Acanthamoeba
| Acanthamoeba | |
|---|---|
Fazni mikrograf Acanthamoebae polyphagae u obliku mikrobne ciste. | |
| Sistematika | |
| Domena: | Eukaryota |
| Carstvo: | Protozoa |
| Koljeno: | Amoebozoa |
| Razred: | Discosea |
| Red: | Centramoebida |
| Porodica: | Acanthamoebidae |
| Rod: | Acanthamoeba |
Acanthamoeba pripada koljenu Amoebozoa, jednom od najpoznatijih praživotinja u tlu, svježoj vodi i ostalim staništima. Stanice su male, dužine 15 – 35 mikrona, kad se kreću imaju ovalan ili trokutast oblik. Sprijeda, pseudopodije formiraju polukružni režanj, a postranično se vide različite kratke filopodije. Takva organizacija daje akantamebi bodljikav izgled, te je zbog toga i dobila ime akantameba. Ciste su uobičajenog oblika. Večina vrsta su slobodno živuće bakterivore, ali neke su oportunističke bakterije koje mogu izazvati infekcije u ljudi i životinja.
Humani patogen

Akantameba uzrokuje amebni keratitis i encefalitis. Nastaju na način da akantameba ulazi kroz ranu i širi se do središnjeg živčanog sustava.
Akantamebni keratitis
Akantamebni keratitis je rijetka bolest kod koje amebe napadaju rožnicu oka.
Uzroci
U SAD-u je bolest gotovo uvijek povezana sa nošenjem kontaktnih leća, jer akantameba može preživjeti u prostoru između leće i oka. Upravo zbog tog razloga se kontaktne leće moraju pravilno dezinficirati prije nošenja, te se moraju skinuti kod plivanja i surfanja. Ipak, u ostalim zemljama svijeta, mnogi slučajevi akantamebe se javljaju u osoba, koje ne nose kontaktne leće.
Dijagnoza
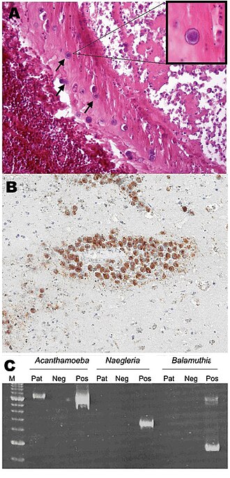
Da bi se dokazala akantameba na kontaktnoj leći u laboratoriju potreban je agar sa ovčjom krvlju, te nasađenom E. coli. Dio kontaktne leće se položi na agar. Ako su akantamebe prisutne, one će probaviti bakteriju, te na mjestu oko leće ostaviti prazan prostor. PCR se također može koristiti za potvrdu dijagnoze, osobito ako se radi o osobama koje ne nose kontaktne leće.
Klinička slika
Znakovi i simptomi uključuju jaku bol, težak keratitis (slično stromalnoj herpetičnoj bolesti), kornealnom perineuritisu, prstenastom ulkusu (iako on nastaje kasno u tijeku bolesti)
Terapija
Jedna od terapija koja se koristi je PHMB (poliaminopropil bigvanid, vrsta dezinficijensa). Propamidin izetionat je također pokazao uspješnost u liječenju. Također može se koristiti klorheksidin. Ponakad je potrebna keratoplastika. Također se predlaže kombinirana terapija propamidina, mikonazol-nitrata i neomicina.