Fokalna segmentalna glomeruloskleroza

Fokalna segmentalna glomeruloskleroza je bolest bubreg, uzrok nefrotskog sindroma ili asimptomatske proteinurije kod djece i odraslih.
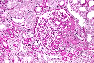
Patofiziologija i patologija
Etiologija ili incijalni mehanizam nastanka bolesti je još velikim dijelom nepoznat, osim u određenim slučajevima bolesti uzrokovanih virusima. Primarni patofiziolški proces je oštećenje u blizini ili izravno podocita, brisanje nastavka nožica, proliferacija mezangija, endotelnih i epitelnih stanica u ranoj fazi, nakon koje slijedi smanjivanje i kolaps glomerularnih kapilara, te na kraju nastanak ožiljka (skleroza - nakupljanje kolagena tip IV, a ponekad hijalinoza - nakupljanje hijalina). Karakteristična lezija je segmentalna solidifikacija glomerula, najčešće perihilarne regije, a ponekad i perifernije, uključujući i tubule. Stupanj oštećenja različite je za pojedina područja u bubregu, od normalnih nezahvaćenih glomerula do segmentalne, te konačne globalne glomeruloskleroze. Postoji određeni podtipovi bolesti, koji se morfološki razlikuju.
Podjela
Primarni (idopatski) oblici fokalne segmentalne glomeruloskleroze (FSGS):
- podtipovi FSGS:
- kolapsni oblik
- stanična varijanta (endokapilarna i ekstrakapilarna hipercelularnost)
- FSGS sa mezangijalnom hipercelularnošću
- FSGS sa lezijom glomerularnog vrha
- bez osobitosti
- udržena sa hijalinozom
- progresija iz glomerulonefritisa minimalne lezije
- progresija iz IgM nefropatije
- progresija iz mezangioproliferativnog glomerulonefritisa
- superponirajući na ostale primarne glomerulonefritise
Sekundarni FSGS uzrokovan npr.:
- virusima - npr. hepatitis B virus, HIV
- zlouporabom droga - intravenozno heroin
- hemodinamski faktorima
- sa smanjenom bubrežnom masom - npr. renalna displazija, renalna ageneza, oligomeganefronija, segmentala hipoplazija, vezikoureteralni refluks
- bez smanjene bubrežne mase - npr. kongenitalna cijanotična srčana bolest, nefropatija anemija srpastih stanica
- malignom bolesti - limfomi
- ostali - npe. sarkoidoza, Alportov sindrom
Simptomi
Bolest se najčešće prezentira simptomi karakterističnim za nefrotski sindrom, kao što su generalizirani edemi dok u laboratorijskim nalazima je proteinurija, hipoalbuminemija i hiperlipidemija. Često slučajni nalaz proteinurije može biti prvi znak FSGS. U težim slučajevima bolest se prezentira teškim zatajenjem bubrega uz simptome uremije (npr. povraćanje, mučnina, krvarenje). Za potvrdu bolesti potrebno je biopsijom bubrega utvrditi mikroskopske promjene na bubregu karakteristične za bolest.
Liječenje
Specifično liječenje primarne bolesti je empirijsko, te se najčešće kortikosteroidi. Pojedine varijante bolesti reagiraju nejednako na terapiju, te je prognoza vrlo različita. U liječenju bolesti koristi i poseban režim prehrane, te lijekovi koji liječe posljedice bolesti kao što su npr. diuretici, ACE inhibitori, blokatori angiotenzinskih receptora, hipolipemici i ostali antihipertenzivi.
Izvor
- (eng.) Medscape
| Molimo pročitajte upozorenje o korištenju medicinskih informacija. Ne provodite liječenje bez konzultiranja liječnika! |