Posteljica

Izvor: Hrvatska internetska enciklopedija
Inačica 363410 od 6. prosinac 2021. u 05:17 koju je unio WikiSysop (razgovor | doprinosi) (Bot: Automatska zamjena teksta (-{{cite news +{{Citiranje novina))
Prijeđi na navigaciju Prijeđi na pretraživanje
Datoteka:Human placenta baby side.jpg
čovječja posteljica s pupčanom vrpcom neposredno nakon porođaja

Posteljica, placenta ili plodva (lat. placenta: kolač, od grč. πλαϰοῦς: ravan kolač, od πλάξ: ploča), organ koji povezuje plod sa zidom maternice radi opskrbe hranjivim tvarima, izbacivanja štetnih tvari i izmjene plinova. Posteljica je glavna značajka viših sisavaca ili plodvaša (Placentalia), ali postoji i kod nekih životinja koje nisu sisavci uopće.[1]

Riječ placenta dolazi od latinske riječi za kolač, nastale od grčkog plakóenta/plakoúnta, tj. akuzativa od πλακόεις, πλακούς, plakóeis/plakoús: "ravan, nalik ploči",[2] zbog njezine okrugle i ravne pojave kod ljudi.

Prasisavci (nose jaja) i tobolčari stvaraju strukturu placenta choriovitellina koja, dok je povezana s materničnim zidom, opskrbljuje plod hranjivim tvarima iz žumanjčane vreće.

Posteljicu kao fetomaternalni organ čine dvije komponente: fetusni dio posteljice (placenta fetalis, odn. chorion frondosum), koji se razvija iz iste blastociste koja oblikuje plod, i majčin dio posteljice (placenta materna, odn. decidua basalis), koja se razvija iz majčina materničnog tkiva.[3]

Struktura

Kod čovjeka je posteljica u prosjeku duga 22 centimetra i debela 2–2,5 centimetra, s tim da je središnji dio najdeblji, a rubovi su najtanji. U prosjeku je teška 0,5 kilograma. Boja joj je crvenkasto-plava ili tamnocrvena. Povezana je s plodom preko pupčane vrpce duge u prosjeku 55-60 centimetara, koja sadrži dvije pupčane arterije i jednu pupčanu venu.[4] Pupčana vrpca ulazi u korionsku ploču. Žile se granaju preko površine posteljice i dalje se dijele oblikujući mrežu prekrivenu tankim slojem stanica. Kod ljudi posteljica najčešće ima oblik diska, ali veličina posteljice varira među različitim vrstama sisavaca.[5]

Razvoj

Datoteka:HumanEmbryogenesis hr.svg
Početni stadiji humane embriogeneze.

Posteljica se počinje razvijati nakon implantacije blastociste u endometrij maternice. Vanjski sloj blastociste pretvara se u trofoblast, koji sačinjava vanjski sloj posteljice. Ovaj vanjski sloj dalje se dijeli na dva sloja: citotrofoblast i sinciciotrofoblast. Sinciciotrofoblast (inače poznat i kao sincicij) sloj je polinuklearnih stanica koje pokrivaju površinu posteljice. Nastaje kao rezultat diferencijacije i spajanja citotrofoblasta, procesom koji se nastavlja i tijekom daljnjeg razvoja posteljice.

Posteljica raste tijekom trudnoće. Krajem prvog tromjesečja trudnoće (otprilike 12-13 tjedana) prijenos majčine krvi u djetetov krvotok u potpunosti je razvijen.

Placentarni krvotok

Datoteka:Gray39.png
Majčina krv ispunjava međuresični prostor; hranjive tvari, voda i plinovi aktivno se i pasivno izmjenjuju.

Majčin placentarni krvotok

U pripremi za implantaciju blastociste endometrij prolazi kroz proces "decidualizacije". Spiralne arterije u decidui postaju manje savijene i promjer im se povećava. Povećani promjer arterija i ravniji tok krvi javljaju se da bi povećali protok majčine krvi u posteljicu. Javlja se relativno visok tlak dok majčina krv ispunjava međuresični prostor i korionske resice se prokrvljuju, dopuštajući održavanje izmjene plinova. Kod ljudi i drugih hemokorijalnih plodvaša, majčina krv dolazi u izravan kontakt s fetalnim korionom, iako nema razmjene tekućine. Dok se tlak smanjuje između pulseva, deoksigenirana krv vraća se natrag kroz endometrijske vene.

Kroz majčin placentarni krvotok u prosjeku protječe 600-700 mL/min.

Fetoplacentarni krvotok

Deoksigenirana fetalna krv prolazi kroz pupčane arterije do posteljice. Na čvoru pupčane vrpce i na posteljici pupčane arterije granaju se radijalno i formiraju korionske arterije. Nadalje, korionske arterije granaju se u kotiledonske arterije. Na kraju se ove arterije granaju u korionskim resicama u kapilare, dovodeći fetalnu krv jako blizu majčine krvi; ipak, do miješanja majčine i fetalne krvi ("posteljična barijera") ne dolazi.[6]

Endotelini i prostanoidi uzrokuju vazokonstrikciju posteljičnih arterija, dok dušikov monoksid uzrokuje vazodilataciju.

Porođaj posteljice

Porođaj posteljice počinje kao fiziološko razdvajanje od stijenke maternice. Ovaj period naziva se "trećim stadijem porođaja". Posteljica se obično porodi 15-30 minuta nakon djeteta.

Porođaj posteljice može se ostvariti aktivno, npr. davanjem injekcije oksitocina. Naravno, posteljica može izaći i prirodnim putem, bez medicinske pomoći.

Obično se pupčana vrpca prereže neposredno nakon rođenja, ali navodno nema medicinskog razloga za to; prema teoriji, neprerezivanjem pupčane vrpce odmah nakon rođenja pomaže novorođenčetu da se prilagodi izvanmateričnom životu, posebno kod djece rođene prije termina.[7]

Uloge

Ishrana

Ispunjavanje međuresičnih prostora posteljice majčinom krvlju omogućuje prijenos hranjivih tvari i kisika iz majke u plod, kao i prijenos otpadnih tvari i ugljikova dioksida iz djetetove u majčinu krv. Prijenos hranjivih tvari događa se preko procesa aktivnog i pasivnog prijenosa. Aktivni prijenos omogućuje održavanje značajno različitih koncentracija raznih velikih molekula u krvnoj plazmi s obje strane posteljične barijere.[8]

Datoteka:Human Placenta after childbirth.jpg
Čovječja posteljica neposredno nakon rođenja djeteta.

Štetne situacije kod trudnoće, kao što su majčina šećerna bolest ili pretilost, mogu povećati ili smanjiti razinu nosača hranjivih tvari, što dovodi do prevelika ili ograničena rasta ploda.[9]

Izlučivanje

Otpadni proizvodi izlučeni iz fetusa, kao što su ureja, mokraćna kiselina i kreatinin, prenose se u majčinu krv difuzijom preko posteljice.

Imunost

Imunoglobulini G mogu prolaziti kroz čovječju posteljicu, omogućujući zaštitu ploda u maternici.[10] Prijenos antitijela započinje između 20. i 24. tjedna trudnoće.[11] Ovakva pasivna imunost traje nekoliko mjeseci nakon rođenja. Međutim, imunoglobulin M ne može proći kroz posteljicu, što je razlog tome da neke infekcije stečene tijekom trudnoće mogu biti smrtonosne za dijete.

Nadalje, posteljica funkcionira kao selektivna barijera protiv prijenosa mikroorganizama. Međutim, kada posteljica ne obavlja dovoljno dobro ovu funkciju, može doći do vertikalne transmisije uzročnika infektivnih bolesti.

Endokrina uloga

Kod ljudi, osim što služi za opskrbu ploda hranjivim tvarima i kisikom, posteljica iz sincicijskog sloja korionskih resica izlučuje hormone koji su važni za održavanje trudnoće.

  • Humani korionski gonadotropin (hCG) prvi je hormon koji izlučuje posteljica i koji se vrlo rano može naći u majčinoj krvi i mokraći (ubrzo nakon implantacije). Pokazatelj je trudnoće. Ženska krv ne sadrži nimalo ovog hormona tek tjedan ili dva tjedna nakon trudnoće. hCG testiranje koristi se da bi se dokazalo da je cjelokupno tkivo posteljice porođeno. hCG je prisutan u ženskoj krvi samo tijekom trudnoće jer ga samo posteljica može izlučivati.[12]

hCG također osigurava da žuto tijelo (corpus luteum) nastavlja izlučivati progesteron i estrogen. Progesteron je jako važan hormon tijekom trudnoće jer njegovim smanjenim izlučivanjem propada endometrij, a samim time i trudnoća. hCG sprječava reakciju majčina imunološkog sustava, tako da majčin organizam ne odbija posteljicu.

  • Estrogen: doprinosi razvoju mliječnih žlijezda u pripremi za laktaciju i stimulira rast maternice da bi se prilagodila rastućem plodu.
  • Progesteron: nužan za održavanje endometrijskog tkiva maternice tijekom trudnoće. Ovaj hormon sprječava prijevremeni poremećaj smanjivanjem kontrakcija miometrija. Razine su progesterona tijekom trudnoće jako visoke.

Obrana od imunosne reakcije

Posteljica i plod mogu se smatrati stranim tijelima unutar majke i moraju biti zaštićeni od reakcije majčina imunosnog sustava.

Zbog toga se posteljica koristi sljedećim obrambenim mehanizmima:

Druge funkcije

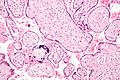
Pogreška pri izradbi sličice:
Mikrograf infekcije citomegalovirusom. Na donjem desnom dijelu slike mogu se vidjeti stanice velikih jezgara karakteristične za ovu infekciju.

Placenta također sadrži određenu količinu rezervne krvi i predaje ju plodu u slučaju hipotenzije ili hipertenzije.

Patologija

Brojni poremećaji mogu nastati kod posteljice:

Infekcije koje djeluju na posteljicu:

Galerija

Više informacija

Izvori

  1. Pough et al. 1992. Herpetology: Third Edition. Pearson Prentice Hall:Pearson Education, Inc., 2002.
  2. Henry George Liddell, Robert Scott, "A Greek-English Lexicon", at Perseus
  3. Definitions of placental- related terms.
  4. Examination of the placenta
  5. Placental Structure and Classification
  6. Placental blood circulation
  7. (Mercier, J.S. & Vohr, B.R. (2010). "Seven-month developmental outcomes of very low bith weight infants enrolled in a randomized controlled trial of delayed versus immediate cord clamping." Journal of Perinatology, 30(1):1.)
  8. • Nepoznat parametar: editors
    • Nepoznat parametar: last1
    • Nepoznat parametar: first1
    • Parametar chapter nije dopušten u klasi book
    • Parametar accessdate nije dopušten u klasi book
  9. • Nepoznat parametar: last1
    • Nepoznat parametar: first1
    • Nepoznat parametar: pmc
    • Parametar type nije dopušten u klasi news
    • Parametar author nije dopušten u klasi news
    • Parametar first2 nije dopušten u klasi news
    • Parametar editor nije dopušten u klasi news
    • Parametar doi nije dopušten u klasi news
    • Parametar year nije dopušten u klasi news
    • Parametar last2 nije dopušten u klasi news
    • Parametar title nije dopušten u klasi news
    • Parametar accessdate nije dopušten u klasi news
  10. Simister, N. E., and Story, C. M. 1997. "Human placental Fc receptors and the transmission of antibodies from mother to fetus." Journal of Reproductive Immunology 37: 1-23
  11. Page 202 u: Pillitteri, Adele (2009) Maternal and Child Health Nursing: Care of the Childbearing and Childrearing Family.
  12. Pillitteri, Adele(2010). Maternal and Child Health Nursing (6th Edition [Philippine Edition]): Lippincott Williams & Wilkins
  13. • Parametar type nije dopušten u klasi news
    • Parametar title nije dopušten u klasi news
    • Parametar date nije dopušten u klasi news
    • Parametar url nije dopušten u klasi news
    • Parametar publisher nije dopušten u klasi news
  14. • Nepoznat parametar: issue
    • Parametar pmid nije dopušten u klasi journal
    • Parametar type nije dopušten u klasi journal
    • Parametar date nije dopušten u klasi journal