Sjögrenov sindrom
| Klasifikacija i vanjske poveznice | |
| MKB-10 | Script error: The function "getExternalValue" does not exist. |
| MKB-10 | Script error: The function "getExternalValue" does not exist. |
| NSK | Script error: The function "getExternalValue" does not exist. |
| PubMed | Script error: The function "getExternalValue" does not exist. (eng.) |
| MeSH | Script error: The function "getExternalValue" does not exist. (eng.) |
| Medscape | Script error: The function "getExternalValue" does not exist. (eng.) |

Sjögrenov sindrom je autoimuna bolest koja zahvaća žlijezde i unutarnje organe. Najčešće su zahvaćene žlijezde sa vanjskim izlučivanjem (egzokrine žlijezde) koje proizvode slinu (žlijezde slinovnice) i suze (suzna žlijezda). Uzok nastanka poremećaja u imunološkom sustavu je nepoznat. Bolest se najčešće javlja nakon 40. godine života i češće zahvaća žene. Bolest je dobila naziv po švedskom oftalmologu Henriku Sjögrenu (1899-1986), koji je prvi opisao bolest. Sjögrenov sindrom je često udružen sa drugim reumatskim bolestima ili autoimunim bolestima kao što su reumatski artritis, sustavni eritemski lupus, sustavna skleroza ili Hashimotov tireoiditis. Tada govorimo o sekundarnom Sjögrenovu sindromu.
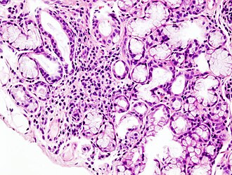
Vodeći simptomi u ovom poremećaju su suhoća očiju zbog nedostatka suza (kseroftalmija) i suhoća usta (kserostomija). Oboljeli se obično prvo žale na osjećaj pijeska i stranog tijela u oku. Uz žlijezde ova bolest može zahvatiti i kožu, nos ili uzrokovati suhoću rodnice. Mogu biti zahvaćeni bubrezi, krvne žile, pluća, jetra, gušterača ili mozak. Zahvaćenost pojednih organa različito se manifestira.
Ne postoji način za izliječenja ovog sindroma ili vraćanje lučenja zahvaćenih žlijezda na normalu, te je liječenje uglavnom simptomatsko i suportivno.
Sindrom može značajno varirati, od oblik koji zahvaća samo žlijezde, sa "manjim" simptomima (suhoća usta i očiju), do oblika sa značajnijim oštećenjem unutarnjih organa, mišića ili zglobova.
Za uklanjanje simptoma, suhih očiju koriste se umjetne suze, zaštitne naočale. Nedostatak sline, pokušava se nadomjestiti umjetnom slinom ili poticanjem lučenja slina žvakanjem žvakaćih guma.
Ako su izraženim simptomi zahvaćanja unutarnjih organa, koriste se različiti lijekovi (nestereoidni protuupalni lijekovi, kortikosteroidi ili imunosupresivi) ovisno o vrsti i stupnju zahvaćenosti.
| Molimo pročitajte upozorenje o korištenju medicinskih informacija. Ne provodite liječenje bez konzultiranja liječnika! |