Empijem pleuralne šupljine
| Klasifikacija i vanjske poveznice | |
| MKB-10 | Script error: The function "getExternalValue" does not exist. |
| MKB-10 | Script error: The function "getExternalValue" does not exist. |
| NSK | Script error: The function "getExternalValue" does not exist. |
| PubMed | Script error: The function "getExternalValue" does not exist. (eng.) |
| MeSH | Script error: The function "getExternalValue" does not exist. (eng.) |
| Medscape | Script error: The function "getExternalValue" does not exist. (eng.) |
Empijem pleuralne šupljine predstavlja oblik piotoraksa u kojem gusti gnoj ispunjava pleuralnu šupljinu. Empyema pleurae obično uzrokuje širenje infekcije iz pluća. Gnoj pritišće pluća. Upala pluća, apsces pluća, kirurgija toraksa i trauma su najčešći uzroci pojave empijema pleuralne šupljine. Torakocenteza može u rijetkim slučajevima dovesti do empijema.[1][2][3]

Simptomi
- Bol u grudima, koja se pogoršava dubokim disanjem
- Suhi kašalj
- Znojenje
- Groznica i tresavica
- Kratak dah
- Gubitak težine
- Opća slabost i malaksalost
Dijagnoza
Tiše disanje ili struganje se može čuti stetoskopom (auskultacija). Na perkusiju (kuckanje) dobije se mukli zvuk na mjestu gdje je šum disanja tiši.
Sljedeće pretrage su potrebne:
- RTG snimak pluća
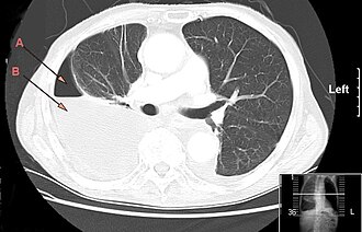
- CT pluća
- Antibiogram pleuralnog punktata
- Torakocenteza (punkcija prsišta)
Tretman
Cilj tretmana je liječenje infekcije i uklanjanje gnoja iz prsišta. Antibiotici se koriste za borbu protiv infekcije.
Liječnici postavljaju torakalnu drenažu da bi se uklonio gnoj.[4] Nekad je potrebna i torakotomija kada kirurg radi dekortikaciju (doslovno: uklanjanje kore) skidanjem visceralne pleure ako se pluća ne ekspandiraju (šire) dovoljno. Ponekad se i resecira dio pluća. Torakoskopija se koristi kao metoda za drenažu i lavažu pleuralne šupljine.
Postupak ovisi o uzroku i stadiju bolesti. Za stadij I bolesti dovoljna je torakocenteza. U ranoj fibrinopurulentnoj fazi (stadij II) toraskopska metoda se može uzeti kao metoda izbora. Video asistirana torakalna kirurgija može riješiti multilokularna (više lokacija) žarišta bolesti i osigurati adekvatnu drenažu. Stadij III zahtijeva dekortikaciju i drenažu organiziranih multilokularnih žarišta. Nakon drenaže sa dva drena irigacija (ispiranje) može pomoći da se brže razriješi infekcija.[5]
Prognoza
Kada je pneumonija (upala pluća) uzrok empijema, veći je rizik za smrtni ishod i trajnu leziju pluća. Ponekad je potrebna dugotrajna drenaža i antibiotska terapija. Međutim, veći broj pacijenata se potpuno oporavi od empijema.
Komplikacije
- Pleuralno zadebljanje
- Reducirana plućna funkcija
- Fibrotoraks (priraslice ovojnice pluća)
Vanjske poveznice
- Images of Pleural Empyema from MedPix
Izvori
- ↑ http://www.nlm.nih.gov/medlineplus/ency/article/000123.htm.
- ↑ Celli BR. Diseases of the diaphragm, chest wall, pleura, and mediastinum. In: Goldman L, Ausiello D, eds. Cecil Medicine. 23rd ed. Philadelphia, Pa: Saunders Elsevier;2007:chap 100.
- ↑ Mason RJ, Broaddus VC, Murray JF, Nadel JA. Pleural effusion. In: Mason RJ, Broaddus VC, Murray JF, Nadel JA, eds. Murray and Nadel's Textbook of Respiratory Medicine. 4th ed. Philadelphia, Pa: Saunders Elsevier; 2005:chap 68. Update Date: 3/17/2009
- ↑ Pothula V, Krellenstein DJ (March 1994). "Early aggressive surgical management of parapneumonic empyemas". Chest 105 (3): 832–6. PMID 8131548. http://chestjournal.chestpubs.org/content/105/3/832.abstract. Retrieved 2010-06-05
- ↑ Klopp M, Pfannschmidt J, Dienemann H.Treatment of pleural empyema. Chirurg. 2008 Jan;79(1):83-94