Rebra
U anatomiji kralježnjaka, rebra (lat. costae) su dugačke, vitke, zakrivljene kosti koje tvore rebrenu koš. Kod većine životinja rebra okružuju prsni koš (lat. thorax) pritom štiteći pluća, srce i druge organe prsnog koša. Nekim životinjama, pogotovo zmijama, rebra pružaju potporu i zaštitu cijelog tijela.
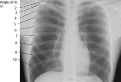
Ljudska anatomija
Čovjek, bez obzira na spol, ima 12 pari rebara (odnosno 24 rebra). Prvih je sedam hrskavično povezano s prsnom kosti (lat. sternum). Naredna tri para, poznata kao "lažna rebra", dijele hrskavičnu vezu sa prsnom kosti (vidi slike). Zadnja se dva para nazivaju tekuća ili kralježna rebra (lat. costae fluitantes) jer su vezana samo za kralježnicu, a ne za sternum ili hrskavicu sternuma. Nekim ljudima nedostaje jedan od zadnja dva para rebara, dok neki imaju i treći par. Uklanjanje rebara je kirurški zahvat odvajanja rebara iz terapeutskih ili kozmetičkih razloga.

Prsni je koš odvojen od trbušne šupljine (abdomena) plućnom dijafragmom (ošitom) koja ujedno regulira disanje. Kad se ošit steže, prsni se koš s rebrima širi, smanjujući van-prsni tlak te vukući zrak u pluća.
Drugi sisavci
Kod sisavaca, rebra se obično poimaju samo kao dio prsnog koša. Ipak, pri razvoju embrija sisavaca, sjedinjeni ostaci rebara mogu se naći pri vratnim kralješcima i krstači.
Kod gmazova, rebra se nekad mogu pronaći na svakom kralješku od vrata do krstače.
Rebra kornjača razvila su se u koštane ili hrskavične dijelove oklopa i egzoskeleta.
Ribe mogu imati i do 4 rebra na svakom kralješku (što je vidljivo kod npr. haringe), iako sve ribe nemaju toliko.
Dodatne slike
Galerija slika niže prikazuje ljudska rebra:
Izvori
- Clinically Oriented Anatomy, 4th ed. Keith L. Moore and Robert F. Dalley. pp. 62–64
- Waldeyerova anatomija čovjeka, 1. hrvatsko izdanje, Golden marketing 2009.,796.
Vidi
| |||||||||||||||||||||||
Datoteka:Anatomical and geometrical proportions - Albrecht Dürer.png
Nedovršeni članak Rebra koji govori o anatomiji treba dopuniti. Dopunite ga prema pravilima uređivanja Hrvatske internetske enciklopedije.