Barotrauma
Barotrauma je ozljeda šupljih organa i tkiva, prouzročena razlikom tlaka između plinom ispunjenih prostora u tijelu i zračnog ili vodenog prostora oko tijela, tijekom uspona ili silaska.
Barotrauma se obično događa u zračnim prostorima unutar tijela kod; podvodnog ronjenja, tijekom slijetanja ili polijetanja kod putničkih i drugih zrakoplova u hiperbaričnim i hipobaričnim barokomorama [1] (za vrijeme liječenja i boravka u njima), za vrijeme radova u kesonima, prešuriziranim tunelima, rudnicima i podmorničarstvu (za vrijeme obuke "slobodnog izronjavanja").[2]
Do oštećenja u organima ispunjenim zrakom dolazi jer s promjenom tlaka u prostoru oko tijela dolazi i do promjene tlaka plina unutar tijela. Ako uzmemo za primjer količinu plina od 1 litre na razini mora, u dubini od 10 metara volumen tog plina biti će stlačen na svega 0,5 litara, u dubini od 30 metara na 0,25 lit, a na dubini od 70 metara 0,12 litara.[3]

Ove promjene odvijaju se prema: Boyle-Mariotteov zakonu koji je jedan od zakona plinova, a primjenjiv je na plinovita tijela koja se ponašaju približno kao idealni plinovi.
Kako bi se suprotstavio promjeni naš organizam tijekom povećanja tlaka u vanjskoj okolini, smanjuje volumen plina u zračnim šupljinama tijela, da bi tijekom pada tlaka u okolini, došlo do rasta tlaka i povećanja volumena plina u unutrašnjim zračnim prostorima uz njegovo nastojanje da izađe iz njih u vanjsku okolinu. Ako postoji bilo kakva prepreka njegovoj eliminaciji zrak postaje zarobljen i uzrokuje oštećenja okolnog tkiva.[4]
Vrste ozljeda

Organi ili tkiva kod kojih nastaju lakše ili teže barotraumatske ozljede su:
- Srednje uho (Aerootitis med.) [5],[1]
- Paranazalni sinusi (Aerosinusitis),[1]
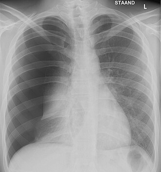
- Pluća [6] (Pneumotoraks)
- Oči [6] (zbog promjene tlaka zračnog prostora unutar ronilačke maske),[7]
- Koža [6] (kod uporabe ronilačkog odijela, između njega i kože tijekom ronjenja stvara se zračni prostor koji je podložan promjeni tlaka)
- Kosti (bolne nekroze kostiju nastaju nakon više dana) [8]
- Zubi (Barodontalgija),[9]
Ronilačka barotrauma
Barotrauma pluća
Barotrauma pluća kod Scuba ronjenja (Scuba Diving) može nastati zbog promjene tlaka u plućima tijekom izranjanja. S izranjanjem se visok tlak plina u plućima smanjuje, zbog smanjenja okolnog tlaka, što uzrokuje širenje plina i porast tlaka u plućima i prsnom košu. Ako se u toj fazi izranjanja ne izjednači tlak, izbacivanjem viška plina, može doći do pucanja plućnog tkiva.

Kad se tlak u plućima poveća, kod ronjenja se javlja bol u prsnom košu koja koji ga upozorava, pravodobno spriječiti nastanak barotraume . Ako tlak zraka u plućima i dalje raste i prijeđe vrijednost od 10-13 kPa (u prosjeku 10,7 kPa u odnosu na vanjski tlak zraka, on neće samo izazvati rupturu zdravog plućnog tkiva već i arterijsku plinsku emboliju, praćenu pojavom zraka u plućnom intersticijalnom prostoru, odnosno u prostoru oko krvnih žila pluća, koji uzrokuje plućni intersticijalni emfizem. Iz ovog prostora plin dalje može prodrijeti u hiluse i mediastinum a otuda u pleuralnu i perikardijalnu šupljina i trbušnu maramice.[3]
Intersticijalni emfizem pritišće male krvne žile pluća izazivajući porast tlaka u plućnim arterijama, što ima za posljedicu izlazak tekućine u intersticijalne prostore i pojavu alveolarnog edema (otoka) što još više pogoršava protok u plućnoj cirkulaciji i pogoduje nastanku hipoksije u organizmu.

Potpomognut ovim promjenama plin prodire u venski sustav pluća zatim preko srca u arterijsku cirkulaciju koja mjehuriće plina dalje raznosi po tijelu. Zbog vertikalnog položaja tijela u ronjenju, pri izronu, mjehurići plina najčešće se zaustavljaju u moždanoj cirkulaciji, ali se mogu naći i u srčanim i drugim krvnim žilama i srcu.[2],[3]
Na nastanak barotraume pluća utječe zadržavanje daha tijekom izranjanja jer se plin u plućima zadržava na povišenom tlaku u stlačenom stanju, a zatvoren grkljan sprječava da se plin sa snižavanjem tlaka tijekom izrona širi i izbacuje iz organizma, kako bi pluća postigla prvobitni volumen prije početka ronjenja.
Problem nastaje samo ako ronioca uhvati panika tijekom koje nepravilno diše i grčevito zatvara glotis i stlačeni zrak zadržava u plućima do površine vode, što izaziva njegovo širenje koje je veće od plućnih volumena.
Posebno opasan za nastanak barotraume pluća može biti pokušaj podmorničara da naglo izrone iz podmornica koje su oštećene havarijom bez zaštitne ronilačke opreme. Barotrauma pluća može nastati i kada ronilac izgubi kontrolu nad ronilačkom opremom pa mu se odijelo toliko napuni zrakom da ronioca velikom brzinom izbaci na površinu.[3]
Barotrauma očiju
Barotrauma tijekom letenja


Barotraumatske smetnje tijekom letenja
Kabinski tlak tijekom leta, u kabinama zrakoplova, održava se na tlaku koji osigurava potrebnu udobnost pilotima i putnicima zrakoplova. Ugodan tlak zraka u kabini zrakoplova se tijekom ljeta održava kompresorom i ekvivalentan je atmosferskom tlaku na nadmorskoj razini od 1.500 do 2.000 metara iznad mora.
S obzirom na činjenicu da postoji razlika u tlaku zraka na razini mora i na nadmorskoj visini, tijekom uspona ili slijetanja zrakoplova mogu se javiti bolovi u ušima, sinusima, zubima.
Da bi se uklonili ove bolni osjećaji za vrijeme leta zrakoplovom može se primijeniti:
- Valsalva manevar;
- Sisanje bombona;
- gutanja sline;
- Ispijanje vode u manjim gutljaja;
- Žvakanje žvakaće gume
Barotrauma u eksplozivnoj dekompresiji zrakoplova
Za vrijeme letenja može nastati i najteži oblik barotraume, (plućna barotrauma), uzrokovana eksplozivnom dekompresijom, i narušenom prešurizacijom kabinskog prostora zrakoplova, i svemirskih letjelica zbog:[10],[11]
- Kvara pogonske grupe i kompresora zrakoplova
- Mehaničkog oštećenja kabine zrakoplova (meteoritima, eksplozivnim napravama, komadima leda itd.)
- Otmicazrakoplova od strane terorista praćena uporabom vatrenog oružja i eksplozivnih naprava
- Pogrešaka u održavanju zrakoplova.
Posljedice ove barotraume identične su kao kod ronilačke barotraume.
Blast barotrauma
Eksplozivna ili blast barotrauma nastaje zbog dekompresije izazvane utjecajem jakog zračnog vala tijekom eksplozije. Pojava nagle razlike u tlaku između unutrašnjosti organizma i vanjske površine tijela uzrokuje ozljede unutarnjih organa ispunjenih zrakom, kao što su pluća, gastrointestinalni trakt i uho. Ozljeda pluća može nastati i tijekom brze dekompresije u drugim uvjetima ali je opasnost od oštećenja manja, nego kod dekompresije izazvane eksplozijom.[12]

Barotrauma izazvana ventilacijom pluća
Mehanička ventilacija pluća koja se rabi u reanimaciji bolesnika kod raznih vrsta bolesti može dovesti do barotraume pluća. Kako bi se u uređajima osigurala ventilacija ona je povezana s promjenom brzine dovoda plina a samim tim i promjenom tlaka, te u slučaju bilo kakvih propusta u radu može nastati ruptura alveola i pojava pneumotoraksa, plućnog emfizema, prodora zraka u medijastinalni prostor (pleuromediastinum). Tenzijski pneumotoraks u jedinicama intenzivne njege relativno je česta pojava kod bolesnika na mehaničkoj ventilaciji, kao posljedica barotraume. Učestalost pojavljivanja veća je od 25% kod bolesnika na mehaničkoj ventilacija s rizikom rasta kod dužeg trajanja ventilacije. Smrt neposredno izazvana barotraumom pluća javlja se u 13-35% slučajeva.[13]
Faktori predispozicije za nastanak barotraume
Često se nalazi međusobna veza između izlaganja tlaku i prethodno postojeće bolesti pluća, sinusa, uha i drugih organa i tkiva ispunjenih zrakom. To objašnjava i činjenicu zašto identične vrijednosti tlaka plina kod nekog dovode do barotraume a kod drugih ne.
- Bolesti pluća, sinusa, uha
- Sistemske bolesti
- Aspiracije stranog sadržaja
- Plućni edem
- Endotoksemija
- Malnutricija (loša prehrana)
- Životna dob / starost
- Više uzastopnih izlaganja povišenom tlaku u jednom danu
- Pothlađivanje (hipotermija)
- Zloporaba alkohola, lijekova, psihoaktivnih tvari(droga)
Preventiva i liječenje
Barotraumtske ozljede mogu se izbjeći primjenom jednostavnih mjera prevencije. Sprječavanje nesreće počinje s dobrim fizičkim priprema, ronilačkim ispitom i dobrom psihološkom pripremom prije ronjanja, kako bi se spriječila sklonost panici, što ima za krajnji cilj sprječavanje zadržavanja daha pri scuba ronjenju.
- Stanje ronilačke opreme: kvalitetna opreme i pomoćna sredstava koja se rabe u ronjenju, i njeno pravilno i redovito održavanje vrlo su važni jer kvalitetna oprema omogućava visok stupanj zaštite samog ronjenja od mogućih neželjenih efekata.
- Tijekom silaska (porasta tlaka): kod ronilaca, kesonskih radnika i bolesnika tijekom faze kompresije u barokomorama [1] spuštatanje mora biti lagano kako bi se produžilo vrijeme potrebno za izjednačavanje unutarnjeg i vanjskog tlaka. Ako je moguće, npr. kod začepljenja sinusa ili eustahieve tube, mora se zaustaviti daljnji silazak ili otkazati ronjenje, rad u kesonima ili liječenje u barokomorama kako bi se osigurala normalizacija stanja i spriječila pojava barotraume.
- Tijekom uspona (snižavanje tlaka): kod uzlijetanja zrakoplova kod pilota, izrona kod ronilaca, izlaska iz kesona kod kesonskih radnika ili faze dekompresije u tijeku liječenja u barokomorama,[1] kod osoba s tegobama treba ovaj proces usporiti da bi se izbjegla pojava otoka pa čak i eksplozija šupljih organa ispunjenih zrakom.
- Zabrana ronjenja i letenja: Nakon barotraume u ušima ili plućima ronilac / pilot ne bi smio ponovno roniti / letjeti dok se potpuno ne oporavi i sanira sve poremećaja uz pomoć liječnika. Ovisno o težini ozljede oporavak ponekad može potrajati više mjeseci.
- Redovita kontrola zdravstvenog stanja ronilaca, pilota, medicinskog osoblja koje radi u barokomorama. Obuhvaća periodične liječničke preglede i preglede nakon svakog izvanrednog događaja, ronjenja / letenja itd..
- Fiziološka trenaža u barokomorama.
Ronilačka barotrauma može se izbjeći uklanjanjem bilo kakve nagle razlike tlaka plina koja može djelovati na tkiva ili organe i za tu namjenu postoje različite tehnike:
- Prozračivanje zračnog prostora u ušima i sinusima. Da bi spriječio opasnost od pucanja bubnjića, ronilac može koristiti valsalva manevar, kako bi višak zraka u srednjem uhu preko eustahijeve tube izišao u područje ždrijela. Ponekad gutanje otvara eustahijevu cijev i izjednačava tlak u ušima.
- Prozračivanje pluća.Rizik od pneumothoraksa (koji se obično naziva pucanje pluća od ronjenja), može se spriječiti izjednačavanjem tlaka, normalnim disanjem bez zadržavanja daha.
- Primjena rekompresijske barokomore.Barotraumatska dekompresijska bolest, u određenim slučajevima može biti tretirana u rekompresijskim barokomorama, u kojima se tlak plina u tijelu vraća na onaj koji je čovjek imao prije nastanka prebrzog snizivanja tlaka, a zatim se u strogo nadziranim uvjetima provodi spora dekompresija do normalizacije zdravstvenog stanja ronioca. Međutim, barokomora može i prouzročiti barotraumu ako osobe koje provode liječenje ne rade ispravno ili je zbog naglog pogoršanja zdravlja bolesnika (u cilju ukazivanja prve pomoći), izvedena nagla dekompresije barokomore.
- Zabrana ronjenje/letenja. Nakon barotraume u ušima ili plućima, zadobijene tijekom letenja ili ronjenja, piloti i putnici zrakoplova ne bi smjeli ponovno letjeti a ronioci ponovno roniti, dok se potpuno ne oporave i saniraju sve poremećaje uz pomoć liječnika. Ovisno o težini ozljede oporavak ponekad može trajati više mjeseci.
Vidi još
Izvori
- ↑ 1,0 1,1 1,2 1,3 1,4 Fitzpatrick DT, Franck BA, Mason KT, Shannon SG (1999). "Risk factors for symptomatic otici and sinus barotrauma in a multiplace hyperbaric Chamber". Undersea Hyperb Med 26 (4): 243-7. [PMID 10642071]. http://archive.rubicon-foundation.org/2316. Preuzeto: 1.maj.2009.
- ↑ 2,0 2,1 Miodrag Živković: Priručnik iz podvodni medicine. Beograd, 1994.
- ↑ 3,0 3,1 3,2 3,3 William F. Ganong, Pregled medicinske fiziologije Beograd Savremena administracija 1993.
- ↑ Gošović S., ronjenje u sigurnosti, JUMENA, Zagreb, 1986.
- ↑ Richard O. Reinhart (1996). Basic Flight Physiology. McGraw-Hill Professional. ISBN 0070522235. http://books.google.com/books?id=kLW-kIphsnwC. Preuzeto: 1. svibanj 2009.
- ↑ 6,0 6,1 6,2 US Navy Diving Manual, 6th revision. United States: US Naval Sea Systems Command. 2006. http://www.supsalv.org/00c3_publications.asp?destPage=00c3&pageID=3.9. Preuzeto: 1. svibanj 2009.
- ↑ • Nepoznat parametar:Preuzeto: 10. svibanj 2009.
issue
• Parametarpmidnije dopušten u klasijournal
• Parametartypenije dopušten u klasijournal
• Parametarurlnije dopušten u klasijournal - ↑ Barotrauma Presenting as Temporal Lobe injury Secondary to Temporal Bone Rupture - AJNR Am J Neuroradiol 26:1218-1219, May 2005.
- ↑ Zadik Y (August 2006). "Barodontalgia due to odontogenic inflammation in the jawbone". Aviat Space Environ Med 77 (8): 864-6. [PMID 16909883]. [1]. Preuzeto: 1.svibnja 2009.
- ↑ Nicol E, Davies G, Jayakumar P, Green ND (April 2007). Pneumopericardium and pneumomediastinum in a passenger on a commercial flight. Aviat Space Environ Med 78 (4): 435-9. Preuzeto: 1.maja 2009.
- ↑ Air quality in Airplane cabins and similar enclosed spaces [2] Preuzeto: 1.maja 2009.
- ↑ Bason R, Yacavone DW (May 1992). "Loss of cabin pressurization in US Naval aircraft: 1969-90". Aviat Space Environ Med 63 (5): 341-5. [PMID 1599378] Preuzeto 1.maja 2009.
- ↑ Vulović T, Đorđević G., Tenzijski pneumotoraks u jedinicama intenzivne njege, Vojnosanit.Pregl., 2008; 65 (3): 245-248.,
Vanjske poveznice
- Fiziologija dubinskog ronjenja (hrv.)
- Dekompresijska bolest ronilaca u Hrvatskoj danas (hrv.)
- Poliklinika za baromedicinu, Pula; Terapijski efekti (hrv.)
| Molimo pročitajte upozorenje o korištenju medicinskih informacija. Ne provodite liječenje bez konzultiranja liječnika! |