Toggle menu
242,5 tis.
116
18
647,3 tis.
Hrvatska internetska enciklopedija
Toggle preferences menu
Toggle personal menu
Niste prijavljeni
Your IP address will be publicly visible if you make any edits.

Plasmodium (Plasmodium) ovale

Izvor: Hrvatska internetska enciklopedija
Plasmodium ovale
Datoteka:Plasmodium ovale 01.png
Sistematika
Carstvo: Protista
Koljeno: Apicomplexa
Razred: Aconoidasida
Red: Haemosporida
Porodica: Plasmodiidae
Rod: Plasmodium
Vrsta: P. ovale
Dvojno ime
Plasmodium ovale
Stephens 1922

Plasmodium ovale vrsta je parazitske praživotinje koja uzrokuje povratnu malariju u ljudi. Blisko je povezana s parazitima Plasmodium falciparum i Plasmodium vivax, koji su glavni uzročnici malarije. Rijetko ju se povezuje s ovo dvoje parazita, i bitno je manje opasna od P. falciparum.

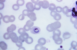
Mikroskopski izgled P. ovale veoma je sličan onomu P. vivax, i, ako se može vidjeti malen broj parazita, gotovo je nemoguće razlikovati te dvije vrste. Nema razlike između liječenja P. ovale i P. vivax, i zato neke laboratorijske dijagnoze glase "P.& vivax/ovale". Shüffnerove točke vidljive su na površini zaraženih crvenih krvnih stanica, ali ove su tamnije i veće od onih kod P. vivax i nekada ih se naziva "Jamesovim točkama". Oko 20% zaraženih stanica ovalnog su oblika (otkud i ime same vrste) i neke od ovalnih stanica imaju grube rubove. Zreli shizonti parazita P. ovale nikada nemaju više od dvanaest jezgri unutar sebe i ovo je jedini pouzdani način razlikovanja ovih dviju vrsta.

P. vivax i P. ovale koji se nalaze u etilendiamintetraoctenoj kiselini (EDTA) više od pola sata prije krvnog razmaza izgledati će veoma slični P. malariae, što je važan razlog za upozoravanje laboratorija čim je uzet uzorak krvi kako bi obradili uzorak što prije.


Datoteka:Star of life3.svg Nedovršeni članak Plasmodium (Plasmodium) ovale koji govori o medicini treba dopuniti. Dopunite ga prema pravilima uređivanja Hrvatske internetske enciklopedije.