Ciroza

Ciroza (lat. cirrhosis od grč. epos »žut«) skvrčavanje je nekog parenhimatoznog organa kao posljedica bujanja i fibroznog pretvaranja njegova veziva. Takvi organi su znatno smanjeni, zrnate neravne površine, neobično tvrdi, radi čega se teško režu. Govori se o cirozi jetre, bubrega i pankreasa. Sve su to teške i neizlječive bolesti, jer su jetra, bubreg i pankreas za život nužni organi. Kod ciroze nestaje specifičnog parenhima, važnog za funkciju, a na njegovo mjesto dolazi za funkciju nevažno vezivo. Kao glavne ciroze razlikujemo u jetri atrofičnu (Laennec) i hipertrofičnu (Hannot).
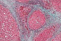
Atrofična ciroza
Atrofična ciroza pokazuje već kod običnog promatranja sve znakove ciroze: jetra je jako smanjena, kvrgava izvana, čvrsta. Na presjeku je parenhim podijeljen na različito velike čvoriće, između kojih se nalazi bjelkasto vezivo. Taj način bujanja veziva je karakterističan za atrofičnu cirozu. Bujanje veziva je osobito jako uzduž krvnih žila i žučnih kanala. Kad ga ima veća količina, ono pritište na krvne žile i žučne vodove. Radi toga nastaje niz simptoma, koje možemo smatrati kao glavne u kliničkoj slici ciroza, a svjedoče o jakom zastoju krvne i žučne struje. Za prvi govori kolateraini krvotok (Caput Medusae), nakupljanje tekućine u trbušnoj šupljini (ascites) u velikim količinama (oko desetak i više litara), a za drugi jaka žutica, izražena u cijelom organizmu.
Hipertrofična ciroza
Hipertrofična ciroza je karakterizirana drugim načinom bujanja veziva. Ono zahvaća organ jednomjerno. tako da je pritisak na krvne žile i žučne vodove u jetri mnogo manji. Radi toga je kod hipertrofične ciroze zastoj krvi i žuči znatno slabije izražen. Površina jetre je radi toga načina bujanja veziva glatka, a sam organ u cjelini povećan. Vezivo je kod obje ciroze jetre prožeto različitim vrstama upalnih stanica.
Ciroza se ubraja u upalna oboljenja. Morfogenetički se kod ciroze radi o istodobnom ili kontinuiranom nastupanju raznovrsnih patoloških promjena, kao poremetnja u izmjeni tvari, upala i regeneracija. Uzrok cirozi jetre nije jedinstven. Vjerojatno je potrebno više faktora za njezin postanak i razvitak. Alkoholu se pridaje kod toga neka važnost (eksperimenti na kunićima govore tome u prilog). Otrovanja, u prvom redu raspadljivim produktima iz crijeva, navode se kao uzroci ciroze. Zastoj žuči, prouzrokovan začepljenjem izvodnih kanala od žučnih kamenaca može izazvati posebnu vrstu ciroze, žučnu cirozu (cirrhosis biliaris). Vjerojatno ima sama konstitucija neko značenje za postanak ciroze. I neke infekciozne bolesti, u prvom redu tuberkuloza i sifilis, mogu biti uzrok cirozi. Ciroze bubrega su posljedice kroničnih upala i arterioskleroze. Obično ih prate visoki krvni tlak i jaki edemi. Ciroza pankreasa je jedan od uzroka šećerne bolesti.
Izvori
Pogreška pri izradbi sličice: Ovaj članak uključuje tekst iz Hrvatske enciklopedije, objavljivane od 1941. do 1945. godine, koja je javno dobro.
| Molimo pročitajte upozorenje o korištenju medicinskih informacija. Ne provodite liječenje bez konzultiranja liječnika! |