
Mokraćni mjehur (lat. vesica urinaria) šupalj je mišićni organ koji pripada mokraćnom sustavu, a služi kao spremnik za mokraću (urin) koja se izlučuje iz bubrega. Mokraća iz bubrega dolazi u mjehur mokraćovodima (lat. ureter), a iz njega je odvodi mokraćna cijev (lat. urethra).
Volumen mokraće koji mokraćni mjehur može primiti je 200-400 mL, a može se i povećati na 700 mL.
Na mokraćnom mjehuru razlikujemo: vrh, bazu i srednji dio mokraćnog mjehura. Mokraćni mjehur se nalazi u maloj zdjelici. Ispred mjehura je simfiza preponske kosti, a iza se nalazi:
- kod muškarca zadnje crijevo (lat. rectum)
- kod žena maternica i rodnica
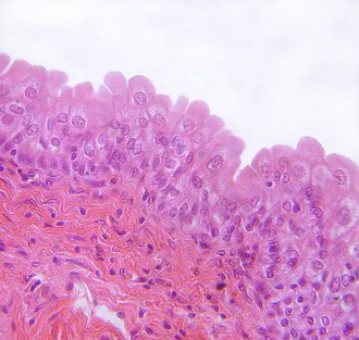
Histološki, mokraćni se mjehur sastoji od dva sloja. Iznutra ga oblaže sluznica, koju čini prijelazni epitel. Najdeblji je mišićni dio koji je građen od glatkog mišićnog tkiva (lat. musculus detrusor). Samo gornji dio mjehura prekriven je potrbušnicom. Sluznica mjehura je nabrana, što joj omogućuje da se prilikom punjenja mjehura rasteže. U području "trokuta" (lat. trigonum vesicae) sluznica nije nabrana. Taj trokut ima vrhove u ušćima mokraćovoda u mokraćni mjehur i mjestu od kuda počinje mokraćna cijev.
Pražnjenje mokraćnog mjehura je pod kontrolom autonomnog živčanog sustava i svjesnom kontrolom. Kada je mjehur rastegnut parasimpatički živčani sustav podražuje glatke mišiće mjehura da se kontrahiraju (refleks mokrenja). Što se više rasteže mjehur, veći je podražaj mišićnim stanica da se kotrahiraju i isprazne mjehur. Na vratu mjehura je dio građen od glatkog mišića koji svojim tonusom onemogućava otjecanje mokraće u sam vrat i dalje u cijev. Taj dio vrata naziva se unutarnji sfinkter. Vanjski sifnkter je dio mišićnih poprečnoprugastih niti koje zatvaraju mokraćnu cijev na mjestu gdje ona prolazi kroz urogenitalnu dijafragmu. Za razliku od unutarnjeg sfinktera, vanjski je pod voljnom kotrolom. Potrebu za mokrenjem čovjek obično osjeti kada je mjehur 75% pun.