Bolest spavanja
| |
Ovaj članak ne udovoljava stilskim odrednicama za područje medicine. Pomoć potražite pri Wikiprojektu medicina. Molimo ne uklanjati ovu poruku prije nego se članak ispravi. |
| Klasifikacija i vanjske poveznice | |
| MKB-10 | Script error: The function "getExternalValue" does not exist. |
| MKB-10 | Script error: The function "getExternalValue" does not exist. |
| NSK | Script error: The function "getExternalValue" does not exist. |
| PubMed | Script error: The function "getExternalValue" does not exist. (eng.) |
| MeSH | Script error: The function "getExternalValue" does not exist. (eng.) |
| Medscape | Script error: The function "getExternalValue" does not exist. (eng.) |

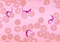
Afrička tripanosomijaus ili bolest spavanja[1] parazitska je bolest ljudi i životinja. Uzrokuju je nametnici vrste Trypanosoma brucei. Dvije su podvrste nametnika koje mogu zaraziti ljude, a to su Trypanosoma brucei gambiense (T.b.g.) te Trypanosoma brucei rhodesiense (T.b.r.).[1] U više od 98% prijavljenih slučajeva zarazu izaziva T.b.g.[1] Oba se uzročnika obično prenose ugrizom zaražene muhe ce ce i najčešće žive u ruralnim krajevima.[1]
U prvoj fazi bolesti najprije se javlja groznica, glavobolje, svrbež, bolovi u zglobovima.[1] To se događa jedan do tri tjedna poslije ugriza.[2] Više tjedana ili mjeseci kasnije pojavom konfuzije, slabe koordinacije, utrnulosti i poremećaja spavanja počinje druga faza.[1][2] Dijagnoza se postavlja dokazom nametnika u krvnom razmazu ili u tekućini limfnih čvorova.[2] Često je za razlikovanje prve i druge faze bolesti potrebna lumbalna punkcija.[2]
Radi sprječavanja težeg oblika bolesti obavljaju se kontrole stanovništva izloženoga riziku pomoću krvnih pretraga na prisutnost uzročnika T.b.g.[1] Bolest se lakše liječi ako se otkrije dovoljno rano, prije pojave neuroloških simptoma.[1] Liječenje u prvoj fazi provodi se lijekovima pentamidinom i suraminom.[1] U drugoj fazi liječenje uključuje lijek eflornitin ili kombinaciju nifurtimoksa i eflornitina u slučaju zaraze podvrstom T.b.g.[2] Premda je melarsoprol djelotvoran u slučaju zaraze jednom i drugom podvrstom, zbog ozbiljnih nuspojava obično se koristi samo za T.b.r.[1]
Ova je bolest u nekim regijama subsaharske Afrike redovita pojava, a stanovništvo izloženo riziku broji oko 70 milijuna ljudi u 36 zemalja.[3] Godine 2010. Bolest spavanja izazvala je smrt oko 9.000 ljudi, što predstavlja smanjenje u odnosu na 34.000 smrtno stradalih 1990.[4] Procjenjuje se da je u ovom trenutku zaraženo 30.000 ljudi, s time da je 2012. novozaraženih je bilo 7.000.[1] Više od 80% svih slučajeva zabilježeno je u Demokratskoj Republici Kongo.[1] U nedavnoj povijesti dogodile su se tri veće zaraze: prva, od 1896. do 1906., prvenstveno u Ugandi i porječju Konga, a druge dvije 1920. i 1970. u nekoliko afričkih zemalja.[1] I druge životinje, kao što su krave, mogu prenositi zarazu te i same mogu biti zaražene.[1]

Afrička tripanosomiaza ili bolest spavanja je zarazna bolest koju kod čovjeka i životinja uzrokuju jednostanični paraziti vrste Trypanosoma brucei u tropskim krajevima Afrike. Računa se da 500.000 ljudi diljem svjeta pati od bolesti spavanja.
Uzročnik
U zapadnoj i centralnoj Africi prevladava kronični oblik bolesti uzrokovan podvrstom Trypanosoma brucei gambiense, dok u istočnoj Africi podvrsta Trypanosoma brucei rhodesiense uzrokuje akutni oblik bolesti.
Način prenošenja

Obje podvrste parazita se prenose ubodom ce-ce muhe (Glossina). Parazit je koncentriran u žlijezdama slinovnicama ce-ce muhe i prenosi se slinom koju muha izluči u mjesto uboda kako bi sprječila zgrušavanje krvi. Ubod je jako bolan i može uslijediti i kroz odjeću. Ipak, nije svaka ce-ce muha prijenosnik parazita, tako da ubod ce-ce muhe ne znači da će nužno uslijediti infekcija. Rizik infekcije nakon uboda ce-ce muhe se razlikuje od područja do područja, no u prosjeku iznosi 1:100. Znači da rizik infekcije raste svakim ubodom.
Simptomi
Tijek bolesti se razlikuje ovisno o uzročniku. Kod infekcije podvrstom T. brucei gambiense bolest sporo napreduje, dok kod infekcije podvrstom T.brucei rhodesiense bolest brže napreduje i simptomi su izraženiji.
Prvi stadij (hemolitična faza): Poslije uboda ce-ce muhe, može doći do bolnog oticanja oko mjesta uboda, no taj se simptom pojavljuje samo kod 5-20% zaraženih. 1-3 tjedna nakon infekcije, dolazi do parazitemije, dakle pojavljivanja parazita u krvotoku, praćene groznicom, glavoboljom, bolovima u zglobovima, svrabom i oticanjem limfnih čvorova. Naizraženije otiču limfni čvorovi u predjelu vrata. Često dolazi i do anemije, trombocitopenije i povišenim IgM antitijelima.
Drugi stadij (meningoencefalitična faza): 4-6 mjeseci nakon infekcije - u slučaju infekcije sa T.brucei rhodesiense to može biti i nakon par tjedana - tripanozomi se probijaju kroz krvno-moždanu branu i ulaze u centralni živčani sustav. Zbog djelovanja parazita u mozgu, ali i reakciji imunog sustava dolazi do oštećenja centralnog živčanog sustava. Pacijenti imaju teškoće pri koordiniranju i ravnoteži, ne mogu kontrolirati spavanje, zbunjeni su, mršave i pate ih grčevi.
Na kraju bolesti, pacijenti padaju u trajni san, zbog čega je bolest dobila ime. Nakon mjeseci ili godina trajanja bolesti pacijenti umiru.
Imunologija
Paraziti su pokriveni glikoproteinima, takozvanim VSG (variable surface glycoproteins). Genom tripanozoma kodira preko 1000 VSG-gena, čija eksprimacija varira. Parazit neprestano mijenja glikoproteine na površini kako bi izbjegao imunosni odgovor domaćina. Antitijela koja imunološki sustav stvori tako unište samo jedan dio parazita, dok ostali prežive i ponovno se razmnožavaju.
Značajan doprinos razumijevanju fundamentalnih mehanizama djelovanja VSG-a na površini tripanosoma dali su hrvatski znanstvenici s Instituta Ruđer Bošković, koji su sudjelovali u otkriću strukture VSG-a i njegovih fizičkih svojstava u membrani.[5]
Izvori
- ↑ 1,00 1,01 1,02 1,03 1,04 1,05 1,06 1,07 1,08 1,09 1,10 1,11 1,12 1,13 • Nedostaje obavezni parametar:
journal
• Parametartypenije dopušten u klasijournal
• Parametarurlnije dopušten u klasijournal - ↑ 2,0 2,1 2,2 2,3 2,4 • Nepoznat parametar:
issue
• Parametarpmidnije dopušten u klasijournal
• Parametartypenije dopušten u klasijournal
• Parametardatenije dopušten u klasijournal - ↑ • Nepoznat parametar:
issue
• Parametartypenije dopušten u klasijournal - ↑ • Nepoznat parametar:
issue
• Parametarpmidnije dopušten u klasijournal
• Parametartypenije dopušten u klasijournal
• Parametardatenije dopušten u klasijournal - ↑ • Parametar
typenije dopušten u klasijournal
• Parametarurlnije dopušten u klasijournal
| Molimo pročitajte upozorenje o korištenju medicinskih informacija. Ne provodite liječenje bez konzultiranja liječnika! |