Upala crvuljka
| Klasifikacija i vanjske poveznice | |
| MKB-10 | Script error: The function "getExternalValue" does not exist. |
| MKB-10 | Script error: The function "getExternalValue" does not exist. |
| NSK | Script error: The function "getExternalValue" does not exist. |
| PubMed | Script error: The function "getExternalValue" does not exist. (eng.) |
| MeSH | Script error: The function "getExternalValue" does not exist. (eng.) |
| Medscape | Script error: The function "getExternalValue" does not exist. (eng.) |

Upala crvuljka (lat. appendicitis) jedna je od najčešćih bolesti kod koje je potrebno kirurško liječenje. To je upala crvolikog izdanka (lat. appendix vermiformis) na samom početku debelog crijeva (lat. caecum, slijepo crijevo. Laici ovaj crvoliki izdanak pogrješno nazivaju slijepim crijevom. Upala crvuljka je najčešći uzrok akutne boli u abdomenu, tzv. akutnog abdomena. Liječi se kirurškim uklanjanjem crvuljka.
Crvuljak (Appendix vermiformis)
Crvoliki izdanak, crvuljak, jest dio crijeva koji nalikuje prstu na rukavici, a koji se odvaja od debelog crijeva na mjestu neposredno iza tankog crijeva, koje se naziva slijepo crijevo. Može biti dug od 5 mm do 30 cm, pa i više, a promjer mu iznosi od 0,3 - 1 cm. Crvuljak postoji samo kod čovjeka, primata i nekih glodavaca. Prije se smatralo kako je crvuljak zakržljao i suvišan organ, a danas se smatra kako je to posebno oblikovan dio slijepog crijeva s osobitom građom. Sluznica crvuljka sadrži obilje limfatičnog tkiva.
Do upale crvuljka najčešće dolazi u razdoblju života između 10 i 30 godina. Uzrok nije uvijek jasan, no najčešće se prilikom patohistološke pretrage kirurški odstranjenog crvuljka u njegovoj šupljini (lumenu) nalazi začepljenje (opstrukcija) ostatkom hrane, najčešće biljnih vlakana, otvrdnulom stolicom (fekalitom), ili čak parazitom, poput dječje gliste. Ovo začepljenje dovodi do otežanog otjecanja sluzi koju izlučuje sluznica crvuljka, stvarajući pogodno tlo ua razmnožavanje bakterija koje, kao i cijelom crijevu, tamo i normalno postoje. Do upale crvuljka može doći i širenjem drugih upala iz debelog crijeva, poput Crohnove bolesti. U starijih osoba promjer crvuljka se smanjuje i ispunjava masnim tkivom čime se može objasniti znatno niža učestalost upale crvuljka u ove populacije. Postoji nekoliko anatomskih inačica položaja crvuljka. To su: ilijačni, retrocekalni, pelvični i subhepatalni.
Znakovi i simptomi

Glavni simptom upale crvuljka je bol u trbušnoj šupljini, koja tipično započinje u području oko pupka, a potom se širi u donji desni dio (kvadrant) trbušne šupljine. Ova se bol tipično pojačava tijekom 12 do 18 sati, ponekad postajući i nepodnošljiva. koja se pojačava prilikom dodirivanja trbušne stijenke (lat. palpatio). U slučaju retrocekalnog položaja ovaj znak može biti odsutan, jer slijepo crijevo (cekum) napunjen zrakom amortizira tlak. Ako postoji sumnja na upalu, digitorektalnim se pregledom otkriva osjetljivost u rektovezikalnom džepu (recessus rectovesicalis) kad je lokalizacija pelvična (u zdjelici). Kašljanjem i kretanjem se bol pojačava. Simptomi se mogu uvelike razlikovati od bolesnika do bolesnika, a u njih spadaju još i mučnina, povraćanje, proljev, zatvorenost (stolice), gubitak apetita i povišenje tjelesne temperature, a svi se ne moraju očitovati, što ovisi o dobi i anatomskom smještaju crvuljka. U male djece i trudnica simptomi mogu biti atipični.
Bol u McBurneyevoj točki
Prilikom palpacije trbušne stijenke u tipičnim slučajevima bolesnik osjeća najjaču bol u području zamišljene točke na stijenci trbuha, a koja je smještena na trećini udaljenosti od anteriorne superiorne spinae illiacae do pupka.
Rovsingov znak
Ukoliko se počne palpirati trbušnu stijenku u suprotnom smjeru prema slijepom crijevu (od lijeve ilijačne jame u pravcu suprotnom od kazaljke na satu u pravcu prema slijepome crijevu, sadržaj crijeva se potiskuje prema slijepom crijevu, što u njemu povećava tlak i izaziva bol. Ovo je Rovsingov znak.[1]
Znak psoasa
Ovaj znak obilježava bol u desnom donjem kvadrantu trbuha prilikom ekstenzije i abdukcije noge jer se pri tom rasteže musculus psoas. Mišić je osjetljiv jer se upala prenijela sa crvuljka na mišić. Zauzimanje fetalnogpoložaja ublažava bol.
Obturatorni znak
Ovaj znak nastaje ako je crvuljak u dodiru s musculus obturatorius internus, a bol se javlja u donjem dijelu trbuha, prilikom unutrašne rotacije noge.
Blumbergov znak
Ovaj znak nije specifičan za upalu crvuljka, već je odraz nadražaja peritoneja. Izaziva ga se kad prilikom nježne palpacije trbušne stijenke, u području iznad McBurneyeve točke, iznenada popusti pritisak naglim dizanjem ruku s trbušne stijenke. [2][3]
Dijagnostika
Laboratorijske pretrage
Prva i najjednostavnija laboratorijska pretraga prilikom kliničke sumnje na upalu crvuljka je određivanje broja leukocita (uz diferencijalnu krvnu sliku -DKS). Broj leukocita može biti povišen (ali ne mora, barem u početnom stadiju bolesti) uz povišen broj neutrofilnih leukocita.
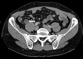
Računalna tomografija


CT abdomena je jedna od boljih dijagnostičkih metoda koja prikazuje prošireni crvuljak sa znacima okolne upale što predstavlja jedan od sigurnih znakova akutnog apendicitisa.
Ultrazvuk (UZ) abdomena (trbuha)
UZ abdomena može prikazati proširenje crvuljka i nakupljanje slobodne tekućine u trbušnoj šupljini, ali u slučaju kada crijeva sadrže puno zraka, crvuljak se ne mora prikazati.
Akutna upala crvuljka (appendicits acuta)
Bolest počinje iz punog zdravlja s već opisanim simptomima i znakovima. Akutnu upalu crvuljka treba što prije kirurški liječiti, jer može dovesti do komplikacija, sepse ili čak do smrtnog ishoda. Gnoj koji se nalazi u samom crvuljku prožima i oslabljuje njegovu stijenku, zbog čega ona može puknuti (rupturirati) te dolazi do izlijevanja gnoja u trbušnu šupljinu i upale peritoneja, peritonitisa. Ponekad, se masna marama, omentum, zalijepi oko rupturiranog crvuljka, pokušavajući na taj način ograničiti daljnje širenje infekcije. Ipak, unutar tako stvorenog džepa (lat. abscessus perityphliticus) gnojna upala i dalje traje, uz opasnost širenja u okolinu, i dalje, širenja bakterija u krv i sepse.
Kronična upala crvuljka (appendicits chronica)
Patohistološka potvrda kronične upale crvuljka je rijetkost.
Liječenje
Operativni tretman

Apendektomija (appendectomia) je kirurško uklanjanje crvuljka.
Laparoskopska apendektomija
Laparoskopska apendektomija je operativni zahvat koji se izvodi pomoću posebnih laparoskopskih instrumenata. Na ovaj način kirurški rez je manji, a oporavak bolesnika nakon operacije kraći.
Klasična apendektomija
Klasična apendektomija ili otvorena apendektomija je metoda pri čijem je izvođenju kirurški rez na trbušnoj stijenci veći.
Izvori
- ↑ N. T. Rovsing: Indirektes Hervorrufen des typischen Schmerzes an McBurney's Punkt. Ein Beitrag zur diagnostik der Appendicitis und Typhlitis. Zentralblatt für Chirurgie, Leipzig, 1907, 34: 1257-1259
- ↑ "Blumberg's sign - Rebound Tenderness" | Offline Clinic
- ↑ J. M. Blumberg: Ein neues diagnostisches Symptom bei Appendicitis. Münchener medizinische Wochenschrift, 1907, 54: 1177-1178.
Vanjske poveznice
Sestrinski projekti
Ostale vanjske poveznice
- Appendicitis and Appendectomy author Dennis Lee, M.D. editor Jay Marks, M.D. - MedicineNet.com, Doctor Produced information plus Patient Discussions provided by MedicineNet.com
- Appendicitis - MayoClinic.com, from the Web site of the Mayo Clinic
- Appendicitis, history, diagnosis and treatment by Surgeons Net Education
- Acute and Suppurative Appendicitis from the Spring 1998 issue of The Permanente Medical Journal
- Appendicitis Research Latest research from the literature on appendicitis
| Molimo pročitajte upozorenje o korištenju medicinskih informacija. Ne provodite liječenje bez konzultiranja liječnika! |