Kronična limfocitna leukemija
| Klasifikacija i vanjske poveznice | |
| MKB-10 | Script error: The function "getExternalValue" does not exist. |
| MKB-10 | Script error: The function "getExternalValue" does not exist. |
| NSK | Script error: The function "getExternalValue" does not exist. |
| PubMed | Script error: The function "getExternalValue" does not exist. (eng.) |
| MeSH | Script error: The function "getExternalValue" does not exist. (eng.) |
| Medscape | Script error: The function "getExternalValue" does not exist. (eng.) |

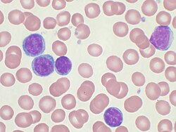
Kronična limfocitna leukemija (KLL) je limfoproliferativna bolest koju karakterizira klonalna proliferacija nefunkcionalnih B-limfocita.[1] Bolest se utvrđuje prisutnošću nezrelih limfocita u perifernoj krvi (više od 5x109/L) i infiltracijom koštane srži limfoidnim stanicama (više od 30%). Limfom malih stanica se smatra oblikom kronične limfocitne leukemije, koji razlikuje to što su stanice nakupljene u limfnim čvorovima, a ne u perifernoj krvi i koštanoj srž.[2]
Leukemijski (KLL) B-limfociti su mali, na površini sadrže molekule CD5, CD19, CD20, CD21, CD23. Na površini su prisutni i imunoglobulini, ali u manjoj količini nego kod normalnih B-limfocita. KLL limfociti infiltriraju koštanu srž te ometaju stvaranje eritrocita i trombocita, te normalnih limfocita, zbog čega dolazi do povećane sklonosti infekcijama, pojave simptoma anemije te sklonosti krvarenju. Mogu infiltritati ostale organe kao što su limfni čvorovi, jetra, slezena, koža, organe probavnog sustava, mokraćnog sustava ili dišnog sustava.
Terapija
Bolest se liječi kemoterapijama, protutijelima (najčešće anti-CD20) te ciljanim lijekovima (inhibitorima signalnih putova B receptora).[3] U nekim slučajevima dolazi u obzir i liječenje transplantacijom krvotvornih matičnih stanica.[4]
Izvori
- PREUSMJERI Predložak:Izvori
Vanjske poveznice
| Molimo pročitajte upozorenje o korištenju medicinskih informacija. Ne provodite liječenje bez konzultiranja liječnika! |
- ↑ Rai KR, Keating HJ. Chronic lymphocytic leukemia. Holland JF, Bast RC, Morton DL, et al, eds. Cancer Medicine. 4th ed. Baltimore, Md: Williams and Wilkins; 1997. Vol II: 2697-728.
- ↑ Elter T, Hallek M, Engert A. Fludarabine in chronic lymphocytic leukaemia. Expert Opin Pharmacother. 2006 Aug. 7(12):1641-51
- ↑ Raanani P, Gafter-Gvili A, Paul M, Ben-Bassat I, Leibovici L, Shpilberg O. Immunoglobulin prophylaxis in chronic lymphocytic leukemia and multiple myeloma: systematic review and meta-analysis. Leuk Lymphoma. 2009 May. 50(5):764-72.
- ↑ Michallet M, Dreger P, Sutton L, et al. Autologous hematopoietic stem cell transplantation in chronic lymphocytic leukemia: results of European intergroup randomized trial comparing autografting versus observation. Blood. 2011 Feb 3. 117(5):1516-1521.