Agency for Healthcare Research and Quality. 2013.. Inačica izvorne stranice arhivirana 4. listopada 2013.. http://www.qualitymeasures.ahrq.gov/content.aspx?id=38884 Pristupljeno 11. lipnja 2013.
- ↑ 25,0 25,1 American Academy of Family Physicians. "Ten Things Physicians and Patients Should Question". Choosing Wisely: an initiative of the ABIM Foundation (American Academy of Family Physicians). http://www.choosingwisely.org/doctor-patient-lists/american-academy-of-family-physicians/ Pristupljeno 5 rujna 2012.
- ↑ 26,0 26,1 American College of Physicians. "Five Things Physicians and Patients Should Question". Choosing Wisely: an initiative of theABIM Foundation (American College of Physicians). http://www.choosingwisely.org/doctor-patient-lists/american-college-of-physicians/ Pristupljeno 5. rujna 2013.
- ↑ Chou, R; Fu, R, Carrino, JA, Deyo, RA (7. veljače 2009.). "Imaging strategies for low-back pain: systematic review and meta-analysis.". Lancet svezak 373 (broj 9662): str. 463. – 472.. doi:10.1016/S0140-6736(09)60172-0. PMID 19200918
- ↑ Crownover BK, Bepko JL (travnja 2013.). "Appropriate and safe use of diagnostic imaging". Am Fam Physician svezak 87 (broj 7): str. 494. – 501.. PMID 23547591
- ↑ 29,0 29,1 Chou, R; Qaseem, A, Owens, DK, Shekelle, P, Clinical Guidelines Committee of the American College of, Physicians (1. veljače 2011.). "Diagnostic imaging for low back pain: advice for high-value health care from the American College of Physicians". Annals of Internal Medicine svezak 154 (broj 3): str. 181. – 189.. doi:10.1059/0003-4819-154-3-201102010-00008. PMID 21282698
- ↑ Flynn TW, Smith B, Chou R (studeni 2011.). "Appropriate use of diagnostic imaging in low back pain: a reminder that unnecessary imaging svibnja do as much harm as good". J Orthop Sports Phys Ther svezak 41 (broj 11): str. 838. – 846.. doi:10.2519/jospt.2011.3618. PMID 21642763
- ↑ 31,0 31,1 31,2 Deyo, RA; Mirza, SK; Turner, JA; Martin, BI (2009.). "Overtreating Chronic Back Pain: Time to Back Off?". Journal of the American Board of Family Medicine: JABFM svezak 22 (broj 1): str. 62. –68.. doi:10.3122/jabfm.2009.01.080102. PMC 2729142. PMID 19124635. //www.ncbi.nlm.nih.gov/pmc/articles/PMC2729142/
- ↑ 32,0 32,1 32,2 32,3 32,4 32,5 32,6 Hoy D, Bain C, Williams G, et al. (lipanj 2012.). "A systematic review of the global prevalence of low back pain". Arthritis Rheum. svezak 64 (broj 6): str. 2028. – 2037.. doi:10.1002/art.34347. PMID 22231424
- ↑ 33,0 33,1 Choi BK, Verbeek JH, Tam WW, Jiang JY (2010.). Choi, Brian KL. ed. "Exercises for prevention of recurrences of low-back pain". Cochrane Database of Systematic Reviews svezak (broj 1): str. CD006555.. doi:10.1002/14651858.CD006555.pub2. PMID 20091596
- ↑ Chou R, Qaseem A, Snow V, et al. (listopad 2007.). "Diagnosis and treatment of low back pain: a joint clinical practice guideline from the American College of Physicians and the American Pain Society". Annals of Internal Medicine svezak 147 (broj 7): str. 478. – 491.. doi:10.7326/0003-4819-147-7-200710020-00006. PMID 17909209
- ↑ 35,0 35,1 35,2 Guild DG (rujan 2012.). "Mechanical therapy for low back pain". Prim. Care svezak 39 (broj 3): str. 511. – 516.. doi:10.1016/j.pop.2012.06.006. PMID 22958560
- ↑ 36,0 36,1 Sahar T, Cohen MJ, Uval-Ne'eman V, et al. (travanj 2009.). "Insoles for prevention and treatment of back pain: a systematic review within the framework of the Cochrane Collaboration Back Review Group". Spine svezak 34 (broj 9): str. 924. – 933.. doi:10.1097/BRS.0b013e31819f29be. PMID 19359999
- ↑ Sprouse R (rujan 2012.). "Treatment: current treatment recommendations for acute and chronic undifferentiated low back pain". Prim. Care svezak 39 (broj 3): str. 481. – 486.. doi:10.1016/j.pop.2012.06.004. PMID 22958557
- ↑ Momsen AM, Rasmussen JO, Nielsen CV, Iversen MD, Lund H (studeni 2012.). "Multidisciplinary team care in rehabilitation: an overview of reviews". J Rehabil Med svezak 44 (broj 11): str. 901. – 912.. doi:10.2340/16501977-1040. PMID 23026978. http://www.medicaljournals.se/jrm/content/?doi=10.2340/16501977-1040
- ↑ Hendrick P, Milosavljevic S, Hale L,et al. (ožujak 2011.). "The relationship between physical activity and low back pain outcomes: a systematic review of observational studies". Eur Spine J svezak 20 (broj 3): str. 464. – 474.. doi:10.1007/s00586-010-1616-2. PMC 3048226. PMID 21053026. //www.ncbi.nlm.nih.gov/pmc/articles/PMC3048226/
- ↑ Hendrick P, Te Wake AM, Tikkisetty AS, Wulff L, Yap C, Milosavljevic S (listopad 2010.). "The effectiveness of walking as an intervention for low back pain: a systematic review". Eur Spine J svezak 19 (broj 10): str. 1613–20. doi:10.1007/s00586-010-1412-z. PMC 2989236. PMID 20414688. //www.ncbi.nlm.nih.gov/pmc/articles/PMC2989236/
- ↑ French, SD.; Cameron, M.; Walker, BF.; Reggars, JW.; Esterman, AJ. (2006.). "Superficial heat or cold for low back pain.". Cochrane Database of Systematic Reviews (1): CD004750.. doi:10.1002/14651858.CD004750.pub2. PMID 16437495
- ↑ 42,0 42,1 van Middelkoop M, Rubinstein SM, Kuijpers T, Verhagen AP, Ostelo R, Koes BW, van Tulder MW (2011.). "A systematic review on the effectiveness of physical and rehabilitation interventions for chronic non-specific low back pain". Eur Spine J svezak 20 (broj 1): str. 19. – 39.. doi:10.1007/s00586-010-1518-3. PMC 3036018. PMID 20640863. //www.ncbi.nlm.nih.gov/pmc/articles/PMC3036018/
- ↑ Seco J, Kovacs FM, Urrutia G (listopad 2011.). "The efficacy, safety, effectiveness, and cost-effectiveness of ultrasound and shock wave therapies for low back pain: a systematic review". Spine J svezak 11 (broj 10): str. 966. – 977.. doi:10.1016/j.spinee.2011.02.002. PMID 21482199
- ↑ Smith C, Grimmer-Somers K. (2010.). "The treatment effect of exercise programmes for chronic low back pain". J Eval Clin Pract svezak 16 (broj 3): str. 484. – 491.. doi:10.1111/j.1365-2753.2009.01174.x. PMID 20438611
- ↑ van Middelkoop M, Rubinstein SM, Verhagen AP, Ostelo RW, Koes BW, van Tulder MW (2010.). "Exercise therapy for chronic nonspecific low-back pain". Best Pract Res Clin Rheumatol svezak 24 (broj 2): str. 193. – 204.. doi:10.1016/j.berh.2010.01.002. PMID 20227641
- ↑ Woodman, JP; Moore, NR (Siječnja 2012). "Evidence for the effectiveness of Alexander Technique lessons in medical and health-related conditions: a systematic review.". International journal of clinical practice svezak 66 (broj 1): str. 98. – 112.. doi:10.1111/j.1742-1241.2011.02817.x. PMID 22171910
- ↑ Posadzki, P; Ernst, E (rujan 2011.). "Yoga for low back pain: a systematic review of randomized clinical trials.". Clinical rheumatology svezak 30 (broj 9): str. 1257. – 1262.. doi:10.1007/s10067-011-1764-8. PMID 21590293
- ↑ Dubinsky, R. M.; Miyasaki, J. (2009.). "Assessment: Efficacy of transcutaneous electric nerve stimulation in the treatment of pain in neurologic disorders (an evidence-based review): Report of the Therapeutics and Technology Assessment Subcommittee of the American Academy of Neurology". Neurology svezak 74 (broj 2): str. 173. – 176.. doi:10.1212/WNL.0b013e3181c918fc. PMID 20042705
- ↑ Nizard J, Raoul S, Nguyen JP, Lefaucheur JP (listopad 2012.). "Invasive stimulation therapies for the treatment of refractory pain". Discov Med svezak 14 (broj 77): str. 237. – 246.. PMID 23114579
- ↑ Coxib and traditional NSAID Trialists' (CNT), Collaboration; Bhala, N; Emberson, J; Merhi, A; Abramson, S; Arber, N; Baron, JA; Bombardier, C; Cannon, C; Farkouh, ME; FitzGerald, GA; Goss, P; Halls, H; Hawk, E; Hawkey, C; Hennekens, C; Hochberg, M; Holland, LE; Kearney, PM; Laine, L; Lanas, A; Lance, P; Laupacis, A; Oates, J; Patrono, C; Schnitzer, TJ; Solomon, S; Tugwell, P; Wilson, K; Wittes, J; Baigent, C (31. kolovoz 2013.). "Vascular and upper gastrointestinal effects of non-steroidal anti-inflammatory drugs: meta-analyses of individual participant data from randomised trials.". Lancet svezak 382 (broj 9894.): str. 769. – 779.. doi:10.1016/S0140-6736(13)60900-9. PMID 23726390
- ↑ de Leon-Casasola OA (ožujak 2013.). "Opioids for chronic pain: new evidence, new strategies, safe prescribing". Am. J. Med. svezak 126 (broj 3 dodatak 1): str. S3. – S11.. doi:10.1016/j.amjmed.2012.11.011. PMID 23414718
- ↑ Chou R, Loeser JD, Owens DK, Rosenquist RW, Atlas SJ, Baisden J, Carragee EJ, Grabois M, Murphy DR, Resnick DK, Stanos SP, Shaffer WO, Wall EM; American Pain Society Low Back Pain Guideline Panel (2009.). "Interventional therapies, surgery, and interdisciplinary rehabilitation for low back pain: An evidence-based clinical practice guideline from the American Pain Society". Spine svezak 34 (broj 10): str. 1066. – 1077.. doi:10.1097/BRS.0b013e3181a1390d. PMID 19363457
- ↑ Pinto, RZ; Maher, CG; Ferreira, ML; Hancock, M; Oliveira, VC; McLachlan, AJ; Koes, B; Ferreira, PH (18. prosinca 2012.). "Epidural corticosteroid injections in the management of sciatica: a systematic review and meta-analysis.". Annals of Internal Medicine svezak 157 (broj 12): str. 865. – 877.. PMID 23362516
- ↑ 54,00 54,01 54,02 54,03 54,04 54,05 54,06 54,07 54,08 54,09 54,10 Manusov, EG (Rujna 2012). "Surgical treatment of low back pain.". Primary care svezak 39 (broj 3): str. 525. – 531.. doi:10.1016/j.pop.2012.06.010. PMID 22958562
- ↑ 55,0 55,1 55,2 Chou R, Baisden J, Carragee EJ, Resnick DK, Shaffer WO, Loeser JD (svibnja 2009.). "Surgery for low back pain: a review of the evidence for an American Pain Society Clinical Practice Guideline". Spine svezak 34 (broj 10): str. 1094. – 1109.. doi:10.1097/BRS.0b013e3181a105fc. PMID 19363455
- ↑ Lee, CS; Hwang, CJ; Lee, DH; Kim, YT; Lee, HS (ožujka 2011.). "Fusion rates of instrumented lumbar spinal arthrodesis according to surgical approach: a systematic review of randomized trials.". Clinics in orthopedic surgery svezak 3 (broj 1): str. 39. – 47.. doi:10.4055/cios.2011.3.1.39. PMID 21369477
- ↑ Walker, BF; French, SD, Grant, W, Green, S (1. veljače 2011.). "A Cochrane review of combined chiropractic interventions for low-back pain". Spine svezak 36 (broj 3): str. 230. – 242.. doi:10.1097/BRS.0b013e318202ac73. PMID 21248591
- ↑ Dagenais, S; Gay, RE; Tricco, AC; Freeman, MD; Svibnjaer, JM (2010.). "NASS Contemporary Concepts in Spine Care: spinal manipulation therapy for acute low back pain". The spine journal: official journal of the North American Spine Society svezak 10 (broj 10): str. 918. – 940.. doi:10.1016/j.spinee.2010.07.389. PMID 20869008
- ↑ Rubinstein SM, van Middelkoop M, Assendelft WJ, de Boer MR, van Tulder MW (2011.). Rubinstein, Sidney M. ed. "Spinal manipulative therapy for chronic low-back pain". Cochrane Database of Systematic Reviews svezak (broj 2): str. CD008112.. doi:10.1002/14651858.CD008112.pub2. PMID 21328304. Inačica izvorne stranice arhivirana 9. lipnja 2013.. http://onlinelibrary.wiley.com/doi/10.1002/14651858.CD008112.pub2/abstract Pristupljeno 26. travnja 2014.
- ↑ Rubinstein, SM; Terwee, CB; Assendelft, WJ; de Boer, MR; van Tulder, MW (12. rujna 2012.). "Spinal manipulative therapy for acute low-back pain.". Cochrane Database of Systematic Reviews svezak 9: str. CD008880.. doi:10.1002/14651858.CD008880.pub2. PMID 22972127
- ↑ Dagenais, S; Mayer, J; Wooley, J; Haldeman, S (2008.). "Evidence-informed management of chronic low back pain with medicine-assisted manipulation". The Spine Journal svezak 8 (broj 1): str. 142. –149.. doi:10.1016/j.spinee.2007.09.010. PMID 18164462
- ↑ 62,0 62,1 62,2 Furlan AD, Yazdi F, Tsertsvadze A, Gross A, Van Tulder M, Santaguida L, Gagnier J, Ammendolia C, Dryden T, Doucette S, Skidmore B, Daniel R, Ostermann T, Tsouros S (2012.). "A systematic review and meta-analysis of efficacy, cost-effectiveness, and safety of selected complementary and alternative medicine for neck and low-back pain". Evidence-based complementary and alternative medicine svezak 2012: str. 953139.. doi:10.1155/2012/953139. PMID 22203884
- ↑ Lin CW, Haas M, Maher CG, Machado LA, van Tulder MW (Srpnja 2011). "Cost-effectiveness of guideline-endorsed treatments for low back pain: a systematic review". Eur Spine J svezak 20 (broj 7): str. 1024–38. doi:10.1007/s00586-010-1676-3. PMC 3176706. PMID 21229367. //www.ncbi.nlm.nih.gov/pmc/articles/PMC3176706/
- ↑ 64,0 64,1 Furlan AD, Imamura M, Dryden T, Irvin E (2008). "Massage for low-back pain". Cochrane Database of Systematic Reviews (broj 4): str. CD001929.. doi:10.1002/14651858.CD001929.pub2. PMID 18843627
- ↑ Urrútia G, Burton K, Morral A, Bonfill X, Zanoli G (ožujak 2005.). "Neuroreflexotherapy for nonspecific low back pain: a systematic review". Spine svezak 30 (broj 6): str. E148–53. PMID 15770167
- ↑ Henschke N, Ostelo RW, van Tulder MW, et al. (2010.). "Behavioural treatment for chronic low-back pain". Cochrane Database of Systematic Reviews svezak (broj 7): str. CD002014.. doi:10.1002/14651858.CD002014.pub3. PMID 20614428
- ↑ Cramer H, Haller H, Lauche R, Dobos G (2012.). "Mindfulness-based stress reduction for low back pain. A systematic review". BMC Complement Altern Med svezak 12 (broj): str. 162. doi:10.1186/1472-6882-12-162. PMC 3520871. PMID 23009599. //www.ncbi.nlm.nih.gov/pmc/articles/PMC3520871/
- ↑ 68,0 68,1 68,2 Menezes Costa Lda, C; Maher, CG; Hancock, MJ; McAuley, JH; Herbert, RD; Costa, LO (7. kolovoza 2012.). "The prognosis of acute and persistent low-back pain: a meta-analysis.". CMAJ : Canadian Medical Association journal = journal de l'Association medicale canadienne svezak 184 (broj 11): str. E613. -E624.. doi:10.1503/cmaj.111271. PMC 3414626. PMID 22586331. //www.ncbi.nlm.nih.gov/pmc/articles/PMC3414626/
- ↑ 69,0 69,1 Chou, R; Shekelle, P (2010.). "Will this patient develop persistent disabling low back pain?". JAMA: the Journal of the American Medical Association svezak 303 (broj 13): str. 1295. –1302.. doi:10.1001/jama.2010.344. PMID 20371789
- ↑ Lua error in Modul:Citation/CS1 at line 4096: data for mw.loadData contains unsupported data type 'function'.
- ↑ 71,0 71,1 71,2 Vos, T (15. prosinca 2012.). "Years lived with disability (YLDs) for 1160 sequelae of 289 diseases and injuries 1990–2010: a systematic analysis for the Global Burden of Disease Study 2010.". Lancet svezak 380 (broj 9859.): str. 2163. – 2196.. doi:10.1016/S0140-6736(12)61729-2. PMID 23245607
- ↑ Lua error in Modul:Citation/CS1 at line 4096: data for mw.loadData contains unsupported data type 'function'.
- ↑ Shiri R, Karppinen J, Leino-Arjas P, Solovieva S, Viikari-Juntura E (siječnja 2010.). "The association between smoking and low back pain: a meta-analysis". Am. J. Med. svezak 123 (broj 1). doi:10.1016/j.amjmed.2009.05.028. PMID 20102998
- ↑ 74,0 74,1 74,2 74,3 74,4 Maharty DC (rujan 2012.). "The history of lower back pain: a look "back" through the centuries". Prim. Care svezak 39 (broj 3): str. 463. – 470.. doi:10.1016/j.pop.2012.06.002. PMID 22958555
- ↑ 75,0 75,1 75,2 75,3 75,4 Lutz GK, Butzlaff M, Schultz-Venrath U (kolovoz 2003.). "Looking back on back pain: trial and error of diagnoses in the 20th century". Spine svezak 28 (broj 16): str. 1899. – 1905.. doi:10.1097/01.BRS.0000083365.41261.CF. PMID 12923482
- ↑ 76,0 76,1 Manchikanti L, Singh V, Datta S, Cohen SP, Hirsch JA, ASIPP (2009.). "Comprehensive review of epidemiology, scope, and impact of spinal pain". Pain Physician svezak 12 (broj 4): str. E35. – E70.. PMID 19668291
| Molimo pročitajte upozorenje o korištenju medicinskih informacija. Ne provodite liječenje bez konzultiranja liječnika! |