Prijelom rebara

Prijelom rebara, (lat - fractura costarum), je djelomični ili potpuni prekid kontinuiteta rebara, nastao kao posljedica djelovanja mehaničke sile koja nadmašuje otpornost koštanog tkiva. Mehanička sila na mjestu djelovanja oštećuje i meke strukture pa su prijelom i rebara često udruženi s nagnječenjem , oguljotinom ili razderinom.
Faktora rizika
Prijelomu rebra obično prethodi značajna ozljeda i većina prijeloma rebara su posljedica nesretnog događaja. Prijelomi rebra mogu nastati i spontano ili tijekom neadekvatne ozljede u čijoj osnovi su bolesti kao što je osteoporoza ili koštane metastaze.
Najčešći čimbenici rizika za prijelom rebara su:
- Sportske aktivnosti
- Senilnost
- Zlostavljanje
- Reanimacija u medicini
- Metastaze kostiju
- Osteoporoza
- Kašalj
Mehanizam nastanka
Pošto prsni koš zauzima veliki dio tijela, on ima istureni položaj i često je sklona ozljedama. Tijekom tih ozljeda, rebra su najviše izložena ozljedama, pa i prijelomima. Kod mlađih osoba, zahvaljujući elastičnosti rebara, pojava je prijeloma znatno rjeđa nego kod starijih osoba, kod kojih osim zakrečenosti hrskavice nastaje i staračka osteoporoza.
Kako je središnji dio prsnoga koša najistureniji, najčešće se prijelomi rebara javljaju kod srednjih rebara, a najrjeđe kod gornja tri, koja su na izvjestan način zaklonjena ključnom kosti. Lokalizacija prijeloma je najčešća na prednjim ili zadnjim zavojima, a prouzročena je izravnim (direktnim) ili posrednim (indirektnim) djelovanjem sile.
Vrste
- Poprečni prijelomi, su obično izazvani direktnim i snažnim udarom mehaničkoga oruđa u prsni koš. Kod ovi prijeloma krajevi kosti ponekad bivaju utisnuti u dubinu, pa mogu izazvati rascjep porebrice i ozljede unutarnjih organa (pluća, srca, krvnih žila)
- Kosi prijelomi, su obično izazvani posrednim utjecajem sile, pri kompresiji prsnoga koša, i najčešće su lokalizirani na prednjem ili stražnjem zavoju. Kod ovih prijeloma fragmenti su oštri, a površina prijeloma je upravljena medijalno (prema sredini) ili lateralno (prema van), te ako je prijelomljeno više rebara nastaje znatna pokretljivost i deformacija zida prsnoga koša, iznad mjesta ozljede.
Dijagnoza
Objektivi pregled

Dijagnoza prijeloma rebra se često postavlja opipavanjem (palpacijom) na mjestu ozljede, kada se pod prstima osjećaju neravnine na površini rebara, pojava oštroga bola praćenog pucketanjem (krepitacijama) i pomicanjem dijelova prijelomljenih rebara pri jačem pritisku.
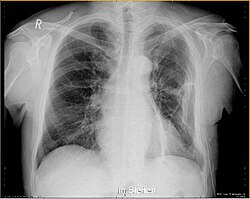
Radiološka dijagnostika
Sumnja na prijelom rebara najpouzdanije se potvrđuje;
- radiografijom prsnoga koša u nekoliko pravaca,
- ultrazvučnim pregledom
- kompjuteriziranom tomografijom.
Dijagnostika prijeloma rebra nije uvijek laka, kao i dijagnostika komplikacija ovih prijeloma koji moraju pravodobno biti uočeni jer mogu životno ugroziti povrijeđenog zbog; krvarenja, ozljeda srčane i plućne maramice, pluća i organa trbuha.
Također radiološkim dijagnostikom treba isključiti i moguće druge ozljede koje mogu biti udružene sa prijelomom rebara.
Komplikacije
Kao posljedica prijeloma rebara mogu nastati razne komplikacije, prećen lakšim ili težim posljedicama;
- Infekcija izlivene krvi na mjestu prijeloma, s pojavom osteomijelitisa (gnojenja kostiju) ili apscesa (lat- abscessus) zida prsnoga koša, sa mogućom sepsom.
- Slomljeni krajevi rebara mogu izazvati rascjep međurebarnih krvnih žila, pa doduše rijetko, dovesti do masne embolije, ili smrtonosnoga krvarenja u prsnu šupljinu, ako je istovremeno poderana i porebrica .
- Ozljede unutarnjih organa fragmentima polomljenih rebara, kao što su;
- Pluća , praćene pojavom pneumotoraksa i hemotoraksa, uz poremećaj disanja, asfiksiju i iskrvarenja.
- Srce (nešto rjeđe) može dovesti do njegove tamponade izlivenom krvlju u srčanu kesu ili akutnoga zastoja zbog poremećaja ritma.
- Dijafragma (prečage), prate obilna krvarenja i poremećaj disanja zbog jakih bolova
- Organi trbušne šupljine; (jetra, slezena, želudac, crijeva)
Prijelome rebara prati jak bol, koji ograničava pokrete prsnog koša, i umanjuje opseg respiracija (disanja). Pokreti rebara mogu biti i vrlo opsežni i spljošte prsni koš i spriječe širenje pluća kod inspiracije (udaha) što može uzrokovati pojavu atelektaze i sekundarne (naknadne) upala pluća.
Terapija
Ne postoji poseban tretman za liječenje prijeloma rebara, a osnovne mjere terapije predviđaju;
- Opće mjere;
- kupiranje boli,
- mirovanje,
- suzbijanje kašlja,
- sprječavanje sekundarne infekcije pluća,
- Simptomatske mjere;
- zaustavljanje krvarenja,
- sanacija rascjepa srčane i plućne maramice, prečage, jetre, slezene, crijeva
- sanacija pneumotoraksa i hemotoraksa itd.
Vanjske poveznice
Literatura
- Ćeremilac A. Patologija mehaničkih ozljeda (sudsko medicinski značaj) Medicinska knjiga Beograd-Zagreb 1973
- Ćeramilac A. Opća i specijalna patologija mehaničke traume. Beograd: Zavod za udžbenike i nastavna sredstva, 1986.
- Clinically Oriented Anatomy, 4th ed. Keith L. Moore and Robert F. Dalley. pp. 62–64
| Molimo pročitajte upozorenje o korištenju medicinskih informacija. Ne provodite liječenje bez konzultiranja liječnika! |

