Jajovod
Prijeđi na navigaciju
Prijeđi na pretraživanje
Jajovod (lat. tuba uterina) je cijevasti parni organ ženskog spolnog sustava koji se jednim krajem otvara u maternicu, a drugim u trbušnu šupljinu u blizini jajnika (nije izravno spojen na jajnik). Jajovodi su žena dugi 7 - 14 cm. Uloga jajovoda je komunikacija između maternice i jajnika. U njemu dolazi do oplodnje (spajanja spermija sa jajnom stanicom).
Anatomija
Jajovod se sastoji od četiri dijela (od maternice prema trbušnoj šupljini):
- proksimalni ili intramuralni - dio jajnika koji se nalazi u maternici, dug 5 - 20 mm
- suženi ili istmični - dužine oko 4 cm, nadovezuje se na intramuralni segment i ima debeli mišićni sloj
- prošireni ili ampularni - vijugava toka, sa najveći promjerom od oko 6 mm, dug 4 - 6 cm
- završni (infundibulum) - završava otvorom promjera oko 6 cm, koji je proširen poput lijevka; otvor je obrubljen resičastim izdancima (lat. fimbriae) i ima pomjer oko 2 cm
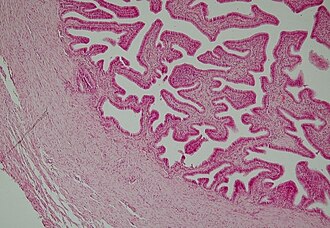
Histologija

Jajovod se sastoji od četiri sloj, neki od kojih su nejednake debljine u pojedinim segmentima:
- Serozna ovojnica - oblaže jajovod izvana
- Supserozni sloj - nalazi se ispod seroze
- Mišićni sloj - sastoji se od glatkih mišića, i postaje sve tanji kako se udaljava od maternice
- Sluznica - epitel koji iznutra oblaže jajovod, podložan je promjenama povezanim sa menstruacijskim ciklusom i sastoji se od tri vrste stanica (sekrecijske cilindrične, stanice sa trepetljikama i štapićaste). Ispod epitel nalazi se rahlo vezivo, lamina proprija.
Fiziologija
Neke od uloga jajovoda:
- uvlači jajnu stanicu nakon ovulacije
- kapacitacija ili osposobljavanje spermija za oplodnju i prijenos spermija
- oplodnja se odvija u jajovodu
- preživljavanje zametka u ranoj fazi (tubularna tekućina je idealan medij)
- prijenos zametka, koji obično traje oko tri dana